• Tel: 858.663.9055
  • SeparatorEmail: info@nsjbio.com
  • Tel: 858.663.9055
  • Email: info@nsjbio.com
Home >> Antibodies >> PLAAT4 Antibody / RARRES3

PLAAT4 Antibody / RARRES3 (FY12877)

  Catalog No Formulation Size Price (USD)  
Image FY12877 Adding 0.2 ml of distilled water will yield a concentration of 500 ug/ml 100 ug 449
Bulk quote request
Immunofluorescent staining of PLAAT4 using anti-PLAAT4 antibody. PLAAT4 was detected in an immunocytochemical section of U2OS cells. Enzyme antigen retrieval was performed using IHC enzyme antigen retrieval reagent for 15 mins. The cells were blocked with 10% goat serum. And then incubated with 5 ug/ml rabbit anti-PLAAT4 antibody overnight at 4oC. DyLight 488 Conjugated Goat Anti-Rabbit IgG was used as secondary antibody at 1:500 dilution and incubated for 30 minutes at 37oC. The section was counterstained with DAPI nuclear stain (blue). Visualize using a fluorescence microscope and filter sets appropriate for the label used.
Western blot analysis of PLAAT4 using anti-PLAAT4 antibody. Electrophoresis was performed on a 12% SDS-PAGE gel at 80V (Stacking gel) / 120V (Resolving gel) for 2 hours. Lane 1: human U251 whole cell lysates, Lane 2: human Jurkat whole cell lysates, Lane 3: human SIHA whole cell lysates, Lane 4: rat PC-12 whole cell lysates, Lane 5: mouse NIH/3T3 whole cell lysates. After electrophoresis, proteins were transferred to a nitrocellulose membrane at 150 mA for 50-90 minutes. Blocked the membrane with 5% non-fat milk/TBS for 1.5 hour at RT. The membrane was incubated with rabbit anti-PLAAT4 antibody at 0.5 ug/ml overnight at 4oC, then washed with TBS-0.1%Tween 3 times with 5 minutes each and probed with a goat anti-rabbit IgG-HRP secondary antibody at a dilution of 1:5000 for 1.5 hour at RT. The signal was developed using an ECL Plus Western Blotting Substrate. The expected molecular weight of PLAAT4 is ~18 kDa.
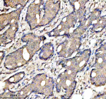
Immunohistochemical staining of PLAAT4 using anti-PLAAT4 antibody. PLAAT4 was detected in a paraffin-embedded section of human breast cancer tissue. Heat mediated antigen retrieval was performed in EDTA buffer (pH 8.0, epitope retrieval solution). The tissue section was blocked with 10% goat serum. The tissue section was then incubated with 2 ug/ml rabbit anti-PLAAT4 antibody overnight at 4oC. Peroxidase Conjugated Goat Anti-rabbit IgG was used as secondary antibody and incubated for 30 minutes at 37oC. The tissue section was developed using an HRP secondary and DAB substrate.
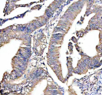
Immunohistochemical staining of PLAAT4 using anti-PLAAT4 antibody. PLAAT4 was detected in a paraffin-embedded section of human colon cancer tissue. Heat mediated antigen retrieval was performed in EDTA buffer (pH 8.0, epitope retrieval solution). The tissue section was blocked with 10% goat serum. The tissue section was then incubated with 2 ug/ml rabbit anti-PLAAT4 antibody overnight at 4oC. Peroxidase Conjugated Goat Anti-rabbit IgG was used as secondary antibody and incubated for 30 minutes at 37oC. The tissue section was developed using an HRP secondary and DAB substrate.
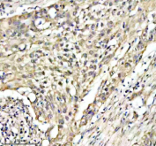
Immunohistochemical staining of PLAAT4 using anti-PLAAT4 antibody. PLAAT4 was detected in a paraffin-embedded section of human pancreas cancer tissue. Heat mediated antigen retrieval was performed in EDTA buffer (pH 8.0, epitope retrieval solution). The tissue section was blocked with 10% goat serum. The tissue section was then incubated with 2 ug/ml rabbit anti-PLAAT4 antibody overnight at 4oC. Peroxidase Conjugated Goat Anti-rabbit IgG was used as secondary antibody and incubated for 30 minutes at 37oC. The tissue section was developed using an HRP secondary and DAB substrate.
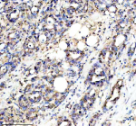
Immunohistochemical staining of PLAAT4 using anti-PLAAT4 antibody. PLAAT4 was detected in a paraffin-embedded section of human bladder cancer tissue. Heat mediated antigen retrieval was performed in EDTA buffer (pH 8.0, epitope retrieval solution). The tissue section was blocked with 10% goat serum. The tissue section was then incubated with 2 ug/ml rabbit anti-PLAAT4 antibody overnight at 4oC. Peroxidase Conjugated Goat Anti-rabbit IgG was used as secondary antibody and incubated for 30 minutes at 37oC. The tissue section was developed using an HRP secondary and DAB substrate.
Availability 1-2 days
Species Reactivity Human, Mouse, Rat
Format Lyophilized
Host Rabbit
Clonality Polyclonal (rabbit origin)
Isotype Rabbit IgG
Purity Immunogen affinity purified
Buffer Each vial contains 4 mg Trehalose, 0.9 mg NaCl, 0.2 mg Na2HPO4.
UniProt Q9UL19
Applications Western Blot : 0.25-0.5ug/ml
Immunohistochemistry : 2-5ug/ml
Immunocytochemistry/Immunofluorescence : 5ug/ml
ELISA : 0.1-0.5ug/ml
Limitations This PLAAT4 antibody is available for research use only.
Review this product on BioCompare and get a $20 Amazon gift card

Description

PLAAT4 antibody detects Phospholipase A and acyltransferase 4, also known as Retinoic acid receptor responder protein 3 (RARRES3), a multifunctional enzyme involved in lipid metabolism, immune regulation, and tumor suppression. Encoded by the PLAAT4 gene on chromosome 11q23.3, this protein belongs to the phospholipase A/acyltransferase family and is induced by retinoic acid signaling. PLAAT4 hydrolyzes membrane phospholipids and transfers acyl chains to form lysophospholipids and neutral lipids, influencing lipid signaling and membrane remodeling.

Structurally, PLAAT4 is an approximately 18 kilodalton enzyme localized to the endoplasmic reticulum and Golgi membranes. It contains a conserved catalytic dyad characteristic of the NlpC/P60 thiol protease superfamily, which mediates both phospholipase A and acyltransferase activities. Through its dual enzymatic function, PLAAT4 regulates cellular lipid composition, affecting membrane curvature, vesicle trafficking, and immune response modulation. Its expression is upregulated by retinoic acid and interferons, suggesting a role in antiviral defense and differentiation control.

The PLAAT4 antibody is widely used in cancer biology, immunology, and lipid signaling research to study retinoid-responsive pathways and lipid remodeling. Western blot analysis identifies a band at approximately 18 kilodaltons corresponding to PLAAT4, while immunofluorescence reveals perinuclear and vesicular localization consistent with endoplasmic reticulum distribution. This antibody enables investigation of how lipid hydrolysis and acylation influence inflammatory signaling and cellular differentiation.

Functionally, PLAAT4 acts as a tumor suppressor by antagonizing the Wnt/beta-catenin pathway, suppressing proliferation, and promoting differentiation in epithelial tissues. It also participates in the interferon-mediated antiviral response, where its enzymatic products help modulate viral replication and immune activation. In lipid metabolism, PLAAT4 contributes to the synthesis of signaling lipids that regulate inflammation and apoptosis. Dysregulation or loss of PLAAT4 expression has been observed in cancers such as breast and colorectal carcinoma, linking it to impaired retinoid signaling and altered lipid homeostasis. The PLAAT4 antibody provides a reliable reagent for exploring these cellular processes and identifying therapeutic targets in retinoid and immune pathways. NSJ Bioreagents validates this antibody for its applications, ensuring dependable detection in lipid and immune signaling studies.

Application Notes

Optimal dilution of the PLAAT4 antibody should be determined by the researcher.

Immunogen

E.coli-derived human RARRES3/PLAAT4 recombinant protein (Position: M1-K124) was used as the immunogen for the PLAAT4 antibody.

Storage

After reconstitution, the PLAAT4 antibody can be stored for up to one month at 4oC. For long-term, aliquot and store at -20oC. Avoid repeated freezing and thawing.

Cross
Bulk Quote Request Form
Name*:
Organization*:
Email*:
Phone Number*:
Catalog No.*:
Comments and Specifics(amount, formulation, etc.)*:
Validation code: Captchapackage Image


Can't read the image? click here to refresh.
    *required field

Your bulk quote request has been submitted successfully!

Please contact us if you have any questions.