• Tel: 858.663.9055
  • SeparatorEmail: info@nsjbio.com
  • Tel: 858.663.9055
  • Email: info@nsjbio.com
Home >> Antibodies >> Placental Alkaline Phosphatase Antibody for WB

Placental Alkaline Phosphatase Antibody for WB [clone ALP/870] (V2514)

  Catalog No Formulation Size Price (USD)  
Image V2514-100UG 0.2 mg/ml in 1X PBS with 0.1 mg/ml BSA (US sourced) and 0.05% sodium azide 100 ug 559
Image
V2514-20UG 0.2 mg/ml in 1X PBS with 0.1 mg/ml BSA (US sourced) and 0.05% sodium azide 20 ug 259
Image
V2514SAF-100UG 1 mg/ml in 1X PBS; BSA free, sodium azide free 100 ug 559
Image
V2514IHC-7ML Prediluted in 1X PBS with 0.1 mg/ml BSA (US sourced) and 0.05% sodium azide; *For IHC use only* 7 ml 559
Bulk quote request
Placental Alkaline Phosphatase Antibody for WB. Western blot testing of human JEG-3 cell lysate with Placental Alkaline Phosphatase antibody. A band is detected at approximately 60-70 kDa, which is slightly higher than the predicted molecular weight of 58 kDa for Placental alkaline phosphatase / ALPP. The upward shift is consistent with glycosylation of this GPI-anchored membrane enzyme, which commonly alters apparent migration on SDS-PAGE.
SDS-PAGE analysis of purified, BSA-free Placental Alkaline Phosphatase antibody (clone ALP/870) as confirmation of integrity and purity.
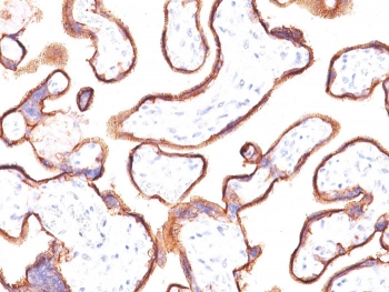
IHC: Formalin-fixed, paraffin-embedded human placenta stained with Placental Alkaline Phosphatase antibody (clone ALP/870).
Availability 1-3 business days
Species Reactivity Human
Format Purified
Host Mouse
Clonality Monoclonal (mouse origin)
Isotype Mouse IgG2b, kappa
Clone Name ALP/870
Purity Protein G affinity chromatography
UniProt P05187
Localization Cytoplasmic and cell surface
Applications Immunohistochemistry (FFPE) : 0.25-0.5ug/ml; 30 min at RT (1)
Prediluted IHC Only Format : incubate for 30 min at RT (2)
Western Blot : 1-2ug/ml
Limitations This Placental Alkaline Phosphatase antibody is available for research use only.
Review this product on BioCompare and get a $20 Amazon gift card

Related Products

Description

Alkaline phosphatase placental is a glycosylphosphatidylinositol-anchored membrane enzyme encoded by the ALPP gene and widely known as placental alkaline phosphatase or PLAP. The Placental Alkaline Phosphatase Antibody for WB is developed to detect this membrane-associated isoenzyme in immunoblot-based protein expression studies. ALPP is located on chromosome 2q37 and belongs to the alkaline phosphatase family of homodimeric metalloenzymes that catalyze the hydrolysis of phosphate monoesters under alkaline conditions.

Because PLAP is a surface-anchored glycoprotein, western blot detection is typically performed on lysates or membrane-enriched fractions where detergent solubilization improves recovery of the GPI-anchored species. In immunoblot workflows, PLAP may appear as one or more immunoreactive bands due to heterogeneity in glycosylation and processing, and signal intensity can vary with sample preparation, reduction conditions, and degree of membrane protein enrichment. These considerations make PLAP a useful target for studies comparing placental or tumor-derived expression profiles and for confirming presence of ALPP in engineered cell systems expressing PLAP.

Expression of ALPP is strongly associated with placental trophoblast biology and is also observed in germ cell tumor models that recapitulate trophoblastic or seminomatous differentiation. In western blot experiments, this restricted expression helps support interpretation when comparing placental samples, germ cell tumor cell lines, and negative control tissues. Immunoblot-based detection of PLAP is also used in studies tracking differentiation state, membrane enzyme abundance, and changes in surface protein composition under experimental perturbations.

ALPP shares structural similarity with other alkaline phosphatase isoenzymes, including tissue-nonspecific and intestinal forms, which can motivate parallel immunoblot validation using isoenzyme-specific reagents when differentiating family members. Use of a Placental Alkaline Phosphatase antibody for WB supports research workflows focused on membrane protein characterization, comparative expression analysis, and verification of PLAP presence in placental and germ cell tumor research models.

For a clone-defined placental marker antibody with extensive placenta-positive and normal tissue-negative immunohistochemistry validation data, see our ALPP Antibody / Placental Marker Antibody page featuring clone rALP/870.

Application Notes

Optimal dilution of the Placental Alkaline Phosphatase antibody should be determined by the researcher.

1. No special pretreatment is required for the immunohistochemical staining of formalin-fixed tissues.
2. The prediluted format is supplied in a dropper bottle and is optimized for use in IHC. After epitope retrieval step (if required), drip mAb solution onto the tissue section and incubate at RT for 30 min.

Immunogen

Recombinant full-length human ALPP protein was used as the immunogen for the Placental Alkaline Phosphatase antibody.

Storage

Store the Placental Alkaline Phosphatase antibody at 2-8oC (with azide) or aliquot and store at -20oC or colder (without azide).

Cross
Bulk Quote Request Form
Name*:
Organization*:
Email*:
Phone Number*:
Catalog No.*:
Comments and Specifics(amount, formulation, etc.)*:
Validation code: Captchapackage Image


Can't read the image? click here to refresh.
    *required field

Your bulk quote request has been submitted successfully!

Please contact us if you have any questions.