• Tel: 858.663.9055
  • SeparatorEmail: info@nsjbio.com
  • Tel: 858.663.9055
  • Email: info@nsjbio.com
Home >> Antibodies >> POC1A Antibody / POC1 centriolar protein A

POC1A Antibody / POC1 centriolar protein A (FY12567)

  Catalog No Formulation Size Price (USD)  
Image FY12567 Adding 0.2 ml of distilled water will yield a concentration of 500 ug/ml 100 ug 449
Bulk quote request
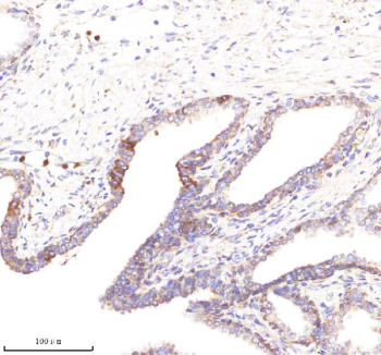
Immunohistochemical staining of POC1A using anti-POC1A antibody. POC1A was detected in a paraffin-embedded section of human prostate cancer tissue. Heat mediated antigen retrieval was performed in EDTA buffer (pH 8.0, epitope retrieval solution). The tissue section was blocked with 10% goat serum. The tissue section was then incubated with 2 ug/ml rabbit anti-POC1A antibody overnight at 4oC. Peroxidase Conjugated Goat Anti-rabbit IgG was used as secondary antibody and incubated for 30 minutes at 37oC. The tissue section was developed using an HRP secondary and DAB substrate.
Western blot analysis of POC1A using anti-POC1A antibody. Lane 1: human PC-3 whole cell lysates, Lane 2: human THP-1 whole cell lysates, Lane 3: human U251 whole cell lysates, Lane 4: rat testis tissue lysates, Lane 5: rat thymus tissue lysates, Lane 6: mouse testis tissue lysates, Lane 7: mouse thymus tissue lysates. After electrophoresis, proteins were transferred to a nitrocellulose membrane at 150 mA for 50-90 minutes. Blocked the membrane with 5% non-fat milk/TBS for 1.5 hour at RT. The membrane was incubated with rabbit anti-POC1A antibody at 0.5 ug/ml overnight at 4oC, then washed with TBS-0.1%Tween 3 times with 5 minutes each and probed with a goat anti-rabbit IgG-HRP secondary antibody at a dilution of 1:5000 for 1.5 hour at RT. The signal was developed using enhanced chemiluminescent. The predicted molecular weight of POC1A is ~45 kDa, commonly observed at 40-45 kDa.
Immunohistochemical staining of POC1A using anti-POC1A antibody. POC1A was detected in a paraffin-embedded section of human stomach cancer tissue. Heat mediated antigen retrieval was performed in EDTA buffer (pH 8.0, epitope retrieval solution). The tissue section was blocked with 10% goat serum. The tissue section was then incubated with 2 ug/ml rabbit anti-POC1A antibody overnight at 4oC. Peroxidase Conjugated Goat Anti-rabbit IgG was used as secondary antibody and incubated for 30 minutes at 37oC. The tissue section was developed using an HRP secondary and DAB substrate.
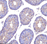
Immunohistochemical staining of POC1A using anti-POC1A antibody. POC1A was detected in a paraffin-embedded section of mouse testis tissue. Heat mediated antigen retrieval was performed in EDTA buffer (pH 8.0, epitope retrieval solution). The tissue section was blocked with 10% goat serum. The tissue section was then incubated with 2 ug/ml rabbit anti-POC1A antibody overnight at 4oC. Peroxidase Conjugated Goat Anti-rabbit IgG was used as secondary antibody and incubated for 30 minutes at 37oC. The tissue section was developed using an HRP secondary and DAB substrate.
Immunohistochemical staining of POC1A using anti-POC1A antibody. POC1A was detected in a paraffin-embedded section of rat testis tissue. Heat mediated antigen retrieval was performed in EDTA buffer (pH 8.0, epitope retrieval solution). The tissue section was blocked with 10% goat serum. The tissue section was then incubated with 2 ug/ml rabbit anti-POC1A antibody overnight at 4oC. Peroxidase Conjugated Goat Anti-rabbit IgG was used as secondary antibody and incubated for 30 minutes at 37oC. The tissue section was developed using an HRP secondary and DAB substrate.
Immunofluorescent staining of POC1A using anti-POC1A antibody (green). POC1A was detected in an immunocytochemical section of cells. Enzyme antigen retrieval was performed using IHC enzyme antigen retrieval reagent for 15 mins. The cells were blocked with 10% goat serum. And then incubated with 5 ug/ml rabbit anti-POC1A antibody overnight at 4oC. DyLight 488 Conjugated Goat Anti-Rabbit IgG was used as secondary antibody at 1:500 dilution and incubated for 30 minutes at 37oC. The section was counterstained with DAPI nuclear stain (blue). Visualize using a fluorescence microscope and filter sets appropriate for the label used.
Flow Cytometry analysis of PC-3 cells using anti-POC1A antibody. Overlay histogram showing PC-3 cells stained with (Blue line). To facilitate intracellular staining, cells were fixed with 4% paraformaldehyde and permeabilized with permeabilization buffer. The cells were blocked with 10% normal goat serum. And then incubated with rabbit anti-POC1A antibody (1 ug/million cells) for 30 min at 20oC. DyLight 488 conjugated goat anti-rabbit IgG (5-10 ug/million cells) was used as secondary antibody for 30 minutes at 20oC. Isotype control antibody (Green line) was rabbit IgG (1 ug/million cells) used under the same conditions. Unlabelled sample without incubation with primary antibody and secondary antibody (Red line) was used as a blank control.
Availability 1-2 days
Species Reactivity Human, Mouse, Rat
Format Lyophilized
Host Rabbit
Clonality Polyclonal (rabbit origin)
Isotype Rabbit IgG
Purity Immunogen affinity purified
Buffer Each vial contains 4 mg Trehalose, 0.9 mg NaCl, 0.2 mg Na2HPO4.
UniProt Q8NBT0
Localization Cytoplasm
Applications Western Blot : 0.25-0.5ug/ml
Immunohistochemistry : 2-5ug/ml
Immunocytochemistry : 5ug/ml
Immunofluorescence : 5ug/ml
Flow Cytometry : 1-3ug/million cells
ELISA : 0.1-0.5ug/ml
Limitations This POC1A antibody is available for research use only.
Review this product on BioCompare and get a $20 Amazon gift card

Description

POC1A antibody detects POC1 centriolar protein A, a core structural component of centrioles essential for their assembly, stability, and duplication. POC1A belongs to a conserved family of centriolar proteins that maintain centrosome integrity and regulate spindle formation during mitosis. The POC1A antibody is widely used in cell cycle, ciliogenesis, and developmental biology research to study centrosome organization and division control.

POC1A is encoded by the POC1A gene located on human chromosome 3p21.2. The protein is approximately 45 kilodaltons and contains an N-terminal WD40 domain that mediates protein-protein interactions and a C-terminal coiled-coil region required for centriolar localization. POC1A localizes to the proximal ends of centrioles and basal bodies, where it contributes to centriole duplication fidelity and stability.

The POC1A antibody detects a 45 kilodalton band in western blot assays and shows centrosomal staining in interphase and mitotic cells. POC1A is required for the maintenance of mature centrioles and proper spindle orientation during cell division. It works in concert with other centriolar components, including CEP135 and SAS6, ensuring correct microtubule organization and ciliogenesis.

Mutations in POC1A cause primordial dwarfism and growth retardation syndromes due to defective centriole biogenesis and impaired mitotic progression. Cells lacking POC1A exhibit abnormal centrosome numbers, fragmented spindles, and cell cycle arrest. POC1A expression is also implicated in cilia assembly, linking centrosome function to signaling pathways such as Hedgehog and Wnt.

Because of its importance in centrosome biology, POC1A serves as a useful marker for studying mitotic structures, developmental abnormalities, and ciliopathies. NSJ Bioreagents provides a validated POC1A antibody optimized for western blot, immunofluorescence, and centrosome imaging, supporting research into centriole duplication, ciliary formation, and cell division regulation.

Application Notes

Optimal dilution of the POC1A antibody should be determined by the researcher.

Immunogen

E.coli-derived human POC1A recombinant protein (Position: A6-D371) was used as the immunogen for the POC1A antibody.

Storage

After reconstitution, the POC1A antibody can be stored for up to one month at 4oC. For long-term, aliquot and store at -20oC. Avoid repeated freezing and thawing.

Cross
Bulk Quote Request Form
Name*:
Organization*:
Email*:
Phone Number*:
Catalog No.*:
Comments and Specifics(amount, formulation, etc.)*:
Validation code: Captchapackage Image


Can't read the image? click here to refresh.
    *required field

Your bulk quote request has been submitted successfully!

Please contact us if you have any questions.