• Tel: 858.663.9055
  • SeparatorEmail: info@nsjbio.com
  • Tel: 858.663.9055
  • Email: info@nsjbio.com
Home >> Antibodies >> Poliovirus Receptor Antibody / PVR

Poliovirus Receptor Antibody / PVR [clone 3B11E9] (RQ7031)

  Catalog No Formulation Size Price (USD)  
Image RQ7031 0.5mg/ml if reconstituted with 0.2ml sterile DI water 100 ug 449
Bulk quote request
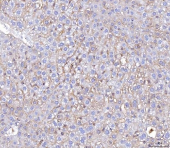
IHC staining of FFPE mouse liver tissue with Poliovirus Receptor antibody. HIER: boil tissue sections in pH8 EDTA for 20 min and allow to cool before testing.
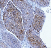
IHC staining of FFPE human liver cancer tissue with Poliovirus Receptor antibody. HIER: boil tissue sections in pH8 EDTA for 20 min and allow to cool before testing.
Western blot testing of human 1) A431, 2) A549, 3) HT1080 and 4) Daudi cell lysate with Poliovirus Receptor antibody. Predicted molecular weight ~45 kDa, but may be observed at higher molecular weights due to glycosylation.
Flow cytometry testing of human PC-3 cells with Poliovirus Receptor antibody at 1ug/million cells (blocked with goat sera); Red=cells alone, Green=isotype control, Blue= Poliovirus Receptor antibody.
Availability 1-3 business days
Species Reactivity Human, Mouse
Format Antigen affinity purified
Host Mouse
Clonality Monoclonal (mouse origin)
Isotype Mouse IgG2b
Clone Name 3B11E9
Purity Antigen affinity purified
Buffer Lyophilized from 1X PBS with 2% Trehalose
UniProt P15151
Applications Western Blot : 0.5-1 ug/ml
Immunohistochemistry (FFPE) : 2-5ug/ml
Limitations This Poliovirus Receptor antibody is available for research use only.
Review this product on BioCompare and get a $20 Amazon gift card

Related Products

Description

CD155 (cluster of differentiation 155) also known as the poliovirus receptor is a protein that in humans is encoded by the PVR gene. The protein encoded by this gene is a transmembrane glycoprotein belonging to the immunoglobulin superfamily. The external domain mediates cell attachment to the extracellular matrix molecule vitronectin, while its intracellular domain interacts with the dynein light chain Tctex-1/DYNLT1. The gene is specific to the primate lineage, and serves as a cellular receptor for poliovirus in the first step of poliovirus replication. Multiple transcript variants encoding different isoforms have been found for this gene.

Application Notes

Optimal dilution of the Poliovirus Receptor antibody should be determined by the researcher.

Immunogen

Recombinant human protein (amino acids D28-E331) was used as the immunogen for the Poliovirus Receptor antibody.

Storage

After reconstitution, the Poliovirus Receptor antibody can be stored for up to one month at 4oC. For long-term, aliquot and store at -20oC. Avoid repeated freezing and thawing.

Cross
Bulk Quote Request Form
Name*:
Organization*:
Email*:
Phone Number*:
Catalog No.*:
Comments and Specifics(amount, formulation, etc.)*:
Validation code: Captchapackage Image


Can't read the image? click here to refresh.
    *required field

Your bulk quote request has been submitted successfully!

Please contact us if you have any questions.