• Tel: 858.663.9055
  • SeparatorEmail: info@nsjbio.com
  • Tel: 858.663.9055
  • Email: info@nsjbio.com
Home >> Antibodies >> PKM2 Antibody

PKM2 Antibody (R31966)

  Catalog No Formulation Size Price (USD)  
Image R31966 0.5mg/ml if reconstituted with 0.2ml sterile DI water 100 ug 449
Bulk quote request
IHC staining of FFPE mouse skeletal muscle tissue with PKM2 antibody. HIER: boil tissue sections in pH8 EDTA for 20 min and allow to cool before testing.
IHC staining of FFPE rat skeletal muscle tissue with PKM2 antibody. HIER: boil tissue sections in pH8 EDTA for 20 min and allow to cool before testing.
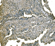
IHC staining of FFPE human colorectal adenocarcinoma tissue with PKM2 antibody. HIER: boil tissue sections in pH8 EDTA for 20 min and allow to cool before testing.
IHC staining of FFPE human tonsil tissue with PKM2 antibody. HIER: boil tissue sections in pH8 EDTA for 20 min and allow to cool before testing.
Immunofluorescent staining of FFPE human A549 cells with PKM2 antibody (green) and DAPI nuclear stain (blue). HIER: steam section in pH6 citrate buffer for 20 min.
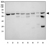
Western blot testing of 1) human MCF7, 2) human MDA-MB-453, 3) human A549, 4) human U-87 MG, 5) rat brain, 6) rat L6, 7) mouse brain and 8) mouse NIH 3T3 cell lysate with PKM2 antibody. Expected molecular weight ~58 kDa.
Availability 1-3 business days
Species Reactivity Human, Mouse, Rat
Format Antigen affinity purified
Host Rabbit
Clonality Polyclonal (rabbit origin)
Isotype Rabbit IgG
Purity Antigen affinity
Buffer Lyophilized from 1X PBS with 2.5% BSA and 0.025% sodium azide
UniProt P14618
Localization Cytoplasmic, nuclear
Applications Western Blot : 0.1-0.5ug/ml
Immunohistochemistry (FFPE) : 2-5ug/ml
Immunofluorescence (FFPE) : 5ug/ml
Limitations This PKM2 antibody is available for research use only.
Review this product on BioCompare and get a $20 Amazon gift card

Related Products

Description

PKM (Pyruvate Kinase, Muscle), also known as PK3 or PKM2, is an enzyme that in humans is encoded by the PKM gene. The activity of pyruvate kinase subtype M2 is increased by fructose 1, 6-bisphosphate (Fru-1, 6-P2). By in situ hybridization, Popescu and Cheng (1990) mapped the THBP1 gene to 15q24-q25. Ashizawa et al. (1991) manipulated the intracellular Fru-1, 6-P2 concentration in several mammalian cell lines, including human, by varying the glucose concentration in the media. Using a novel proteomic screen for phosphotyrosine-binding proteins, Christofk et al. (2008) observed that PKM2 binds directly and selectively to tyrosine-phosphorylated peptides.

Application Notes

Optimal dilution of the PKM2 antibody should be determined by the researcher.

Immunogen

Amino acids KDPVQEAWAEDVDLRVNFAMNVGKAR of human PKM2 were used as the immunogen for the PKM2 antibody.

Storage

After reconstitution, the PKM2 antibody can be stored for up to one month at 4oC. For long-term, aliquot and store at -20oC. Avoid repeated freezing and thawing.

Cross
Bulk Quote Request Form
Name*:
Organization*:
Email*:
Phone Number*:
Catalog No.*:
Comments and Specifics(amount, formulation, etc.)*:
Validation code: Captchapackage Image


Can't read the image? click here to refresh.
    *required field

Your bulk quote request has been submitted successfully!

Please contact us if you have any questions.