• Tel: 858.663.9055
  • SeparatorEmail: info@nsjbio.com
  • Tel: 858.663.9055
  • Email: info@nsjbio.com
Home >> Antibodies >> PIN1 Antibody / Peptidyl-prolyl cis-trans isomerase NIMA-interacting 1

PIN1 Antibody / Peptidyl-prolyl cis-trans isomerase NIMA-interacting 1 (R31729)

  Catalog No Formulation Size Price (USD)  
Image R31729 0.5mg/ml if reconstituted with 0.2ml sterile DI water 100 ug 449
Bulk quote request
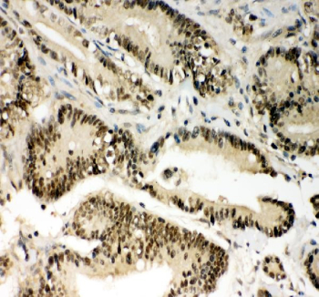
IHC staining of FFPE human colon cancer tissue with PIN1 antibody, HRP-secondary and DAB substrate. HIER: boil tissue sections in pH8 EDTA for 20 min and allow to cool before testing.
Western blot testing of 1) human HeLa, 2) human 293T, 3) human MCF7, 4) monkey COS-7, 5) rat brain, 6) rat liver, 7) mouse brain and 8) mouse liver tissue lysate with PIN1 antibody. Predicted molecular weight ~18 kDa.
Immunofluorescent staining of FFPE human U-87 MG cells with PIN1 antibody (red). HIER: steam section in pH6 citrate buffer for 20 min.
Flow cytometry testing of fixed and permeabilized human Caco-2 cells with PIN1 antibody at 1ug/million cells (blocked with goat sera); Red=cells alone, Green=isotype control, Blue= PIN1 antibody.
Availability 1-3 business days
Species Reactivity Human, Mouse, Rat, Monkey
Format Antigen affinity purified
Host Rabbit
Clonality Polyclonal (rabbit origin)
Isotype Rabbit IgG
Purity Antigen affinity
Buffer Lyophilized from 1X PBS with 2% Trehalose
UniProt Q13526
Gene ID 5300
Localization Nuclear, cytoplasmic
Applications Western Blot : 0.5-1ug/ml
Flow Cytometry : 1-3ug/million cells
Immunohistochemistry (FFEP) : 2-5ug/ml
Immunofluorescence : 5ug/ml
Limitations This PIN1 antibody is available for research use only.
Review this product on BioCompare and get a $20 Amazon gift card

Related Products

Description

PIN1 antibody is widely used in research to study protein regulation through isomerization. The encoded protein, peptidyl-prolyl cis-trans isomerase NIMA-interacting 1, belongs to the parvulin family of peptidyl-prolyl isomerases. This enzyme catalyzes the cis-trans isomerization of proline residues in phosphorylated Ser/Thr-Pro motifs, a post-translational modification that can profoundly influence protein conformation, activity, stability, and interaction networks. By altering these protein structures, PIN1 acts as a key regulator in diverse cellular processes, including cell cycle progression, transcription, and signal transduction.

PIN1 is unique among peptidyl-prolyl isomerases because it specifically recognizes and modifies phosphorylated substrates. This confers an important role in coordinating kinase signaling with downstream protein function. Dysregulation of PIN1 has been implicated in numerous human diseases. In oncology, overexpression of PIN1 has been linked to tumorigenesis, particularly in breast, prostate, and lung cancers, where it stabilizes oncogenic transcription factors and promotes unchecked proliferation. Conversely, reduced activity has been associated with neurodegenerative disorders such as Alzheimer disease, in which PIN1 normally acts to prevent accumulation of pathogenic tau and amyloid precursor protein conformations. These opposing roles highlight PIN1 as both a potential therapeutic target and a valuable biomarker across multiple disease contexts.

Because of its broad regulatory scope, PIN1 has become a subject of intense research interest. Structural studies have elucidated its WW domain, which binds phosphorylated motifs, and its catalytic PPIase domain, which mediates isomerization. Functional assays have demonstrated its capacity to control critical signaling pathways, including those driven by p53, NF-kB, cyclin D1, and beta-catenin. Experimental models further reveal that PIN1 influences cellular fate decisions, senescence, and apoptosis. By modulating phosphorylation-dependent signaling, PIN1 serves as a central hub integrating extracellular stimuli with intracellular responses.

The PIN1 antibody is commonly applied in experimental methods such as western blotting, immunohistochemistry, immunofluorescence, and flow cytometry to detect protein expression levels, localization, and post-translational modifications. Antibodies targeting PIN1 have proven indispensable for characterizing its role in cancer cell lines, neurodegenerative tissue samples, and normal physiological systems. When combined with functional assays or genetic manipulation, antibody-based detection provides critical insight into the mechanistic contributions of this isomerase to health and disease.

For researchers investigating signaling pathways, cell cycle control, or disease mechanisms, the PIN1 antibody offers a reliable tool to assess this pivotal regulator. NSJ Bioreagents provides rigorously validated antibodies that support reproducible and high-quality results for advanced scientific studies.

Application Notes

The stated application concentrations are suggested starting amounts. Titration of the PIN1 antibody may be required due to differences in protocols and secondary/substrate sensitivity.

Immunogen

Human partial recombinant protein (AA 1-163) was used as the immunogen for this PIN1 antibody.

Storage

After reconstitution, the PIN1 antibody can be stored for up to one month at 4oC. For long-term, aliquot and store at -20oC. Avoid repeated freezing and thawing.

Cross
Bulk Quote Request Form
Name*:
Organization*:
Email*:
Phone Number*:
Catalog No.*:
Comments and Specifics(amount, formulation, etc.)*:
Validation code: Captchapackage Image


Can't read the image? click here to refresh.
    *required field

Your bulk quote request has been submitted successfully!

Please contact us if you have any questions.