• Tel: 858.663.9055
  • SeparatorEmail: info@nsjbio.com
  • Tel: 858.663.9055
  • Email: info@nsjbio.com
Home >> Antibodies >> Pirin Antibody / PIR

Pirin Antibody / PIR (RQ8800)

  Catalog No Formulation Size Price (USD)  
Image RQ8800 0.5mg/ml if reconstituted with 0.2ml sterile DI water 100 ug 449
Bulk quote request
Immunofluorescent staining of FFPE human U-2 OS cells with Pirin antibody (red) and DAPI nuclear stain (blue). HIER: steam section in pH6 citrate buffer for 20 min.
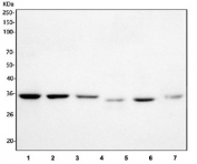
Western blot testing of 1) human HepG2, 2) human HeLa, 3) monkey COS-7, 4) rat heart, 5) rat RH35 and 6) mouse NIH 3T3 cell lysate with Pirin antibody. Predicted molecular weight ~32 kDa.
Flow cytometry testing of fixed and permeabilized human HepG2 cells with Pirin antibody at 1ug/million cells (blocked with goat sera); Red=cells alone, Green=isotype control, Blue= Pirin antibody.
Availability 1-3 days
Species Reactivity Human, Monkey, Mouse, Rat
Format Antigen affinity purified
Host Rabbit
Clonality Polyclonal (rabbit origin)
Isotype Rabbit IgG
Purity Antigen affinity chromatography
Buffer Lyophilized from 1X PBS with 2% Trehalose
UniProt O00625
Localization Cytoplasm, Nucleus
Applications Western Blot : 1-2ug/ml
Immunofluorescence : 5ug/ml
Flow Cytometry : 1-3ug/million cells
ELISA : 0.1-0.5ug/ml
Limitations This Pirin antibody is available for research use only.
Review this product on BioCompare and get a $20 Amazon gift card

Related Products

  • Applications : WB, ELISA (peptide)
    Reactivity : Human
    Pred. Reactivity : Mouse

Description

Pirin is a protein that in humans is encoded by the PIR gene. This gene encodes a member of the cupin superfamily. The encoded protein is an Fe(II)-containing nuclear protein expressed in all tissues of the body and concentrated within dot-like subnuclear structures. Interactions with nuclear factor I/CCAAT box transcription factor as well as B cell lymphoma 3-encoded oncoprotein suggest the encoded protein may act as a transcriptional cofactor and be involved in the regulation of DNA transcription and replication. Alternatively spliced transcript variants have been described.

Application Notes

Optimal dilution of the Pirin antibody should be determined by the researcher.

Immunogen

An E.coli-derived human recombinant protein (amino acids K5-Q266) was used as the immunogen for the Pirin antibody.

Storage

After reconstitution, the Pirin antibody can be stored for up to one month at 4oC. For long-term, aliquot and store at -20oC. Avoid repeated freezing and thawing.

Cross
Bulk Quote Request Form
Name*:
Organization*:
Email*:
Phone Number*:
Catalog No.*:
Comments and Specifics(amount, formulation, etc.)*:
Validation code: Captchapackage Image


Can't read the image? click here to refresh.
    *required field

Your bulk quote request has been submitted successfully!

Please contact us if you have any questions.