• Tel: 858.663.9055
  • SeparatorEmail: info@nsjbio.com
  • Tel: 858.663.9055
  • Email: info@nsjbio.com
Home >> Antibodies >> PLK2 Antibody / Polo-like kinase 2

PLK2 Antibody / Polo-like kinase 2 (RQ4116)

  Catalog No Formulation Size Price (USD)  
Image RQ4116 0.5mg/ml if reconstituted with 0.2ml sterile DI water 100 ug 449
Bulk quote request
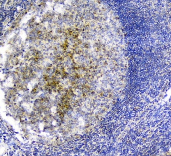
IHC staining of FFPE human tonsil tissue with PLK2 antibody. HIER: boil tissue sections in pH8 EDTA for 20 min and allow to cool before testing.
Western blot testing of 1) human MCF7, 2) human HepG2 and 3) mouse heart lysate with PLK2 antibody at 0.5ug/ml. Predicted molecular weight ~78 kDa.
Availability 1-3 business days
Species Reactivity Human, Mouse
Format Antigen affinity purified
Host Rabbit
Clonality Polyclonal (rabbit origin)
Isotype Rabbit IgG
Purity Antigen affinity purified
Buffer Lyophilized from 1X PBS with 2% Trehalose and 0.025% sodium azide
UniProt Q9NYY3
Localization Cytoplasmic, nuclear
Applications Western Blot : 0.5-1ug/ml
Immunohistochemistry (FFPE) : 2-5ug/ml
Direct ELISA : 0.1-0.5ug/ml
Limitations This PLK2 antibody is available for research use only.
Review this product on BioCompare and get a $20 Amazon gift card

Related Products

Description

Polo-like kinase2, also known as SNK is an enzyme that in humans is encoded by the PLK2 gene. PLK2 is a member of the 'polo' family of serine/threonine protein kinases that have a role in normal cell division. The International Radiation Hybrid Mapping Consortium mapped the SNK gene to chromosome 5. SNK involved in synaptic plasticity, centriole duplication and G1/S phase transition. This gene plays a key role in synaptic plasticity and memory by regulating the Ras and Rap protein signaling: required for overactivity-dependent spine remodeling by phosphorylating the Ras activator RASGRF1 and the Rap inhibitor SIPA1L1 leading to their degradation by the proteasome.

Application Notes

Optimal dilution of the PLK2 antibody should be determined by the researcher.

Immunogen

A recombinant human partial protein corresponding to amino acids A94-Q188 was used as the immunogen for the PLK2 antibody.

Storage

After reconstitution, the PLK2 antibody can be stored for up to one month at 4oC. For long-term, aliquot and store at -20oC. Avoid repeated freezing and thawing.

Cross
Bulk Quote Request Form
Name*:
Organization*:
Email*:
Phone Number*:
Catalog No.*:
Comments and Specifics(amount, formulation, etc.)*:
Validation code: Captchapackage Image


Can't read the image? click here to refresh.
    *required field

Your bulk quote request has been submitted successfully!

Please contact us if you have any questions.