- Tel: 858.663.9055
- 
									 Email: info@nsjbio.com Email: info@nsjbio.com
- Tel: 858.663.9055
- Email: info@nsjbio.com
 Email: info@nsjbio.com
Email: info@nsjbio.com
								Related Products
| 
 | 
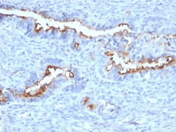
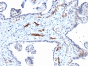
Podocalyxin is a member of the CD34 transmembrane sialomucin family. It is over-expressed on the podocyte foot projections and plays essential roles in kidney development and homeostasis, blood filtration and urine formation. It is also expressed on vascular endothelia, hematopoietic progenitors and a subset of neurons. Overexpression of podocalyxin may be linked to more aggressive tumor behavior. Podocalyxin antibody can identify podocytes in the urine (podocyturia) that may indicate glomerular disease, pre-eclampsia, and other kidney pathology.
Optimal dilution of the Podocalyxin antibody should be determined by the researcher.
A recombinant human partial protein (amino acids 310-447) was used as the immunogen for this Podocalyxin antibody.
Store the Podocalyxin antibody at 2-8oC (with azide) or aliquot and store at -20oC or colder (without azide).
 
Your bulk quote request has been submitted successfully!
Please contact us if you have any questions.