• Tel: 858.663.9055
  • SeparatorEmail: info@nsjbio.com
  • Tel: 858.663.9055
  • Email: info@nsjbio.com
Home >> Antibodies >> PKDCC Antibody / SGK493 / Protein kinase domain-containing protein, cytoplasmic

PKDCC Antibody / SGK493 / Protein kinase domain-containing protein, cytoplasmic (RQ8803)

  Catalog No Formulation Size Price (USD)  
Image RQ8803 0.5mg/ml if reconstituted with 0.2ml sterile DI water 100 ug 449
Bulk quote request
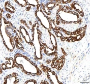
IHC staining of FFPE human mucinous adenoma of the ovary tissue with PKDCC antibody. HIER: boil tissue sections in pH8 EDTA for 20 min and allow to cool before testing.
IHC staining of FFPE human liver cancer tissue with PKDCC antibody. HIER: boil tissue sections in pH8 EDTA for 20 min and allow to cool before testing.
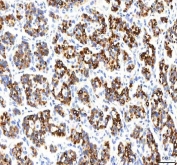
IHC staining of FFPE human thyroid papillary carcinoma tissue with PKDCC antibody. HIER: boil tissue sections in pH8 EDTA for 20 min and allow to cool before testing.
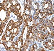
IHC staining of FFPE human colon adenocarcinoma tissue with PKDCC antibody. HIER: boil tissue sections in pH8 EDTA for 20 min and allow to cool before testing.
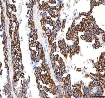
IHC staining of FFPE human lung cancer tissue with PKDCC antibody. HIER: boil tissue sections in pH8 EDTA for 20 min and allow to cool before testing.
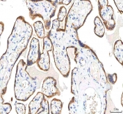
IHC staining of FFPE human placental tissue with PKDCC antibody. HIER: boil tissue sections in pH8 EDTA for 20 min and allow to cool before testing.
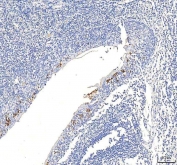
IHC staining of FFPE human tonsil tissue with PKDCC antibody. HIER: boil tissue sections in pH8 EDTA for 20 min and allow to cool before testing.
Immunofluorescent staining of FFPE human intestinal cancer tissue with PKDCC antibody (red) and DAPI nuclear stain (blue). HIER: steam section in pH8 EDTA buffer for 20 min.
Immunofluorescent staining of FFPE human U-2 OS cells with PKDCC antibody (red) and DAPI nuclear stain (blue). HIER: steam section in pH6 citrate buffer for 20 min.
Western blot testing of human 1) Caco-2, 2) HepG2, 3) HeLa and 4) A549 cell lysate with PKDCC antibody. Predicted molecular weight ~54 kDa.
Flow cytometry testing of fixed and permeabilized human HepG2 cells with PKDCC antibody at 1ug/million cells (blocked with goat sera); Red=cells alone, Green=isotype control, Blue= PKDCC antibody.
Availability 1-3 days
Species Reactivity Human
Format Antigen affinity purified
Host Rabbit
Clonality Polyclonal (rabbit origin)
Isotype Rabbit IgG
Purity Antigen affinity chromatography
Buffer Lyophilized from 1X PBS with 2% Trehalose
UniProt Q504Y2
Localization Cytoplasm, Secreted
Applications Western Blot : 1-2ug/ml
Immunohistochemistry (FFPE) : 2-5ug/ml
Immunofluorescence : 5ug/ml
Flow Cytometry : 1-3ug/million cells
ELISA : 0.1-0.5ug/ml
Limitations This PKDCC antibody is available for research use only.
Review this product on BioCompare and get a $20 Amazon gift card

Description

Secreted tyrosine-protein kinase that mediates phosphorylation of extracellular proteins and endogenous proteins in the secretory pathway, which is essential for patterning at organogenesis stages. Mediates phosphorylation of MMP1, MMP13, MMP14, MMP19 and ERP29. [UniProt]

Application Notes

Optimal dilution of the PKDCC antibody should be determined by the researcher.

Immunogen

An E.coli-derived human recombinant protein (amino acids R129-K490) was used as the immunogen for the PKDCC antibody.

Storage

After reconstitution, the PKDCC antibody can be stored for up to one month at 4oC. For long-term, aliquot and store at -20oC. Avoid repeated freezing and thawing.

Cross
Bulk Quote Request Form
Name*:
Organization*:
Email*:
Phone Number*:
Catalog No.*:
Comments and Specifics(amount, formulation, etc.)*:
Validation code: Captchapackage Image


Can't read the image? click here to refresh.
    *required field

Your bulk quote request has been submitted successfully!

Please contact us if you have any questions.