• Tel: 858.663.9055
  • SeparatorEmail: info@nsjbio.com
  • Tel: 858.663.9055
  • Email: info@nsjbio.com
Home >> Antibodies >> PLD6 Antibody / Phospholipase D6 / MitoPLD

PLD6 Antibody / Phospholipase D6 / MitoPLD (RQ8059)

  Catalog No Formulation Size Price (USD)  
Image RQ8059 0.5mg/ml if reconstituted with 0.2ml sterile DI water 100 ug 449
Bulk quote request
Immunofluorescent staining of FFPE human esophagus squama cancer tissue with PLD6 antibody (red) and DAPI nuclear stain (blue). HIER: steam section in pH6 citrate buffer for 20 min.
IHC staining of FFPE human endometrial adenocarcinoma tissue with PLD6 antibody. HIER: boil tissue sections in pH8 EDTA for 20 min and allow to cool before testing.
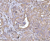
IHC staining of FFPE human colon adenocarcinoma tissue with PLD6 antibody. HIER: boil tissue sections in pH8 EDTA for 20 min and allow to cool before testing.
Western blot testing of human ThP-1 cell lysate with PLD6 antibody. Predicted molecular weight ~28 kDa.
Flow cytometry testing of fixed and permeabilized human MCF7 cells with PLD6 antibody at 1ug/million cells (blocked with goat sera); Red=cells alone, Green=isotype control, Blue= PLD6 antibody.
Availability 1-3 business days
Species Reactivity Human
Format Antigen affinity purified
Host Rabbit
Clonality Polyclonal (rabbit origin)
Isotype Rabbit IgG
Purity Antigen affinity purified
Buffer Lyophilized from 1X PBS with 2% Trehalose
UniProt Q8N2A8
Localization Cytoplasm
Applications Western Blot : 0.5-1ug/ml
Immunohistochemistry (FFPE) : 2-5ug/ml
Flow Cytometry : 1-3ug/million cells
Immunofluorescence : 5ug/ml
Direct ELISA : 0.1-0.5ug/ml
Limitations This PLD6 antibody is available for research use only.
Review this product on BioCompare and get a $20 Amazon gift card

Related Products

Description

PLD6 (phospholipase D family, member 6), also called MitoPLD (Mitochondrial phospholipase), is a protein-coding gene. Among its related super-pathways are choline biosynthesis III and Glycerophospholipid biosynthesis. GO annotations related to this gene include cardiolipin hydrolase activity and protein homodimerization activity. Regulates mitochondrial shape through facilitating mitochondrial fusion. During spermatogenesis, plays a critical role in PIWI-interacting RNA (piRNA) biogenesis (By similarity). piRNAs provide essential protection against the activity of mobile genetic elements. piRNA-mediated transposon silencing is thus critical for maintaining genome stability, in particular in germline cells when transposons are mobilized as a consequence of wide-spread genomic demethylation. Has been shown to be a backbone-non-specific, single strand-specific nuclease, cleaving either RNA or DNA substrates with similar affinity (By similarity). Produces 5' phosphate and 3' hydroxyl termini, suggesting it could directly participate in the processing of primary piRNA transcripts (By similarity). Has been proposed to act as a cardiolipin hydrolase to generate phosphatidic acid at mitochondrial surface. Although it cannot be excluded that it can act as a phospholipase in some circumstances, it should be noted that cardiolipin hydrolase activity is either undetectable in vitro, or very low (PubMed:21397848). In addition, cardiolipin is almost exclusively found on the inner mitochondrial membrane, while PLD6 localizes to the outer mitochondrial membrane, facing the cytosol.

Application Notes

Optimal dilution of the PLD6 antibody should be determined by the researcher.

Immunogen

E. coli-derived recombinant human protein (amino acids R39-L238) was used as the immunogen for the PLD6 antibody.

Storage

After reconstitution, the PLD6 antibody can be stored for up to one month at 4oC. For long-term, aliquot and store at -20oC. Avoid repeated freezing and thawing.

Cross
Bulk Quote Request Form
Name*:
Organization*:
Email*:
Phone Number*:
Catalog No.*:
Comments and Specifics(amount, formulation, etc.)*:
Validation code: Captchapackage Image


Can't read the image? click here to refresh.
    *required field

Your bulk quote request has been submitted successfully!

Please contact us if you have any questions.