• Tel: 858.663.9055
  • SeparatorEmail: info@nsjbio.com
  • Tel: 858.663.9055
  • Email: info@nsjbio.com
Home >> Antibodies >> PLD5 Antibody / Phospholipase D family member 5

PLD5 Antibody / Phospholipase D family member 5 (FY12117)

  Catalog No Formulation Size Price (USD)  
Image FY12117 Adding 0.2 ml of distilled water will yield a concentration of 500 ug/ml 100 ug 449
Bulk quote request
IHC analysis of PLD5 using anti-PLD5 antibody. PLD5 was detected in a paraffin-embedded section of human breast cancer tissue. Heat mediated antigen retrieval was performed in EDTA buffer (pH 8.0, epitope retrieval solution). The tissue section was blocked with 10% goat serum. The tissue section was then incubated with 2 ug/ml rabbit anti-PLD5 antibody overnight at 4oC. Peroxidase Conjugated Goat Anti-rabbit IgG was used as secondary antibody and incubated for 30 minutes at 37oC. The tissue section was developed using an HRP secondary and DAB substrate.
Western blot analysis of PLD5 using anti-PLD5 antibody. Lane 1: human U20S whole cell lysates, Lane 2: human SH-SY5Y whole cell lysates, Lane 3: human Caco-2 whole cell lysates, Lane 4: human whole cell lysates, Lane 5: rat C6 whole cell lysates, Lane 6: mouse Neoro-2a whole cell lysates. After electrophoresis, proteins were transferred to a nitrocellulose membrane at 150 mA for 50-90 minutes. Blocked the membrane with 5% non-fat milk/TBS for 1.5 hour at RT. The membrane was incubated with rabbit anti-PLD5 antibody at 0.5 ug/ml overnight at 4oC, then washed with TBS-0.1%Tween 3 times with 5 minutes each and probed with a goat anti-rabbit IgG-HRP secondary antibody at a dilution of 1:5000 for 1.5 hour at RT. The signal was developed using enhanced chemiluminescent. The expected band size for PLD5 is at 61/51/38/54 kDa (multiple isoforms) but can be observed at up to ~70 kDa due to glycosylation.
IHC analysis of PLD5 using anti-PLD5 antibody. PLD5 was detected in a paraffin-embedded section of human prostate cancer tissue. Heat mediated antigen retrieval was performed in EDTA buffer (pH 8.0, epitope retrieval solution). The tissue section was blocked with 10% goat serum. The tissue section was then incubated with 2 ug/ml rabbit anti-PLD5 antibody overnight at 4oC. Peroxidase Conjugated Goat Anti-rabbit IgG was used as secondary antibody and incubated for 30 minutes at 37oC. The tissue section was developed using an HRP secondary and DAB substrate.
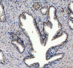
IHC analysis of PLD5 using anti-PLD5 antibody. PLD5 was detected in a paraffin-embedded section of mouse cerebellum tissue. Heat mediated antigen retrieval was performed in EDTA buffer (pH 8.0, epitope retrieval solution). The tissue section was blocked with 10% goat serum. The tissue section was then incubated with 2 ug/ml rabbit anti-PLD5 antibody overnight at 4oC. Peroxidase Conjugated Goat Anti-rabbit IgG was used as secondary antibody and incubated for 30 minutes at 37oC. The tissue section was developed using an HRP secondary and DAB substrate.
IHC analysis of PLD5 using anti-PLD5 antibody. PLD5 was detected in a paraffin-embedded section of rat cerebellum tissue. Heat mediated antigen retrieval was performed in EDTA buffer (pH 8.0, epitope retrieval solution). The tissue section was blocked with 10% goat serum. The tissue section was then incubated with 2 ug/ml rabbit anti-PLD5 antibody overnight at 4oC. Peroxidase Conjugated Goat Anti-rabbit IgG was used as secondary antibody and incubated for 30 minutes at 37oC. The tissue section was developed using an HRP secondary and DAB substrate.
IHC analysis of PLD5 using anti-PLD5 antibody. PLD5 was detected in a paraffin-embedded section of rat cerebellum tissue. Heat mediated antigen retrieval was performed in EDTA buffer (pH 8.0, epitope retrieval solution). The tissue section was blocked with 10% goat serum. The tissue section was then incubated with 2 ug/ml rabbit anti-PLD5 antibody overnight at 4oC. Peroxidase Conjugated Goat Anti-rabbit IgG was used as secondary antibody and incubated for 30 minutes at 37oC. The tissue section was developed using an HRP secondary and DAB substrate.
Flow Cytometry analysis of SH-SY5Y cells using anti-PLD5 antibody. Overlay histogram showing SH-SY5Y cells stained with (Blue line). The cells were fixed with 4% paraformaldehyde and blocked with 10% normal goat serum. And then incubated with rabbit anti-PLD5 antibody (1 ug/million cells) for 30 min at 20oC. DyLight 488 conjugated goat anti-rabbit IgG (5-10 ug/million cells) was used as secondary antibody for 30 minutes at 20oC. Isotype control antibody (Green line) was rabbit IgG (1 ug/million cells) used under the same conditions. Unlabelled sample without incubation with primary antibody and secondary antibody (Red line) was used as a blank control.
Availability 1-2 days
Species Reactivity Human, Mouse, Rat
Format Lyophilized
Host Rabbit
Clonality Polyclonal (rabbit origin)
Isotype Rabbit IgG
Purity Immunogen affinity purified
Buffer Each vial contains 4 mg Trehalose, 0.9 mg NaCl, 0.2 mg Na2HPO4.
UniProt Q8N7P1
Applications Western Blot : 0.25-0.5ug/ml
Immunohistochemistry : 2-5ug/ml
Flow Cytometry : 1-3ug/million cells
ELISA : 0.1-0.5ug/ml
Limitations This PLD5 antibody is available for research use only.
Review this product on BioCompare and get a $20 Amazon gift card

Description

PLD5 antibody detects Phospholipase D family member 5, encoded by the PLD5 gene on chromosome 1q43. Phospholipase D enzymes catalyze hydrolysis of phosphatidylcholine to produce phosphatidic acid, a lipid signaling molecule that regulates cellular pathways including vesicle trafficking, cytoskeletal dynamics, and signal transduction. PLD5, however, is considered catalytically inactive due to substitutions in critical catalytic residues. Despite lacking enzymatic activity, PLD5 has been implicated in neuronal development, apoptosis, and cellular signaling, suggesting non-canonical functions that distinguish it from PLD1 and PLD2.

Expression of PLD5 is enriched in the brain, particularly in regions such as the hippocampus and cerebellum, where it may influence synaptic plasticity and neuronal survival. Experimental studies suggest that PLD5 regulates apoptosis pathways, possibly through scaffolding functions or interactions with other lipid signaling proteins. Its expression is developmentally regulated, peaking during neuronal differentiation. These observations make PLD5 an intriguing candidate for research into brain development and neurodegeneration.

Although PLD5 is enzymatically inactive, it remains structurally related to other phospholipase D family proteins. It contains conserved phox homology (PX) and pleckstrin homology (PH) domains, which are typically involved in membrane targeting and protein interactions. These domains suggest that PLD5 may function as a regulatory scaffold that influences lipid signaling networks. Comparative studies with PLD1 and PLD2 demonstrate how inactive family members such as PLD5 contribute to broader signaling diversity. PLD5 antibody is therefore an essential reagent for distinguishing PLD5 expression patterns from active family members and for clarifying its regulatory roles.

Research applications of PLD5 antibody include western blotting, immunohistochemistry, and immunofluorescence, especially in brain tissues. It has been used to track expression during neuronal differentiation and in models of neurodegeneration. By comparing PLD5 expression to catalytically active phospholipases, researchers gain insight into how non-enzymatic family members influence signaling. NSJ Bioreagents provides PLD5 antibody for these applications, enabling the study of this understudied but significant protein.

Application Notes

Optimal dilution of the PLD5 antibody should be determined by the researcher.

Immunogen

E.coli-derived human PLD5 recombinant protein (Position: K247-K517) was used as the immunogen for the PLD5 antibody.

Storage

After reconstitution, the PLD5 antibody can be stored for up to one month at 4oC. For long-term, aliquot and store at -20oC. Avoid repeated freezing and thawing.

Cross
Bulk Quote Request Form
Name*:
Organization*:
Email*:
Phone Number*:
Catalog No.*:
Comments and Specifics(amount, formulation, etc.)*:
Validation code: Captchapackage Image


Can't read the image? click here to refresh.
    *required field

Your bulk quote request has been submitted successfully!

Please contact us if you have any questions.