• Tel: 858.663.9055
  • SeparatorEmail: info@nsjbio.com
  • Tel: 858.663.9055
  • Email: info@nsjbio.com
Home >> Antibodies >> PLCG2 Antibody / Phosphoinositide phospholipase C gamma 2

PLCG2 Antibody / Phosphoinositide phospholipase C gamma 2 (RQ4424)

  Catalog No Formulation Size Price (USD)  
Image RQ4424 0.5mg/ml if reconstituted with 0.2ml sterile DI water 100 ug 449
Bulk quote request
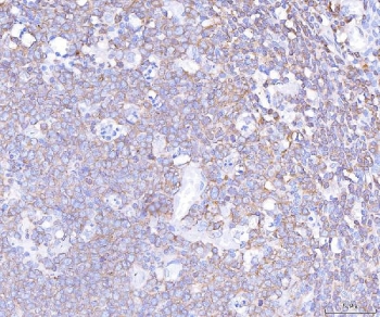
IHC staining of FFPE human tonsil tissue with PLCG2 antibody. HIER: boil tissue sections in pH8 EDTA for 20 min and allow to cool before testing.
Immunofluorescent staining of FFPE human U-2 OS cells with PLCG2 antibody (green) and DAPI nuclear stain (blue). HIER: steam section in pH6 citrate buffer for 20 min.
Western blot testing of human 1) Raji and 2) Daudi cell lysate with PLCG2 antibody. Predicted molecular weight ~148 kDa.
Flow cytometry testing of human ThP-1 cells with PLCG2 antibody at 1ug/million cells (blocked with goat sera); Red=cells alone, Green=isotype control, Blue= PLCG2 antibody.
Availability 1-3 business days
Species Reactivity Human
Format Antigen affinity purified
Host Rabbit
Clonality Polyclonal (rabbit origin)
Isotype Rabbit IgG
Purity Antigen affinity purified
Buffer Lyophilized from 1X PBS with 2% Trehalose
UniProt P16885
Localization Cytoplasmic, cell membrane
Applications Western Blot : 0.5-1ug/ml
Immunohistochemistry (FFPE) : 2-5ug/ml
Immunofluorescence (FFPE) : 5ug/ml
Flow Cytometry : 1-3ug/million cells
Direct ELISA : 0.1-0.5ug/ml (recombinant human protein) (BSA-free format available)
Limitations This PLCG2 antibody is available for research use only.
Review this product on BioCompare and get a $20 Amazon gift card

Description

1-Phosphatidylinositol-4,5-bisphosphate phosphodiesterase gamma-2 is an enzyme that in humans is encoded by the PLCG2 gene. The protein encoded by this gene is a transmembrane signaling enzyme that catalyzes the conversion of 1-phosphatidyl-1D-myo-inositol 4,5-bisphosphate to 1D-myo-inositol 1,4,5-trisphosphate (IP3) and diacylglycerol (DAG) using calcium as a cofactor. IP3 and DAG are second messenger molecules important for transmitting signals from growth factor receptors and immune system receptors across the cell membrane. Mutations in this gene have been found in autoinflammation, antibody deficiency, and immune dysregulation syndrome and familial cold autoinflammatory syndrome 3.

Application Notes

Optimal dilution of the PLCG2 antibody should be determined by the researcher.

Immunogen

A human partial recombinant protein corresponding to amino acids R1201-V1258 was used as the immunogen for the PLCG2 antibody.

Storage

After reconstitution, the PLCG2 antibody can be stored for up to one month at 4oC. For long-term, aliquot and store at -20oC. Avoid repeated freezing and thawing.

Cross
Bulk Quote Request Form
Name*:
Organization*:
Email*:
Phone Number*:
Catalog No.*:
Comments and Specifics(amount, formulation, etc.)*:
Validation code: Captchapackage Image


Can't read the image? click here to refresh.
    *required field

Your bulk quote request has been submitted successfully!

Please contact us if you have any questions.