• Tel: 858.663.9055
  • SeparatorEmail: info@nsjbio.com
  • Tel: 858.663.9055
  • Email: info@nsjbio.com
Home >> Antibodies >> PKC nu Antibody

PKC nu Antibody (F50036)

  Catalog No Formulation Size Price (USD)  
Image F50036-0.4ML In 1X PBS, pH 7.4, with 0.09% sodium azide 0.4 ml 439
Image
F50036-0.08ML In 1X PBS, pH 7.4, with 0.09% sodium azide 0.08 ml 205
Bulk quote request
Western blot analysis of PKC nu antibody and NCI-H460 cell lysate
A. Western blot analysis of GFP fusion protein expression in Panc-1 cells by using an anti-GFP antibody. Lanes 1 and 5: non-transfected cells; lanes 2 and 6: PKD-transfected cells; lanes 3 and 7: PKD2-transfected cells; lanes 4 and 8: PKC nu transfected cells. B. Western blot analysis of GFP fusion protein expression in Panc-1 cells by using PKC nu antibodies. C. Indirect immunofluorescence analysis of PKC nu fusion protein expression in Panc-1 cells. Data courtesy of Dr. Osvaldo Rey, University of California Los Angeles.
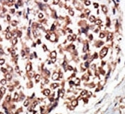
IHC analysis of FFPE human hepatocarcinoma tissue stained with the PKC nu antibody
Availability 1-3 business days
Species Reactivity Human
Predicted Reactivity Mouse
Format Purified
Host Rabbit
Clonality Polyclonal (rabbit origin)
Isotype Rabbit Ig
Purity Purified
UniProt O94806
Applications Western Blot : 1:1000
IHC (Paraffin) : 1:50-1:100
Limitations This PKC nu antibody is available for research use only.
Review this product on BioCompare and get a $20 Amazon gift card

Related Products

Description

Protein kinase C (PKC) is a family of serine- and threonine-specific protein kinases that can be activated by calcium and second messenger diacylglycerol. PKC family members phosphorylate a wide variety of protein targets and are known to be involved in diverse cellular signaling pathways. PKC also serve as major receptors for phorbol esters, a class of tumor promoters. Each member of the PKC family has a specific expression profile and is believed to play distinct roles in cells. PKC nu is one of the PKC family members. This kinase can be activated rapidly by the agonists of G protein-coupled receptors. It resides in both cytoplasm and nucleus, and its nuclear accumulation is found to be dramatically enhanced in response to its activation. This kinase can also be activated after B-cell antigen receptor (BCR) engagement, which requires intact phopholipase C gamma and the involvement of other PKC family members.

Application Notes

Titration of the PKC nu antibody may be required due to differences in protocols and secondary/substrate sensitivity.

Immunogen

A portion of amino acids 860-890 from the human protein was used as the immunogen for this PKC nu antibody.

Storage

Aliquot the PKC nu antibody and store frozen at -20oC or colder. Avoid repeated freeze-thaw cycles.

Cross
Bulk Quote Request Form
Name*:
Organization*:
Email*:
Phone Number*:
Catalog No.*:
Comments and Specifics(amount, formulation, etc.)*:
Validation code: Captchapackage Image


Can't read the image? click here to refresh.
    *required field

Your bulk quote request has been submitted successfully!

Please contact us if you have any questions.