• Tel: 858.663.9055
  • SeparatorEmail: info@nsjbio.com
  • Tel: 858.663.9055
  • Email: info@nsjbio.com
Home >> Antibodies >> Pleiotrophin Antibody / PTN

Pleiotrophin Antibody / PTN [clone 32P54] (FY12423)

  Catalog No Formulation Size Price (USD)  
Image FY12423 Rabbit IgG in phosphate buffered saline, pH 7.4, 150mM NaCl, 0.02% sodium azide and 50% glycerol, 0.4-0.5mg/ml BSA 100 ul 449
Microvalidated Recrabbitmono
Bulk quote request
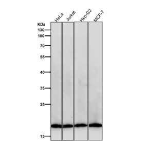
All lanes use the Pleiotrophin antibody at 1:5K dilution for 1 hour at room temperature. Predicted molecular weight ~19 kDa.
All lanes use the Pleiotrophin antibody at 1:5K dilution for 1 hour at room temperature. Predicted molecular weight ~19 kDa.
Immunohistochemical staining of PTN/Pleiotrophin using anti-Pleiotrophin antibody. Pleiotrophin was detected in a paraffin-embedded section of mouse brain tissue. Heat mediated antigen retrieval was performed in EDTA buffer (pH 8.0, epitope retrieval solution). The tissue section was blocked with 10% goat serum. The tissue section was then incubated with 1:50 rabbit anti-Pleiotrophin antibody overnight at 4oC. Peroxidase Conjugated Goat Anti-rabbit IgG was used as secondary antibody and incubated for 30 minutes at 37oC. The tissue section was developed using an HRP secondary and DAB substrate.
Immunohistochemical staining of PTN/Pleiotrophin using anti-Pleiotrophin antibody. Pleiotrophin was detected in a paraffin-embedded section of rat brain tissue. Heat mediated antigen retrieval was performed in EDTA buffer (pH 8.0, epitope retrieval solution). The tissue section was blocked with 10% goat serum. The tissue section was then incubated with 1:50 rabbit anti-Pleiotrophin antibody overnight at 4oC. Peroxidase Conjugated Goat Anti-rabbit IgG was used as secondary antibody and incubated for 30 minutes at 37oC. The tissue section was developed using an HRP secondary and DAB substrate.
Availability 2-3 weeks
Species Reactivity Human, Mouse, Rat
Format Liquid
Host Rabbit
Clonality Recombinant Rabbit Monoclonal
Isotype Rabbit IgG
Clone Name 32P54
Purity Affinity-chromatography
Buffer Rabbit IgG in phosphate buffered saline, pH 7.4, 150mM NaCl, 0.02% sodium azide and 50% glycerol, 0.4-0.5mg/ml BSA.
UniProt P21246
Localization Cytoplasm, cell membrane
Applications Western Blot : 1:500-1:2000
Immunohistochemistry : 1:50-1:200
Limitations This Pleiotrophin antibody is available for research use only.
Review this product on BioCompare and get a $20 Amazon gift card

Related Products

Description

Pleiotrophin antibody detects pleiotrophin, a secreted heparin binding growth factor encoded by the PTN gene. Pleiotrophin is a cytokine involved in the regulation of cell growth, survival, differentiation, and migration. It is highly expressed during embryonic development, where it contributes to neurogenesis, angiogenesis, and skeletal formation. In adult tissues, pleiotrophin expression is limited but becomes re induced during tissue repair and tumorigenesis.

Pleiotrophin antibody is applied in developmental biology, oncology, and regenerative medicine research. The protein interacts with receptors such as receptor protein tyrosine phosphatase beta zeta, syndecans, and anaplastic lymphoma kinase, activating signaling cascades including PI3K AKT and MAPK. These pathways promote proliferation and survival, making pleiotrophin an important regulator of both physiological and pathological growth. Detecting pleiotrophin provides insight into how extracellular cues influence signaling and cell fate decisions.

The antibody is validated for western blotting, immunohistochemistry, immunofluorescence, and ELISA. In western blot assays, pleiotrophin antibody identifies bands corresponding to the growth factor across tissue extracts. Immunohistochemistry reveals expression in vasculature and developing tissues, while immunofluorescence highlights extracellular distribution and receptor colocalization. ELISA applications allow quantification of secreted pleiotrophin in culture media or patient samples.

Overexpression of pleiotrophin has been reported in cancers including glioblastoma, breast carcinoma, and prostate cancer. In these contexts, pleiotrophin enhances angiogenesis, invasion, and tumor progression. By applying pleiotrophin antibody, scientists can evaluate pleiotrophin levels as a biomarker and investigate its potential as a therapeutic target.

In neuroscience, pleiotrophin plays roles in neuronal survival, synaptic plasticity, and axonal regeneration after injury. It promotes neurite outgrowth and supports recovery in models of neural damage. In skeletal biology, pleiotrophin regulates osteoblast differentiation and bone growth, linking it to both normal development and fracture healing. These diverse functions demonstrate the broad research value of pleiotrophin antibody.

Pleiotrophin antibody provided by NSJ Bioreagents offers reliable specificity for detecting this multifunctional growth factor. Its strong performance across multiple applications makes it an important tool for investigating pleiotrophin in development, disease, and regeneration.

Application Notes

Optimal dilution of the Pleiotrophin antibody should be determined by the researcher.

Immunogen

A synthesized peptide derived from human Pleiotrophin was used as the immunogen for the Pleiotrophin antibody.

Storage

Store the Pleiotrophin antibody at -20oC.

Cross
Bulk Quote Request Form
Name*:
Organization*:
Email*:
Phone Number*:
Catalog No.*:
Comments and Specifics(amount, formulation, etc.)*:
Validation code: Captchapackage Image


Can't read the image? click here to refresh.
    *required field

Your bulk quote request has been submitted successfully!

Please contact us if you have any questions.