• Tel: 858.663.9055
  • SeparatorEmail: info@nsjbio.com
  • Tel: 858.663.9055
  • Email: info@nsjbio.com
Home >> Antibodies >> POLD1 Antibody / DNA polymerase delta catalytic subunit

POLD1 Antibody / DNA polymerase delta catalytic subunit (FY12910)

  Catalog No Formulation Size Price (USD)  
Image FY12910 Adding 0.2 ml of distilled water will yield a concentration of 500 ug/ml 100 ug 449
Bulk quote request
Immunofluorescent staining of POLD1 using anti-POLD1 antibody (green) and anti-Beta Tubulin antibody (red). POLD1 was detected in an immunocytochemical section of U2OS cells. Enzyme antigen retrieval was performed using IHC enzyme antigen retrieval reagent for 15 mins. The cells were blocked with 10% goat serum. And then incubated with 5 ug/ml rabbit anti-POLD1 antibody and mouse anti-Beta Tubulin antibody overnight at 4oC. DyLight 488 Conjugated Goat Anti-Rabbit IgG and Cy3 Conjugated Goat Anti-Mouse IgG were used as secondary antibody at 1:500 dilution and incubated for 30 minutes at 37oC. Visualize using a fluorescence microscope and filter sets appropriate for the label used.
Western blot analysis of POLD1 using anti-POLD1 antibody. Electrophoresis was performed on a 8% SDS-PAGE gel at 80V (Stacking gel) / 120V (Resolving gel) for 2 hours. Lane 1: human 293T whole cell lysates, Lane 2: human K562 whole cell lysates, Lane 3: human U2OS whole cell lysates, Lane 4: human Jurkat whole cell lysates, Lane 5: rat thymus tissue lysates, Lane 6: rat spleen tissue lysates, Lane 7: mouse thymus tissue lysates. After electrophoresis, proteins were transferred to a nitrocellulose membrane at 150 mA for 50-90 minutes. Blocked the membrane with 5% non-fat milk/TBS for 1.5 hour at RT. The membrane was incubated with rabbit anti-POLD1 antibody at 0.5 ug/ml overnight at 4oC, then washed with TBS-0.1%Tween 3 times with 5 minutes each and probed with a goat anti-rabbit IgG-HRP secondary antibody at a dilution of 1:5000 for 1.5 hour at RT. The signal was developed using an ECL Plus Western Blotting Substrate. A specific band was detected for POLD1 at approximately 124 kDa. The expected molecular weight of POLD1 is ~124 kDa.
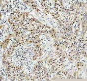
Immunohistochemical staining of POLD1 using anti-POLD1 antibody. POLD1 was detected in a paraffin-embedded section of human bladder cancer tissue. Heat mediated antigen retrieval was performed in EDTA buffer (pH 8.0, epitope retrieval solution). The tissue section was blocked with 10% goat serum. The tissue section was then incubated with 2 ug/ml rabbit anti-POLD1 antibody overnight at 4oC. Peroxidase Conjugated Goat Anti-rabbit IgG was used as secondary antibody and incubated for 30 minutes at 37oC. The tissue section was developed using an HRP secondary and DAB substrate.
Immunoprecipitating POLD1 in 293T whole cell lysate. Western blot analysis of POLD1 using anti-POLD1 antibody. Lane 1: 293T whole cell lysates (30ug), Lane 2: Rabbit control IgG instead of anti-POLD1 antibody in 293T whole cell lysate, Lane 3: anti-POLD1 antibody (2ug) + 293T whole cell lysate (500ug). After electrophoresis, proteins were transferred to a membrane. Then the membrane was incubated with rabbit anti-POLD1 antibody at a dilution of 0.5 ug/ml and probed with a goat anti-rabbit IgG-HRP secondary antibody. The signal is developed using ECL Plus Western Blotting Substrate. A specific band was detected for POLD1 at approximately 124 kDa. The expected molecular weight of POLD1 is at 124 kDa.
Flow Cytometry analysis of 293T cells using anti-POLD1 antibody. Overlay histogram showing 293T cells stained with (Blue line). To facilitate intracellular staining, cells were fixed with 4% paraformaldehyde and permeabilized with permeabilization buffer. The cells were blocked with 10% normal goat serum. And then incubated with rabbit anti-POLD1 antibody (1 ug/million cells) for 30 min at 20oC. DyLight 488 conjugated goat anti-rabbit IgG (5-10 ug/million cells) was used as secondary antibody for 30 minutes at 20oC. Isotype control antibody (Green line) was rabbit IgG (1 ug/million cells) used under the same conditions. Unlabelled sample without incubation with primary antibody and secondary antibody (Red line) was used as a blank control.
Availability 1-2 days
Species Reactivity Human, Mouse, Rat
Format Lyophilized
Host Rabbit
Clonality Polyclonal (rabbit origin)
Isotype Rabbit IgG
Purity Immunogen affinity purified
Buffer Each vial contains 4 mg Trehalose, 0.9 mg NaCl, 0.2 mg Na2HPO4.
UniProt P28340
Localization Nuclear
Applications Western Blot : 0.25-0.5ug/ml
Immunohistochemistry : 2-5ug/ml
Immunocytochemistry/Immunofluorescence : 5ug/ml
Immunoprecipitation : 2-4ug/500ug of lysate
ELISA : 0.1-0.5ug/ml
Limitations This POLD1 antibody is available for research use only.
Review this product on BioCompare and get a $20 Amazon gift card

Description

POLD1 antibody detects DNA polymerase delta catalytic subunit, the core enzyme responsible for high-fidelity DNA synthesis and repair during replication. Encoded by the POLD1 gene on chromosome 19q13.33, this enzyme serves as the catalytic and proofreading component of DNA polymerase delta, a multi-subunit complex essential for lagging-strand synthesis, mismatch repair, and genomic stability. POLD1 possesses both 5'-3' polymerase and 3'-5' exonuclease proofreading activities, ensuring accurate DNA replication and error correction.

Structurally, POLD1 is a large enzyme of approximately 125 kilodaltons containing conserved polymerase motifs and an N-terminal exonuclease domain. It forms a heterotetrameric complex with POLD2, POLD3, and POLD4 subunits, supported by interactions with PCNA (proliferating cell nuclear antigen) and replication factor C. This complex coordinates DNA elongation, repair synthesis, and recombination processes, playing a vital role in cell cycle progression and genome maintenance.

The POLD1 antibody is widely used in molecular biology, cancer research, and DNA repair studies to investigate replication fidelity, mutagenesis, and polymerase function. Western blot analysis detects a 125 kilodalton band corresponding to the catalytic subunit, while immunofluorescence shows nuclear localization during S phase and DNA damage repair. This antibody provides a robust tool for assessing DNA replication machinery and the maintenance of genomic integrity.

Mutations in POLD1 cause Polymerase Proofreading-Associated Polyposis and predispose to colorectal and endometrial cancers due to defective proofreading activity and increased mutational load. Additionally, POLD1 variants are linked to syndromes involving premature aging and mitochondrial dysfunction. Its role extends beyond replication to DNA damage tolerance and translesion synthesis. The POLD1 antibody supports exploration of polymerase fidelity mechanisms, DNA repair pathways, and tumor suppressor networks involving replication stress. NSJ Bioreagents validates this antibody for its applications, providing reliability and specificity for genomic stability research.

Application Notes

Optimal dilution of the POLD1 antibody should be determined by the researcher.

Immunogen

E.coli-derived human POLD1 recombinant protein (Position: D25-D1068) was used as the immunogen for the POLD1 antibody.

Storage

After reconstitution, the POLD1 antibody can be stored for up to one month at 4oC. For long-term, aliquot and store at -20oC. Avoid repeated freezing and thawing.

Cross
Bulk Quote Request Form
Name*:
Organization*:
Email*:
Phone Number*:
Catalog No.*:
Comments and Specifics(amount, formulation, etc.)*:
Validation code: Captchapackage Image


Can't read the image? click here to refresh.
    *required field

Your bulk quote request has been submitted successfully!

Please contact us if you have any questions.