• Tel: 858.663.9055
  • SeparatorEmail: info@nsjbio.com
  • Tel: 858.663.9055
  • Email: info@nsjbio.com
Home >> Antibodies >> PMEL Antibody for IF / Premelanosome Protein Antibody

PMEL Antibody for IF / Premelanosome Protein Antibody (FY13157)

  Catalog No Formulation Size Price (USD)  
Image FY13157 Adding 0.2 ml of distilled water will yield a concentration of 500 ug/ml 100 ug 449
Bulk quote request
PMEL Antibody for IF / Premelanosome Protein Antibody immunofluorescence analysis in human melanoma tissue. FFPE human melanoma section shows strong red fluorescent cytoplasmic staining in melanoma cells corresponding to premelanosome-associated localization of PMEL (SILV/gp100). The staining pattern appears as punctate vesicular fluorescence within the cytoplasm of tumor cells, consistent with melanosome and premelanosome structures characteristic of melanocytic lineage cells. Nuclei are counterstained with DAPI (blue). Heat mediated antigen retrieval was performed in EDTA buffer (pH 8.0) prior to antibody incubation, followed by detection with DyLight 594-conjugated goat anti-rabbit IgG secondary antibody and visualization by fluorescence microscopy.
Western blot analysis of SILV/PMEL using anti-PMEL antibody. Lane 1: human whole cell lysates, Lane 2: rat testis tissue lysates, Lane 3: rat C6 whole cell lysates, Lane 4: mouse testis tissue lysates. After electrophoresis, proteins were transferred to a nitrocellulose membrane at 150 mA for 50-90 minutes. Blocked the membrane with 5% non-fat milk/TBS for 1.5 hour at RT. The membrane was incubated with rabbit anti-PMEL antibody at 0.5 ug/ml overnight at 4oC, then washed with TBS-0.1%Tween 3 times with 5 minutes each and probed with a goat anti-rabbit IgG-HRP secondary antibody at a dilution of 1:5000 for 1.5 hour at RT. The signal was developed using enhanced chemiluminescent. PMEL antibody detects a band at ~75-80 kDa in the indicated lysates. Although the full-length glycosylated PMEL precursor is ~100 kDa, it is rapidly cleaved into luminal M-alpha (~60-80 kDa) and membrane M-beta (~26 kDa) fragments. The ~75-80 kDa species corresponds to the glycosylated M-alpha fragment, the predominant soluble intermediate form of PMEL detected in standard cell and tissue lysates.
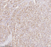
PMEL Antibody immunohistochemistry analysis in human melanoma tissue. FFPE human melanoma section shows HRP-DAB brown cytoplasmic and membranous staining in melanoma tumor cells, consistent with premelanosome-associated localization of PMEL (SILV/gp100) in melanocytic lineage cells. Staining highlights sheets of melanoma cells while surrounding stromal regions show minimal background signal. Heat-mediated antigen retrieval was performed in EDTA buffer (pH 8.0) prior to antibody incubation, followed by detection using peroxidase-conjugated goat anti-rabbit IgG secondary antibody and visualization with HRP-DAB chromogenic substrate.
Flow Cytometry analysis of U20S cells using PMEL/Premelanosome Protein antibody. Overlay histogram showing U20S cells stained with (Blue line). To facilitate intracellular staining, cells were fixed with 4% paraformaldehyde and permeabilized with permeabilization buffer. The cells were blocked with 10% normal goat serum. And then incubated with rabbit anti-PMEL antibody (1 ug/million cells) for 30 min at 20oC. DyLight 488 conjugated goat anti-rabbit IgG (5-10 ug/million cells) was used as secondary antibody for 30 minutes at 20oC. Isotype control antibody (Green line) was rabbit IgG (1 ug/million cells) used under the same conditions. Unlabelled sample (Red line) was also used as a control.
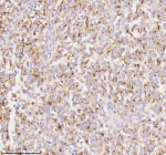
Immunohistochemical staining of SILV/PMEL using anti-PMEL antibody. SILV/PMEL was detected in a paraffin-embedded section of human melanoma tissue. Heat mediated antigen retrieval was performed in EDTA buffer (pH 8.0, epitope retrieval solution). The tissue section was blocked with 10% goat serum. The tissue section was then incubated with 2 ug/ml rabbit anti-PMEL antibody overnight at 4oC. Peroxidase Conjugated Goat Anti-rabbit IgG was used as secondary antibody and incubated for 30 minutes at 37oC. The tissue section was developed using an HRP secondary and DAB substrate.
Availability 1-2 days
Species Reactivity Human, Mouse, Rat
Format Lyophilized
Host Rabbit
Clonality Polyclonal (rabbit origin)
Isotype Rabbit IgG
Purity Immunogen affinity purified
Buffer Each vial contains 4 mg Trehalose, 0.9 mg NaCl, 0.2 mg Na2HPO4.
UniProt P40967
Localization Cytoplasm
Applications ELISA : 0.1-0.5ug/ml
Flow Cytometry : 1-3ug/million cells
Immunofluorescence : 5ug/ml
Immunohistochemistry : 2-5ug/ml
Western Blot : 0.25-0.5ug/ml
Limitations This PMEL/Premelanosome Protein antibody is available for research use only.
Review this product on BioCompare and get a $20 Amazon gift card

Related Products

Description

Premelanosome protein (PMEL), also known as gp100 or Pmel17, is a melanosome-associated glycoprotein encoded by the PMEL gene and expressed primarily in melanocytes and melanoma cells. PMEL Antibody for IF / Premelanosome protein enables immunofluorescence visualization of this melanocyte lineage marker and supports fluorescent imaging of melanosome-associated structures within pigment-producing cells. Because PMEL localizes to developing melanosomes, immunofluorescence staining typically reveals a distinctive punctate cytoplasmic fluorescent pattern corresponding to premelanosome vesicles and early melanosome compartments in melanocytes and melanoma cells. This vesicular cytoplasmic signal reflects the intracellular distribution of melanosomes during pigment cell differentiation and makes PMEL a widely used marker for immunofluorescence analysis of melanocytic cells. Immunofluorescence microscopy using a PMEL antibody therefore provides a direct method for visualizing melanosome-associated structures and studying intracellular organelle organization in melanocytes.

PMEL Antibody for IF is particularly useful for fluorescence-based analysis because premelanosomes represent specialized intracellular vesicles that participate in the early stages of melanosome formation. PMEL is synthesized in the endoplasmic reticulum and trafficked through the Golgi and endosomal system before being delivered to premelanosomes where it undergoes proteolytic processing and structural assembly. Within these compartments, PMEL forms fibrillar matrices that provide the structural scaffold for melanin polymer deposition during melanogenesis. Immunofluorescence staining therefore highlights the distribution of these premelanosome vesicles throughout the cytoplasm of melanocytes and melanoma cells. Using fluorescent labeling, PMEL Antibody for IF reveals vesicular cytoplasmic structures that correspond to developing melanosomes and pigment-producing organelles.

Fluorescent detection of PMEL is commonly used to investigate melanosome biogenesis, intracellular trafficking, and pigment cell differentiation. In cultured melanocytes and melanoma cell models, immunofluorescence staining frequently demonstrates punctate cytoplasmic fluorescence localized near the perinuclear region and extending toward cellular projections where mature melanosomes are transported. Confocal or wide-field fluorescence microscopy can therefore be used to visualize PMEL-associated vesicles and examine the spatial distribution of premelanosomes within melanocytes. Because the gp100 protein participates in early melanosome maturation, PMEL immunofluorescence provides insight into the formation and organization of melanosome structures inside pigment-producing cells.

PMEL is widely studied as a melanocyte lineage marker and is frequently evaluated alongside other melanocyte-associated proteins such as Melan-A, tyrosinase, and MITF in melanoma research. Immunofluorescence staining using a Premelanosome protein antibody therefore supports studies of melanocyte differentiation, melanosome formation, and melanoma cell biology. PMEL fluorescence can also be incorporated into co-localization studies with other melanosome or lysosome-associated markers to evaluate intracellular trafficking pathways and organelle maturation processes. Because gp100 expression is largely restricted to melanocytes and melanocytic tumors, fluorescent detection of PMEL provides a useful approach for identifying melanocytic cells and visualizing melanosome-associated vesicles in experimental systems.

PMEL Antibody for IF / Premelanosome protein enables fluorescent visualization of gp100 within melanocytes and melanoma cells and supports immunofluorescence-based investigation of melanosome organization and pigment cell biology. Immunofluorescence microscopy using a PMEL antibody reveals the characteristic punctate cytoplasmic distribution of premelanosomes and provides a powerful tool for studying melanocyte lineage cells, intracellular melanosome structure, and melanoma-associated cellular pathways.

Application Notes

Optimal dilution of the PMEL Antibody for IF should be determined by the researcher.

Immunogen

E.coli-derived human SILV/PMEL recombinant protein (Position: H182-Q5565) was used as the immunogen for the PMEL Antibody for IF.

Storage

After reconstitution, the PMEL antibody can be stored for up to one month at 4oC. For long-term, aliquot and store at -20oC. Avoid repeated freezing and thawing.

Alternate Names

gp100 antibody, Pmel17 antibody, Melanosome structural protein antibody, Melanocyte lineage marker antibody

Cross
Bulk Quote Request Form
Name*:
Organization*:
Email*:
Phone Number*:
Catalog No.*:
Comments and Specifics(amount, formulation, etc.)*:
Validation code: Captchapackage Image


Can't read the image? click here to refresh.
    *required field

Your bulk quote request has been submitted successfully!

Please contact us if you have any questions.