• Tel: 858.663.9055
  • SeparatorEmail: info@nsjbio.com
  • Tel: 858.663.9055
  • Email: info@nsjbio.com
Home >> Antibodies >> PIMT Antibody / PCMT1

PIMT Antibody / PCMT1 (F53950)

  Catalog No Formulation Size Price (USD)  
Image F53950-0.2ML In 1X PBS, pH 7.4, with 0.09% sodium azide 0.2 ml 439
Image
F53950-0.05ML In 1X PBS, pH 7.4, with 0.09% sodium azide 0.05 ml 205
Bulk quote request
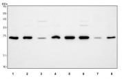
Western blot testing of 1) human HepG2 and 2) rat PC-12 cell lysate with PIMT antibody at 1:2000. Predicted molecular weight: 25 kDa.
Availability 1-3 business days
Species Reactivity Human, Rat
Predicted Reactivity Mouse, Bovine, Pig
Format Antigen affinity purified
Host Rabbit
Clonality Polyclonal (rabbit origin)
Isotype Rabbit Ig
Purity Antigen affinity
UniProt P22061
Applications Western Blot : 1:1000-2000
Limitations This PIMT antibody is available for research use only.
Review this product on BioCompare and get a $20 Amazon gift card

Related Products

  • Applications : WB
    Reactivity : Human
  • Applications : WB, IHC-P, IF, FACS, ELISA
    Reactivity : Human, Mouse, Rat

Description

Catalyzes the methyl esterification of L-isoaspartyl and D-aspartyl residues in peptides and proteins that result from spontaneous decomposition of normal L-aspartyl and L-asparaginyl residues. It plays a role in the repair and/or degradation of damaged proteins. Acts on microtubule-associated protein 2, calreticulin, clathrin light chains a and b, Ubiquitin carboxyl- terminal hydrolase isozyme L1, phosphatidylethanolamine-binding protein 1, stathmin, beta-synuclein and alpha-synuclein (By similarity).

Application Notes

Titration of the PIMT antibody may be required due to differences in protocols and secondary/substrate sensitivity.

Immunogen

A portion of amino acids 18-55 from the human protein was used as the immunogen for the PIMT antibody.

Storage

Aliquot the PIMT antibody and store frozen at -20oC or colder. Avoid repeated freeze-thaw cycles.

Cross
Bulk Quote Request Form
Name*:
Organization*:
Email*:
Phone Number*:
Catalog No.*:
Comments and Specifics(amount, formulation, etc.)*:
Validation code: Captchapackage Image


Can't read the image? click here to refresh.
    *required field

Your bulk quote request has been submitted successfully!

Please contact us if you have any questions.