• Tel: 858.663.9055
  • SeparatorEmail: info@nsjbio.com
  • Tel: 858.663.9055
  • Email: info@nsjbio.com
Home >> Antibodies >> PMP70 Antibody / ABCD3

PMP70 Antibody / ABCD3 (R31203)

  Catalog No Formulation Size Price (USD)  
Image R31203 0.5mg/ml if reconstituted with 0.2ml sterile DI water 100 ug 449
Bulk quote request
Immunofluorescent staining of FFPE human A549 cells with PMP70 antibody (green) and DAPI nuclear stain (blue). HIER: steam section in pH6 citrate buffer for 20 min.
Immunohistochemical staining of FFPE human colon cancer tissue with PMP70 antibody, HRP-secondary and DAB substrate. HIER: boil tissue sections in pH8 EDTA for 20 min and allow to cool before testing.
Immunohistochemical staining of FFPE human prostate cancer tissue with PMP70 antibody, HRP-secondary and DAB substrate. HIER: boil tissue sections in pH8 EDTA for 20 min and allow to cool before testing.
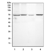
Western blot analysis of ABCD3 (PMP70) in 1) human 293T, 2) human HepG2, 3) rat liver and 4) mouse liver lysates using PMP70 antibody. A single band is detected at approximately 70 kDa in all samples, consistent with the reported apparent molecular weight of the 70 kDa peroxisomal membrane protein PMP70 (ABCD3) despite a theoretical mass of ~75 kDa.
Availability 1-3 business days
Species Reactivity Human, Mouse, Rat
Format Antigen affinity purified
Host Rabbit
Clonality Polyclonal (rabbit origin)
Isotype Rabbit IgG
Purity Antigen affinity
Buffer Lyophilized from 1X PBS with 2% Trehalose
UniProt P28288
Localization Cytoplasm (Peroxisome)
Applications Western Blot : 0.5-1ug/ml
Immunohistochemistry (FFPE) : 2-5ug/ml
Immunofluorescence : 5ug/ml
Limitations This PMP70 antibody is available for research use only.
Review this product on BioCompare and get a $20 Amazon gift card

Related Products

  • Applications : WB, IHC, ELISA (peptide)
    Reactivity : Human
    Pred. Reactivity : Mouse, Rat
  • Applications : WB, IHC, ELISA (peptide)
    Reactivity : Human
    Pred. Reactivity : Mouse, Rat

Description

PMP70 antibody recognizes ATP-binding cassette sub-family D member 3, also known as peroxisomal membrane protein 70 and encoded by the ABCD3 gene. The protein is a half-transporter located in the peroxisomal membrane and belongs to the ATP-binding cassette transporter family, specifically the peroxisomal subfamily responsible for importing fatty acyl-CoA substrates into peroxisomes. ABCD3 is strongly expressed in metabolically active tissues such as liver, kidney, adrenal gland, heart, and brown adipose tissue, reflecting its central role in lipid metabolism. The human ABCD3 gene is found on chromosome 1p22.1, where pathogenic variants can disrupt peroxisomal beta-oxidation and contribute to metabolic disease phenotypes. Protein localization studies consistently place ABCD3 in the peroxisomal membrane, where it frequently co-localizes with other peroxisomal markers such as PEX proteins and the beta-oxidation enzyme complex.

ABCD3 functions as a peroxisomal transporter responsible for importing branched-chain and very long chain fatty acyl-CoA esters, enabling beta-oxidation processes that cannot occur in mitochondria. This activity supports essential pathways including bile acid synthesis, plasmalogen production, branched-chain lipid metabolism, and detoxification of certain xenobiotic compounds. Disruption of ABCD3 impairs peroxisomal substrate import, resulting in accumulation of metabolically toxic lipid intermediates. Mutations in ABCD3 have been associated with peroxisomal fatty acid oxidation disorders, elevated long chain fatty acids, and metabolic syndromes involving hepatomegaly, hypoglycemia, or altered bile acid profiles. Mouse models lacking Abcd3 exhibit liver dysfunction, peroxisomal proliferation, and accumulation of branched-chain dicarboxylic acids, highlighting its physiological significance.

Structurally, ABCD3 contains transmembrane helices anchoring it within the peroxisomal membrane and a cytosolic nucleotide-binding domain responsible for ATP hydrolysis. As a half-transporter, ABCD3 forms homodimers or potentially heterodimeric complexes with related peroxisomal ABC transporters. Isoform analyses indicate alternative splicing events that may influence transporter stability or regulatory interactions. The protein is subject to phosphorylation-dependent regulation and interacts with peroxisomal biogenesis proteins that affect trafficking and membrane insertion. ABCD3 participates in broader cellular processes such as redox regulation, lipid signaling, and peroxisome-mitochondria metabolic crosstalk.

Developmentally, ABCD3 expression begins during embryogenesis and increases in parallel with the maturation of peroxisomal metabolic pathways. In adults, its expression is highest in tissues with strong demands for lipid catabolism. Cellular localization studies confirm that ABCD3 concentrates at peroxisomal membranes where it partially co-localizes with catalase-positive organelles, enabling efficient substrate transfer for oxidation. Peroxisome proliferation induced by dietary lipids, metabolic stress, or pharmacologic agents often increases ABCD3 abundance, underscoring its adaptive metabolic role.

This PMP70 antibody is suitable for detecting ABCD3 expression in research focused on peroxisomal biology, lipid metabolism, fatty acid oxidation, metabolic disease models, and organelle dynamics. It can support studies examining peroxisome proliferation, peroxisomal disorders, and interactions between lipid catabolism and cellular stress responses. NSJ Bioreagents provides this reagent as part of its metabolism and organelle-focused antibody catalog.

Application Notes

The stated application concentrations are suggested starting amounts. Titration of the PMP70 antibody may be required due to differences in protocols and secondary/substrate sensitivity.

Immunogen

An amino acid sequence from the C-terminus of human PMP70 (EFKQITEDTVEFGS) was used as the immunogen for this PMP70 antibody.

Storage

After reconstitution, the PMP70 antibody can be stored for up to one month at 4oC. For long-term, aliquot and store at -20oC. Avoid repeated freezing and thawing.

Cross
Bulk Quote Request Form
Name*:
Organization*:
Email*:
Phone Number*:
Catalog No.*:
Comments and Specifics(amount, formulation, etc.)*:
Validation code: Captchapackage Image


Can't read the image? click here to refresh.
    *required field

Your bulk quote request has been submitted successfully!

Please contact us if you have any questions.