• Tel: 858.663.9055
  • SeparatorEmail: info@nsjbio.com
  • Tel: 858.663.9055
  • Email: info@nsjbio.com
Home >> Antibodies >> PLEKHG5 Antibody / Pleckstrin homology domain-containing family G member 5

PLEKHG5 Antibody / Pleckstrin homology domain-containing family G member 5 (RQ8010)

  Catalog No Formulation Size Price (USD)  
Image RQ8010 0.5mg/ml if reconstituted with 0.2ml sterile DI water 100 ug 449
Bulk quote request
Immunofluorescent staining of FFPE human intestinal cancer tissue with PLEKHG5 antibody (red) and DAPI nuclear stain (blue). HIER: steam section in pH8 EDTA buffer for 20 min.
Immunofluorescent staining of FFPE human HeLa cells with PLEKHG5 antibody (red) and Alpha tubulin mAb (green). HIER: steam section in pH6 citrate buffer for 20 min.
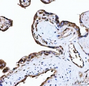
IHC staining of FFPE human placental tissue with PLEKHG5 antibody. HIER: boil tissue sections in pH8 EDTA for 20 min and allow to cool before testing.
IHC staining of FFPE human poorly differentiated adenocarcinoma of the ovary with PLEKHG5 antibody. HIER: boil tissue sections in pH8 EDTA for 20 min and allow to cool before testing.
IHC staining of FFPE human non-small-cell lung carcinoma tissue with PLEKHG5 antibody. HIER: boil tissue sections in pH8 EDTA for 20 min and allow to cool before testing.
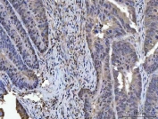
IHC staining of FFPE human colorectal adenocarcinoma tissue with PLEKHG5 antibody. HIER: boil tissue sections in pH8 EDTA for 20 min and allow to cool before testing.
IHC staining of FFPE human colorectal adenocarcinoma tissue with PLEKHG5 antibody. HIER: boil tissue sections in pH8 EDTA for 20 min and allow to cool before testing.
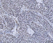
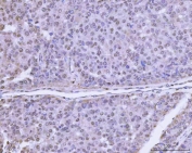
IHC staining of FFPE human liver cancer tissue with PLEKHG5 antibody. HIER: boil tissue sections in pH8 EDTA for 20 min and allow to cool before testing.
Western blot testing of human SH-SY5Y cell lysate with PLEKHG5 antibody. Predicted molecular weight ~122 kDa.
Availability 1-3 business days
Species Reactivity Human
Format Antigen affinity purified
Host Rabbit
Clonality Polyclonal (rabbit origin)
Isotype Rabbit IgG
Purity Antigen affinity purified
Buffer Lyophilized from 1X PBS with 2% Trehalose
UniProt A0A5F9ZHW8
Localization Nuclear, cytoplasmic
Applications Western Blot : 0.5-1ug/ml
Immunohistochemistry (FFPE) : 2-5ug/ml
Immunofluorescence : 5ug/ml
Direct ELISA : 0.1-0.5ug/ml
Limitations This PLEKHG5 antibody is available for research use only.
Review this product on BioCompare and get a $20 Amazon gift card

Description

Pleckstrin homology domain containing, family G member 5 (PLEKHG5) is a protein that in humans is encoded by the PLEKHG5 gene. This gene encodes a protein that activates the nuclear factor kappa B (NFKB1) signaling pathway. Mutations in this gene are associated with autosomal recessive distal spinal muscular atrophy. Multiple transcript variants encoding different isoforms have been found for this gene.

Application Notes

Optimal dilution of the PLEKHG5 antibody should be determined by the researcher.

Immunogen

E. coli-derived recombinant human protein (amino acids Q58-K974) was used as the immunogen for the PLEKHG5 antibody.

Storage

After reconstitution, the PLEKHG5 antibody can be stored for up to one month at 4oC. For long-term, aliquot and store at -20oC. Avoid repeated freezing and thawing.

Cross
Bulk Quote Request Form
Name*:
Organization*:
Email*:
Phone Number*:
Catalog No.*:
Comments and Specifics(amount, formulation, etc.)*:
Validation code: Captchapackage Image


Can't read the image? click here to refresh.
    *required field

Your bulk quote request has been submitted successfully!

Please contact us if you have any questions.