• Tel: 858.663.9055
  • SeparatorEmail: info@nsjbio.com
  • Tel: 858.663.9055
  • Email: info@nsjbio.com
Home >> Antibodies >> PKC delta Antibody / PRKCD

PKC delta Antibody / PRKCD (R30160)

  Catalog No Formulation Size Price (USD)  
Image R30160 0.5mg/ml if reconstituted with 0.2ml sterile DI water 100 ug 449
Bulk quote request
Western blot analysis using PKC delta antibody. Lane 1: rat brain tissue lysates; Lane 2: rat lung tissue lysates; Lane 3: mouse brain tissue lysates; Lane 4: mouse lung tissue lysates. The predicted molecular weight of Protein kinase C delta is ~78 kDa. A doublet is observed at the expected size, consistent with distinct phosphorylation states of PKC delta.
Western blot analysis using PKC delta antibody. Lane 1: human RT-4 cell lysates; Lane 2: human MCF7 cell lysates; Lane 3: human Caco-2 cell lysates; Lane 4: mouse small intestine tissue lysates; Lane 5: mouse ovary tissue lysates. The predicted molecular weight of Protein kinase C delta is ~78 kDa.
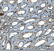
Immunohistochemical staining of FFPE human tonsil tissue with PKC delta antibody, HRP-secondary and DAB substrate. HIER: boil tissue sections in pH8 EDTA for 20 min and allow to cool before testing.
Immunohistochemical staining of FFPE human prostate cancer tissue with PKC delta antibody, HRP-secondary and DAB substrate. HIER: boil tissue sections in pH8 EDTA for 20 min and allow to cool before testing.
Availability 1-3 business days
Species Reactivity Human, Mouse, Rat
Format Antigen affinity purified
Host Rabbit
Clonality Polyclonal (rabbit origin)
Isotype Rabbit IgG
Purity Antigen affinity
Buffer Lyophilized from 1X PBS with 2% Trehalose
UniProt Q05655
Localization Cytoplasm, nucleus, cell membrane
Applications Western Blot : 0.5-1ug/ml
Immunohistochemistry (FFPE) : 2-5ug/ml
Limitations This PKC delta antibody is available for research use only.
Review this product on BioCompare and get a $20 Amazon gift card

Related Products

Description

PKC delta antibody targets Protein kinase C delta, encoded by the PRKCD gene. Protein kinase C delta is a member of the novel PKC subfamily of serine-threonine kinases that are activated by diacylglycerol but function independently of calcium. PKC delta acts as an important intracellular signaling mediator that links extracellular cues to downstream pathways regulating cell growth, differentiation, apoptosis, and stress responses. Under basal conditions, PKC delta is primarily localized in the cytoplasm, but upon activation it translocates to cellular membranes and other subcellular compartments to phosphorylate target substrates.

Functionally, Protein kinase C delta plays a context-dependent role in signal transduction, often acting as a regulator of cell cycle progression and programmed cell death. PKC delta is involved in signaling downstream of growth factor receptors, cytokine receptors, and immune receptors, where it modulates pathways controlling proliferation and survival. In many cellular systems, PKC delta has been associated with pro-apoptotic signaling, particularly in response to DNA damage and oxidative stress, distinguishing it from other PKC isoforms with more pro-survival roles. A PKC delta antibody supports studies focused on kinase signaling and cellular stress response mechanisms.

PRKCD is widely expressed across tissues, with notable expression in hematopoietic cells, epithelial tissues, and the nervous system. In immune cells, PKC delta plays a critical role in regulating B cell activation, tolerance, and signaling thresholds. In epithelial and endothelial cells, PKC delta contributes to regulation of barrier function, migration, and inflammatory responses. Its activity and localization are dynamically regulated by phosphorylation and proteolytic processing, allowing cells to fine-tune signaling outputs in response to changing conditions.

From a disease-relevance perspective, dysregulation of PKC delta signaling has been implicated in cancer, autoimmune disease, and metabolic disorders. Altered PRKCD activity has been reported in hematologic malignancies and solid tumors, where it can influence tumor cell survival, apoptosis, and response to therapy. In the immune system, loss or aberrant regulation of PKC delta has been associated with impaired immune tolerance and autoimmune phenotypes. These findings have made PKC delta an important target in studies of disease-associated signaling imbalance.

At the molecular level, Protein kinase C delta contains conserved regulatory domains that mediate diacylglycerol binding and membrane association, along with a C-terminal kinase domain responsible for catalytic activity. Post-translational modifications and regulated cleavage can influence PKC delta activation state and electrophoretic behavior on SDS-PAGE without indicating changes in primary protein structure. A PKC delta antibody supports research applications focused on intracellular signaling pathways, immune cell biology, and disease-related kinase regulation, with NSJ Bioreagents providing reagents intended for research use.

Application Notes

The stated application concentrations are suggested starting amounts. Titration of the PKC delta antibody may be required due to differences in protocols and secondary/substrate sensitivity.

Immunogen

Human partial recombinant protein (AA 1-160) was used as the immunogen for this PKC delta antibody.

Storage

After reconstitution, the PKC delta antibody can be stored for up to one month at 4oC. For long-term, aliquot and store at -20oC. Avoid repeated freezing and thawing.

Cross
Bulk Quote Request Form
Name*:
Organization*:
Email*:
Phone Number*:
Catalog No.*:
Comments and Specifics(amount, formulation, etc.)*:
Validation code: Captchapackage Image


Can't read the image? click here to refresh.
    *required field

Your bulk quote request has been submitted successfully!

Please contact us if you have any questions.