• Tel: 858.663.9055
  • SeparatorEmail: info@nsjbio.com
  • Tel: 858.663.9055
  • Email: info@nsjbio.com
Home >> Antibodies >> PITX1 Antibody

PITX1 Antibody (F50319)

  Catalog No Formulation Size Price (USD)  
Image F50319-0.4ML In 1X PBS, pH 7.4, with 0.09% sodium azide 0.4 ml 429
Image
F50319-0.08ML In 1X PBS, pH 7.4, with 0.09% sodium azide 0.08 ml 199
Bulk quote request
Western blot analysis of PITX1 antibody and 293 cell lysate either nontransfected (Lane 1) or transiently transfected (2) with the PITX1 gene. Predicted molecular weight ~34 kDa.
Western blot analysis of PITX1 antibody and 293 cell lysate either nontransfected (Lane 1) or transiently transfected (2) with the PITX1 gene. Predicted molecular weight ~34 kDa.
Western blot analysis of PITX1 antibody and NCI-H460 lysate. Predicted molecular weight ~34 kDa.
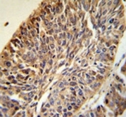
PITX1 antibody IHC analysis in formalin fixed and paraffin embedded human lung carcinoma.
PITX1 antibody flow cytometric analysis of NCI-H460 cells (green) compared to a negative control (blue). FITC-conjugated goat-anti-rabbit secondary Ab was used for the analysis.
Availability 1-3 business days
Species Reactivity Human
Predicted Reactivity Mouse, Rat, Chicken, Zebrafish, Xenopus, Drosophila, C. elegans
Format Purified
Clonality Polyclonal (rabbit origin)
Isotype Rabbit Ig
Purity Purified
UniProt P78337
Applications Western Blot : 1:1000
IHC (Paraffin) : 1:50-1:100
Flow Cytometry : 1:10-1:50
Limitations This PITX1 antibody is available for research use only.
Review this product on BioCompare and get a $20 Amazon gift card

Description

PITX1 is a member of the RIEG/PITX homeobox family, which is in the bicoid class of homeodomain proteins. Members of this family are involved in organ development and left-right asymmetry. This protein acts as a transcriptional regulator involved in basal and hormone-regulated activity of prolactin.

Application Notes

Titration of the PITX1 antibody may be required due to differences in protocols and secondary/substrate sensitivity.

Immunogen

A portion of amino acids 123-150 from the human protein was used as the immunogen for this PITX1 antibody.

Storage

Aliquot the PITX1 antibody and store frozen at -20oC or colder. Avoid repeated freeze-thaw cycles.

Cross
Bulk Quote Request Form
Name*:
Organization*:
Email*:
Phone Number*:
Catalog No.*:
Comments and Specifics(amount, formulation, etc.)*:
Validation code: Captchapackage Image


Can't read the image? click here to refresh.
    *required field

Your bulk quote request has been submitted successfully!

Please contact us if you have any questions.