- Tel: 858.663.9055
- 
									 Email: info@nsjbio.com Email: info@nsjbio.com
- Tel: 858.663.9055
- Email: info@nsjbio.com
 Email: info@nsjbio.com
Email: info@nsjbio.com
								Related Products
| 
 | 
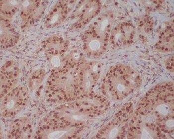
Phosphatidylinositol 3-kinase (PI3K) is a lipid kinase that phosphorylates phosphatidylinositol and similar compounds, creating second messengers important in growth signaling pathways. PI3K functions as a heterodimer of a regulatory and a catalytic subunit. [RefSeq]
Optimal dilution of the PIK3R2 antibody should be determined by the researcher.
A synthetic peptide specific to human PI 3 Kinase p85 beta was used as the immunogen for the PIK3R2 antibody.
Store the PIK3R2 antibody at -20oC.
 
Your bulk quote request has been submitted successfully!
Please contact us if you have any questions.