• Tel: 858.663.9055
  • SeparatorEmail: info@nsjbio.com
  • Tel: 858.663.9055
  • Email: info@nsjbio.com
Home >> Antibodies >> PIM1 Antibody

PIM1 Antibody [clone ECB-16] (RQ5360)

  Catalog No Formulation Size Price (USD)  
Image RQ5360 Antibody in PBS with 0.02% sodium azide, 50% glycerol and 0.4-0.5mg/ml BSA 100 ul 449
Microvalidated Rab Mono Image
Bulk quote request
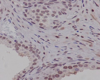
IHC staining of FFPE human prostate carcinoma with PIM1 antibody. HIER: boil tissue sections in pH6, 10mM citrate buffer, for 10-20 min followed by cooling at RT for 20 min.
Western blot testing of human Jurkat cell lysate with PIM1 antibody. Predicted molecular weight ~44 kDa (PIM-1L) and ~34 kDa (PIM-1S).
Availability 1-2 weeks
Species Reactivity Human, Mouse
Format Purified
Host Rabbit
Clonality Rabbit Monoclonal
Isotype Rabbit IgG
Clone Name ECB-16
Purity Affinity purified
UniProt P11309
Localization Nuclear, cytoplasmic, cell membrane
Applications Western Blot : 1:5000-1:10000
Immunohistochemistry (FFPE) : 1:50-1:200
Limitations This PIM1 antibody is available for research use only.
Review this product on BioCompare and get a $20 Amazon gift card

Related Products

  • Applications : WB
    Reactivity : Human

Description

The protein encoded by the PIM1 gene belongs to the Ser/Thr protein kinase family, and PIM subfamily. This gene is expressed primarily in B-lymphoid and myeloid cell lines, and is overexpressed in hematopoietic malignancies and in prostate cancer. It plays a role in signal transduction in blood cells, contributing to both cell proliferation and survival, and thus provides a selective advantage in tumorigenesis. Both the human and orthologous mouse genes have been reported to encode two isoforms (with preferential cellular localization) resulting from the use of alternative in-frame translation initiation codons, the upstream non-AUG (CUG) and downstream AUG codons. [RefSeq]

Application Notes

Optimal dilution of the PIM1 antibody should be determined by the researcher.

Immunogen

A synthetic peptide specific to human PIM1 was used as the immunogen for the PIM1 antibody.

Storage

Store the PIM1 antibody at -20oC.

Cross
Bulk Quote Request Form
Name*:
Organization*:
Email*:
Phone Number*:
Catalog No.*:
Comments and Specifics(amount, formulation, etc.)*:
Validation code: Captchapackage Image


Can't read the image? click here to refresh.
    *required field

Your bulk quote request has been submitted successfully!

Please contact us if you have any questions.