• Tel: 858.663.9055
  • SeparatorEmail: info@nsjbio.com
  • Tel: 858.663.9055
  • Email: info@nsjbio.com
Home >> Antibodies >> Plasma Cell Marker Antibody

Plasma Cell Marker Antibody [clone SPM310] (V9116)

  Catalog No Formulation Size Price (USD)  
Image V9116-100UG 0.2 mg/ml in 1X PBS with 0.1 mg/ml BSA (US sourced) and 0.05% sodium azide 100 ug 559
Image
V9116-20UG 0.2 mg/ml in 1X PBS with 0.1 mg/ml BSA (US sourced) and 0.05% sodium azide 20 ug 259
Image
V9116SAF-100UG 1 mg/ml in 1X PBS; BSA free, sodium azide free 100 ug 559
Image
V9116IHC-7ML Prediluted in 1X PBS with 0.1 mg/ml BSA (US sourced) and 0.05% sodium azide; *For IHC use only* 7 ml 559
Bulk quote request
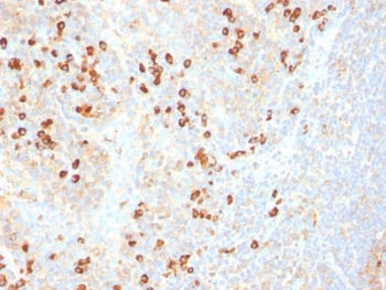
IHC: Formalin-fixed, paraffin-embedded human tonsil stained with Plasma cell Marker antibody (SPM310).
Availability 1-3 business days
Species Reactivity Human
Format Purified
Host Mouse
Clonality Monoclonal (mouse origin)
Isotype Mouse IgG2a, kappa
Clone Name SPM310
Purity Protein G affinity chromatography
Localization Cytoplasmic
Applications Immunohistochemistry (FFPE) : 0.1-0.2ug/ml for 30 min at RT
Limitations This Plasma Cell Marker antibody is available for research use only.
Review this product on BioCompare and get a $20 Amazon gift card

Related Products

Description

It recognizes an intra-cytoplasmic antigen, which shows a very high degree of specificity for plasma cells. This antigen is present in normal as well as neoplastic plasma cells. Plasma cells, which are large lymphocytes derived from an antigen-specific B cell, secrete antibodies and are responsible for humoral immunity. Plasma cells differentiate from B cells upon stimulation by CD4+ lymphocytes. The B cell acts as an antigen-presenting cell (APC), consuming an offending pathogen, which is taken up by the B cell by phagocytosis and broken down within proteosomes. Plasma cells contain basophilic cytoplasm; their nucleus contains heterochromatin organized in a characteristic cartwheel arrangement. This mAb superbly recognizes normal and neoplastic plasma cells in routine formalin-fixed, paraffin-embedded tissue sections. It is of potential value in identifying myeloma or plasmacytoma in bone marrow or other tissues. It also helps differentiate lympho-plasmacytoid lymphoma from lymphocytic and follicular lymphoma.

Application Notes

The optimal dilution of the Plasma Cell Marker antibody for each application should be determined by the researcher.

1. Staining of formalin-fixed tissues requires boiling tissue sections in pH 9 10mM Tris with 1mM EDTA for 10-20 min followed by cooling at RT for 20 minutes. Not suitable for staining frozen tissues.
2. The prediluted format is supplied in a dropper bottle and is optimized for use in IHC. After epitope retrieval step (if required), drip mAb solution onto the tissue section and incubate at RT for 30 min.

Immunogen

Pancreatic cancer-related mucin was used as the immunogen for this Plasma Cell Marker antibody.

Storage

Store the Plasma Cell Marker antibody at 2-8oC (with azide) or aliquot and store at -20oC or colder (without azide).

Cross
Bulk Quote Request Form
Name*:
Organization*:
Email*:
Phone Number*:
Catalog No.*:
Comments and Specifics(amount, formulation, etc.)*:
Validation code: Captchapackage Image


Can't read the image? click here to refresh.
    *required field

Your bulk quote request has been submitted successfully!

Please contact us if you have any questions.