• Tel: 858.663.9055
  • SeparatorEmail: info@nsjbio.com
  • Tel: 858.663.9055
  • Email: info@nsjbio.com
Home >> Antibodies >> PIK3CB Antibody / PI3 Kinase p110 beta

PIK3CB Antibody / PI3 Kinase p110 beta [clone 30P53] (FY12367)

  Catalog No Formulation Size Price (USD)  
Image FY12367 Rabbit IgG in phosphate buffered saline, pH 7.4, 150mM NaCl, 0.02% sodium azide and 50% glycerol, 0.4-0.5mg/ml BSA 100 ul 449
Microvalidated Recrabbitmono
Bulk quote request
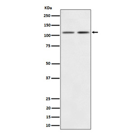
Western blot analysis of Kinase beta expression in (1) human 293 cell lysate; (2) mouse Brain lysate using PIK3CB antibody. Predicted molecular weight ~110 kDa.
All lanes use the PIK3CB antibody at 1:3K dilution for 1 hour at room temperature. Predicted molecular weight ~110 kDa.
All lanes use the PIK3CB antibody at 1:3K dilution for 1 hour at room temperature. Predicted molecular weight ~110 kDa.
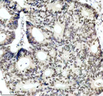
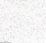
Immunohistochemical staining of PIK3CB using anti- PIK3CB antibody. PIK3CB was detected in a paraffin-embedded section of human colon tissue. Heat mediated antigen retrieval was performed in EDTA buffer (pH 8.0, epitope retrieval solution). The tissue section was blocked with 10% goat serum. The tissue section was then incubated with 1: 50 rabbit anti- PIK3CB antibody overnight at 4oC. Peroxidase Conjugated Goat Anti-rabbit IgG was used as secondary antibody and incubated for 30 minutes at 37oC. The tissue section was developed using an HRP secondary and DAB substrate.
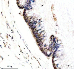
Immunohistochemical staining of PIK3CB using anti- PIK3CB antibody. PIK3CB was detected in a paraffin-embedded section of mouse brain tissue. Heat mediated antigen retrieval was performed in EDTA buffer (pH 8.0, epitope retrieval solution). The tissue section was blocked with 10% goat serum. The tissue section was then incubated with 1: 50 rabbit anti- PIK3CB antibody overnight at 4oC. Peroxidase Conjugated Goat Anti-rabbit IgG was used as secondary antibody and incubated for 30 minutes at 37oC. The tissue section was developed using an HRP secondary and DAB substrate.
Immunohistochemical staining of PIK3CB using anti- PIK3CB antibody. PIK3CB was detected in a paraffin-embedded section of rat brain tissue. Heat mediated antigen retrieval was performed in EDTA buffer (pH 8.0, epitope retrieval solution). The tissue section was blocked with 10% goat serum. The tissue section was then incubated with 1: 50 rabbit anti- PIK3CB antibody overnight at 4oC. Peroxidase Conjugated Goat Anti-rabbit IgG was used as secondary antibody and incubated for 30 minutes at 37oC. The tissue section was developed using an HRP secondary and DAB substrate.
Immunohistochemical staining of PIK3CB using anti- PIK3CB antibody. PIK3CB was detected in a paraffin-embedded section of human colon cancer tissue. Heat mediated antigen retrieval was performed in EDTA buffer (pH 8.0, epitope retrieval solution). The tissue section was blocked with 10% goat serum. The tissue section was then incubated with 1: 50 rabbit anti- PIK3CB antibody overnight at 4oC. Peroxidase Conjugated Goat Anti-rabbit IgG was used as secondary antibody and incubated for 30 minutes at 37oC. The tissue section was developed using an HRP secondary and DAB substrate.
Availability 2-3 weeks
Species Reactivity Human, Mouse, Rat
Format Liquid
Host Rabbit
Clonality Recombinant Rabbit Monoclonal
Isotype Rabbit IgG
Clone Name 30P53
Purity Affinity-chromatography
Buffer Rabbit IgG in phosphate buffered saline, pH 7.4, 150mM NaCl, 0.02% sodium azide and 50% glycerol, 0.4-0.5mg/ml BSA.
UniProt P42338
Localization Nuclear, cytoplasmic
Applications Western Blot : 1:500-1:2000
Immunohistochemistry : 1:50-1:200
Immunocytochemistry/Immunofluorescence : 1:50-1:200
Limitations This PIK3CB antibody is available for research use only.
Review this product on BioCompare and get a $20 Amazon gift card

Related Products

Description

PIK3CB antibody detects phosphatidylinositol 4,5 bisphosphate 3 kinase catalytic subunit beta, also known as PI3 kinase p110 beta. This protein is one of the catalytic isoforms of class I PI3 kinases, which phosphorylate phosphatidylinositol 4,5 bisphosphate to generate phosphatidylinositol 3,4,5 trisphosphate. This lipid second messenger recruits signaling proteins with pleckstrin homology domains to the plasma membrane, initiating downstream signaling cascades that regulate cell growth, proliferation, survival, and metabolism.

PIK3CB antibody is widely used in cancer biology, immunology, and metabolic research. PI3 kinase p110 beta is activated downstream of receptor tyrosine kinases, G protein coupled receptors, and integrins, playing a unique role in signaling integration. Dysregulation of PI3 kinase activity contributes to oncogenesis, insulin resistance, and immune dysfunction. By detecting the beta catalytic subunit, researchers can investigate isoform specific functions that differ from those of PI3 kinase alpha, delta, or gamma.

The antibody is suitable for western blotting, immunohistochemistry, immunofluorescence, and flow cytometry. In western blot assays, PIK3CB antibody identifies the protein with high specificity, enabling quantitative comparisons across cell types and conditions. Immunohistochemistry localizes expression patterns in tissues, with high levels often detected in tumors. Immunofluorescence studies reveal subcellular localization at the plasma membrane and cytosol, consistent with its role in lipid signaling.

PI3 kinase p110 beta has drawn particular attention in oncology. It is frequently upregulated in prostate and breast cancers, and mutations or amplification of PIK3CB drive abnormal cell survival signaling. Targeted inhibition of p110 beta is under active investigation as a therapeutic approach, particularly for tumors resistant to inhibitors of other PI3 kinase isoforms. Monitoring expression with PIK3CB antibody helps define the contribution of this isoform to tumor biology and drug sensitivity.

Beyond oncology, PIK3CB antibody is relevant to immunology. PI3 kinase beta regulates platelet activation, neutrophil migration, and T cell signaling. Altered activity contributes to inflammation and autoimmunity, making it an important target for therapeutic modulation. In metabolism research, it plays a role in insulin signaling and glucose homeostasis, with implications for diabetes and metabolic syndrome.

PIK3CB antibody offered by NSJ Bioreagents provides a reliable reagent for investigating signaling pathways mediated by PI3 kinase beta. Its specificity ensures accurate detection across experimental methods, supporting studies in cancer, immunity, and metabolism.

Application Notes

Optimal dilution of the PIK3CB antibody should be determined by the researcher.

Immunogen

A synthesized peptide derived from human PI3 Kinase p110 beta was used as the immunogen for the PIK3CB antibody.

Storage

Store the PIK3CB antibody at -20oC.

Cross
Bulk Quote Request Form
Name*:
Organization*:
Email*:
Phone Number*:
Catalog No.*:
Comments and Specifics(amount, formulation, etc.)*:
Validation code: Captchapackage Image


Can't read the image? click here to refresh.
    *required field

Your bulk quote request has been submitted successfully!

Please contact us if you have any questions.