• Tel: 858.663.9055
  • SeparatorEmail: info@nsjbio.com
  • Tel: 858.663.9055
  • Email: info@nsjbio.com
Home >> Antibodies >> PIM2 Antibody

PIM2 Antibody (F54449)

  Catalog No Formulation Size Price (USD)  
Image F54449-0.4ML In 1X PBS, pH 7.4, with 0.09% sodium azide 0.4 ml 439
Image
F54449-0.08ML In 1X PBS, pH 7.4, with 0.09% sodium azide 0.08 ml 205
Bulk quote request
Western blot testing of human 1) K562 and 2) SW620 cell lysate with PIM2 antibody. Predicted molecular weight ~34 kDa.
Western blot testing of human HeLa cell lysate with PIM2 antibody. Predicted molecular weight ~34 kDa.
Western blot testing of 1) non-transfected and 2) transfected 293 cell lysate with PIM2 antibody.
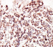
IHC testing of FFPE human cancer tissue with PIM2 antibody. HIER: steam section in pH6 citrate buffer for 20 min and allow to cool prior to staining.
Availability 1-3 business days
Species Reactivity Human
Format Purified
Host Rabbit
Clonality Polyclonal (rabbit origin)
Isotype Rabbit Ig
Purity SAS precipitation
UniProt Q9P1W9
Localization Cytoplasmic
Applications Immunohistochemistry (FFPE) : 1:25
Western Blot : 1:500-1:2000
Limitations This PIM2 antibody is available for research use only.
Review this product on BioCompare and get a $20 Amazon gift card

Related Products

  • Applications : WB (transfected), ELISA (peptide)
    Reactivity : Human
    Pred. Reactivity : Cow, Mouse, Rat
  • Applications : WB (transfected), ELISA (peptide)
    Reactivity : Human
    Pred. Reactivity : Cow, Dog, Mouse
  • Applications : WB (transfected), ELISA (peptide)
    Reactivity : Human

Description

Pim proteins (Pim-1, Pim-2 and Pim-3) are oncogene-encoded serine/threonine kinases. Pim-2 is highly homologous to Pim-1 with similar oncogenic functions. Pim-2 overexpression promotes resistance to a host of apoptotic stimuli; its expression is negatively regulated by growth factor depletion. Increased levels of Pim-2 has also been observed in certain cancers.

Application Notes

The stated application concentrations are suggested starting points. Titration of the PIM2 antibody may be required due to differences in protocols and secondary/substrate sensitivity.

Immunogen

A portion of amino acids 277-308 from the human protein was used as the immunogen for the PIM2 antibody.

Storage

Aliquot the PIM2 antibody and store frozen at -20oC or colder. Avoid repeated freeze-thaw cycles.

Cross
Bulk Quote Request Form
Name*:
Organization*:
Email*:
Phone Number*:
Catalog No.*:
Comments and Specifics(amount, formulation, etc.)*:
Validation code: Captchapackage Image


Can't read the image? click here to refresh.
    *required field

Your bulk quote request has been submitted successfully!

Please contact us if you have any questions.