• Tel: 858.663.9055
  • SeparatorEmail: info@nsjbio.com
  • Tel: 858.663.9055
  • Email: info@nsjbio.com
Home >> Antibodies >> PIK3C2A Antibody

PIK3C2A Antibody (R36313)

  Catalog No Formulation Size Price (USD)  
Image R36313-100UG 0.5 mg/ml in 1X TBS, pH7.3, with 0.5% BSA (US sourced) and 0.02% sodium azide 100 ug 475
Bulk quote request
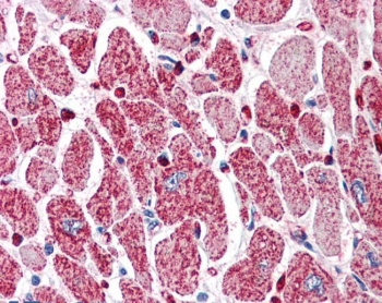
IHC testing of FFPE human heart with PIK3C2A antibody at 5ug/ml. HIER: steamed with pH6 citrate buffer, AP-staining
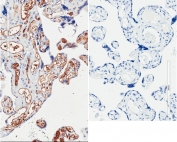
IHC staining of FFPE human placenta tissue with (left) and without (right) PIK3C2A antibody at 2ug/ml. Required HIER: steamed antigen retrieval with pH6 citrate buffer; HRP-staining.
Availability 1-3 business days
Species Reactivity Human
Predicted Reactivity Mouse, Dog
Format Antigen affinity purified
Host Goat
Clonality Polyclonal (goat origin)
Isotype Goat Ig
Purity Antigen affinity
Gene ID 5286
Localization Cytoplasmic, nuclear
Applications Immunohistochemistry (FFPE) : 5-10ug/ml
ELISA (peptide) LOD : 1:32000
Limitations This PIK3C2A antibody is available for research use only.
Review this product on BioCompare and get a $20 Amazon gift card

Related Products

Description

Additional name(s) for this target protein: Phosphoinositide-3-kinase, class 2, alpha

Application Notes

Optimal dilution of the PIK3C2A antibody should be determined by the researcher.

Immunogen

Amino acids TVKWYQLTAATYL were used as the immunogen for this PIK3C2A antibody.

Storage

Aliquot and store the PIK3C2A antibody at -20oC.

Cross
Bulk Quote Request Form
Name*:
Organization*:
Email*:
Phone Number*:
Catalog No.*:
Comments and Specifics(amount, formulation, etc.)*:
Validation code: Captchapackage Image


Can't read the image? click here to refresh.
    *required field

Your bulk quote request has been submitted successfully!

Please contact us if you have any questions.