• Tel: 858.663.9055
  • SeparatorEmail: info@nsjbio.com
  • Tel: 858.663.9055
  • Email: info@nsjbio.com
Home >> Antibodies >> PKC alpha Antibody / PRKCA

PKC alpha Antibody / PRKCA (F54980)

  Catalog No Formulation Size Price (USD)  
Image F54980-0.4ML In 1X PBS, pH 7.4, with 0.09% sodium azide 0.4 ml 439
Image
F54980-0.08ML In 1X PBS, pH 7.4, with 0.09% sodium azide 0.08 ml 205
Bulk quote request
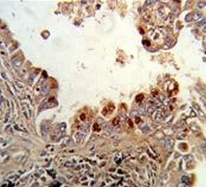
IHC testing of FFPE human lung carcinoma tissue with PKC alpha antibody. HIER: steam section in pH6 citrate buffer for 20 min and allow to cool prior to staining.
Immunofluorescent staining of human HeLa cells with PKC alpha antibody (green), DAPI nuclear stain (blue) and anti-Actin (red).
Western blot testing of mouse NIH 3T3 cell lysate with PKC alpha antibody. Predicted molecular weight ~77 kDa.
Flow cytometry testing of human CEM cells with PKC alpha antibody; Blue=isotype control, Green= PKC alpha antibody.
Availability 1-3 business days
Species Reactivity Human, Mouse
Format Purified
Host Rabbit
Clonality Polyclonal (rabbit origin)
Isotype Rabbit Ig
Purity Purified
UniProt P17252
Localization Cytoplasmic, nuclear
Applications Immunofluorescence : 1:25
Flow Cytometry : 1:25 (1x10e6 cells)
Immunohistochemistry (FFPE) : 1:25
Western Blot : 1:500-1:2000
Limitations This PKC alpha antibody is available for research use only.
Review this product on BioCompare and get a $20 Amazon gift card

Related Products

Description

PRKCA is a calcium-activated, phospholipid-dependent, serine-and threonine-specific enzyme. It may play a role in cell motility by phosphorylating CSPG4. PKC is activated by diacylglycerol which in turn phosphorylates a range of cellular proteins. PKC also serves as the receptor for phorbol esters, a class of tumor promoters.

Application Notes

The stated application concentrations are suggested starting points. Titration of the PKC alpha antibody may be required due to differences in protocols and secondary/substrate sensitivity.

Immunogen

A portion of amino acids 75-103 from the human protein was used as the immunogen for the PKC alpha antibody.

Storage

Aliquot the PKC alpha antibody and store frozen at -20oC or colder. Avoid repeated freeze-thaw cycles.

Cross
Bulk Quote Request Form
Name*:
Organization*:
Email*:
Phone Number*:
Catalog No.*:
Comments and Specifics(amount, formulation, etc.)*:
Validation code: Captchapackage Image


Can't read the image? click here to refresh.
    *required field

Your bulk quote request has been submitted successfully!

Please contact us if you have any questions.