• Tel: 858.663.9055
  • SeparatorEmail: info@nsjbio.com
  • Tel: 858.663.9055
  • Email: info@nsjbio.com
Home >> Antibodies >> PLXDC2 Antibody / Plexin domain-containing protein 2 / TEM7R

PLXDC2 Antibody / Plexin domain-containing protein 2 / TEM7R (RQ8012)

  Catalog No Formulation Size Price (USD)  
Image RQ8012 0.5mg/ml if reconstituted with 0.2ml sterile DI water 100 ug 449
Bulk quote request
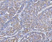
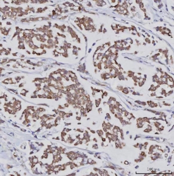
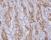
IHC staining of FFPE human breast cancer tissue with PLXDC2 antibody. HIER: boil tissue sections in pH8 EDTA for 20 min and allow to cool before testing.
IHC staining of FFPE human lymphoma tissue with PLXDC2 antibody. HIER: boil tissue sections in pH8 EDTA for 20 min and allow to cool before testing.
IHC staining of FFPE human liver cancer tissue with PLXDC2 antibody. HIER: boil tissue sections in pH8 EDTA for 20 min and allow to cool before testing.
Western blot testing of human 1) 293T, 2) HeLa and 3) HaCaT cell lysate with PLXDC2 antibody. Predicted molecular weight ~60 kDa.
Flow cytometry testing of fixed and permeabilized human MCF7 cells with PLXDC2 antibody at 1ug/million cells (blocked with goat sera); Red=cells alone, Green=isotype control, Blue= PLXDC2 antibody.
Flow cytometry testing of fixed and permeabilized human Caco-2 cells with PLXDC2 antibody at 1ug/million cells (blocked with goat sera); Red=cells alone, Green=isotype control, Blue= PLXDC2 antibody.
Availability 1-3 business days
Species Reactivity Human
Format Antigen affinity purified
Host Rabbit
Clonality Polyclonal (rabbit origin)
Isotype Rabbit IgG
Purity Antigen affinity purified
Buffer Lyophilized from 1X PBS with 2% Trehalose
UniProt Q6UX71
Applications Western Blot : 0.5-1ug/ml
Immunohistochemistry (FFPE) : 2-5ug/ml
Flow Cytometry : 1-3ug/million cells
Direct ELISA : 0.1-0.5ug/ml
Limitations This PLXDC2 antibody is available for research use only.
Review this product on BioCompare and get a $20 Amazon gift card

Description

Plexin domain-containing protein 2, also called Tumor endothelial marker 7-related protein (TEM7R) is a protein that in humans is encoded by the PLXDC2 gene. Predicted to be integral component of membrane.

Application Notes

Optimal dilution of the PLXDC2 antibody should be determined by the researcher.

Immunogen

E. coli-derived recombinant human protein (amino acids D23-K448) was used as the immunogen for the PLXDC2 antibody.

Storage

After reconstitution, the PLXDC2 antibody can be stored for up to one month at 4oC. For long-term, aliquot and store at -20oC. Avoid repeated freezing and thawing.

Cross
Bulk Quote Request Form
Name*:
Organization*:
Email*:
Phone Number*:
Catalog No.*:
Comments and Specifics(amount, formulation, etc.)*:
Validation code: Captchapackage Image


Can't read the image? click here to refresh.
    *required field

Your bulk quote request has been submitted successfully!

Please contact us if you have any questions.