• Tel: 858.663.9055
  • SeparatorEmail: info@nsjbio.com
  • Tel: 858.663.9055
  • Email: info@nsjbio.com
Home >> Antibodies >> PIWIL3 Antibody / Piwi like protein 3

PIWIL3 Antibody / Piwi like protein 3 (FY12079)

  Catalog No Formulation Size Price (USD)  
Image FY12079 Adding 0.2 ml of distilled water will yield a concentration of 500 ug/ml 100 ug 449
Bulk quote request
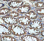
IHC analysis of PIWIL3 using anti-PIWIL3 antibody. PIWIL3 was detected in a paraffin-embedded section of human colon cancer tissue. Heat mediated antigen retrieval was performed in EDTA buffer (pH 8.0, epitope retrieval solution). The tissue section was blocked with 10% goat serum. The tissue section was then incubated with 2 ug/ml rabbit anti-PIWIL3 antibody overnight at 4oC. Peroxidase Conjugated Goat Anti-rabbit IgG was used as secondary antibody and incubated for 30 minutes at 37oC. The tissue section was developed using an HRP secondary and DAB substrate.
Western blot analysis of PIWIL3 using anti-PIWIL3 antibody. Electrophoresis was performed on a 8% SDS-PAGE gel at 80V (Stacking gel) / 120V (Resolving gel) for 2 hours. Lane 1: human Jurkat whole cell lysates, Lane 2: human HEL whole cell lysates. After electrophoresis, proteins were transferred to a nitrocellulose membrane at 150 mA for 50-90 minutes. Blocked the membrane with 5% non-fat milk/TBS for 1.5 hour at RT. The membrane was incubated with rabbit anti-PIWIL3 antibody at 0.5 ug/ml overnight at 4oC, then washed with TBS-0.1%Tween 3 times with 5 minutes each and probed with a goat anti-rabbit IgG-HRP secondary antibody at a dilution of 1:5000 for 1.5 hour at RT. The signal was developed using an ECL Plus Western Blotting Substrate. A specific band was detected for PIWIL3 at approximately 101 kDa. The expected band size for PIWIL3 is at 101 kDa.
IHC analysis of PIWIL3 using anti-PIWIL3 antibody. PIWIL3 was detected in a paraffin-embedded section of human colon tissue. Heat mediated antigen retrieval was performed in EDTA buffer (pH 8.0, epitope retrieval solution). The tissue section was blocked with 10% goat serum. The tissue section was then incubated with 2 ug/ml rabbit anti-PIWIL3 antibody overnight at 4oC. Peroxidase Conjugated Goat Anti-rabbit IgG was used as secondary antibody and incubated for 30 minutes at 37oC. The tissue section was developed using an HRP secondary and DAB substrate.
Availability 1-2 days
Species Reactivity Human
Format Lyophilized
Host Rabbit
Clonality Polyclonal (rabbit origin)
Isotype Rabbit IgG
Purity Immunogen affinity purified
Buffer Each vial contains 4 mg Trehalose, 0.9 mg NaCl, 0.2 mg Na2HPO4.
UniProt Q7Z3Z3
Applications Western Blot : 0.25-0.5ug/ml
Immunohistochemistry : 2-5ug/ml
ELISA : 0.1-0.5ug/ml
Limitations This PIWIL3 antibody is available for research use only.
Review this product on BioCompare and get a $20 Amazon gift card

Description

PIWIL3 antibody detects Piwi like protein 3, encoded by the PIWIL3 gene. Piwi like protein 3 belongs to the Argonaute family of proteins and plays a critical role in germline development, small RNA regulation, and maintenance of genomic integrity. PIWIL3 antibody provides researchers with a specialized reagent for studying piRNA pathways, transposon silencing, and fertility biology.

Piwi like protein 3 is predominantly expressed in oocytes and early embryos, where it participates in RNA silencing through interaction with piRNAs. Research using PIWIL3 antibody has shown that it forms ribonucleoprotein complexes that suppress transposable elements, protecting genome stability during germline development. Its activity helps ensure faithful transmission of genetic material to the next generation.

Studies with PIWIL3 antibody have revealed that this protein contributes to oocyte maturation and embryonic development. It works in conjunction with other PIWI family proteins to organize RNA regulatory pathways essential for fertility. Loss of PIWIL3 activity disrupts piRNA pathways, leading to increased transposon mobilization, DNA damage, and impaired germline development.

Dysregulation of Piwi like protein 3 has been associated with infertility and reproductive failure. Research using PIWIL3 antibody has shown that reduced expression contributes to compromised oocyte quality and embryonic arrest, while altered expression patterns may also play roles in ovarian cancer. These findings highlight its importance in both developmental and disease contexts.

PIWIL3 antibody is widely used in immunohistochemistry, western blotting, and immunofluorescence. Immunohistochemistry identifies localization in ovarian tissue, western blotting quantifies expression during germ cell development, and immunofluorescence highlights piRNA granule distribution in oocytes. These applications make PIWIL3 antibody indispensable for reproductive biology research.

By supplying validated PIWIL3 antibody reagents, NSJ Bioreagents supports studies into small RNA pathways, transposon control, and germline development. Detection of Piwi like protein 3 provides researchers with insight into how piRNA machinery regulates genome stability and reproductive success.

Application Notes

Optimal dilution of the PIWIL3 antibody should be determined by the researcher.

Immunogen

E.coli-derived human PIWIL3 recombinant protein (Position: Q91-K747) was used as the immunogen for the PIWIL3 antibody.

Storage

After reconstitution, the PIWIL3 antibody can be stored for up to one month at 4oC. For long-term, aliquot and store at -20oC. Avoid repeated freezing and thawing.

Cross
Bulk Quote Request Form
Name*:
Organization*:
Email*:
Phone Number*:
Catalog No.*:
Comments and Specifics(amount, formulation, etc.)*:
Validation code: Captchapackage Image


Can't read the image? click here to refresh.
    *required field

Your bulk quote request has been submitted successfully!

Please contact us if you have any questions.