• Tel: 858.663.9055
  • SeparatorEmail: info@nsjbio.com
  • Tel: 858.663.9055
  • Email: info@nsjbio.com
Home >> Antibodies >> PIGR Antibody / Polymeric immunoglobulin receptor

PIGR Antibody / Polymeric immunoglobulin receptor (R31866)

  Catalog No Formulation Size Price (USD)  
Image R31866 0.5mg/ml if reconstituted with 0.2ml sterile DI water 100 ug 449
Bulk quote request
Flow cytometry analysis of fixed human SH-SY5Y cells with PIGR antibody at 1ug/million cells (blocked with goat sera); Red=cells alone, Green=isotype control, Blue= PIGR antibody.
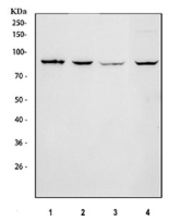
Western blot testing of 1) human A431, 2) human SH-SY5Y, 3) human RT4 and 4) human CT26WT cell lysate with PIGR antibody. Predicted molecular weight ~83 kDa.
Availability 1-3 business days
Species Reactivity Human
Format Antigen affinity purified
Host Rabbit
Clonality Polyclonal (rabbit origin)
Isotype Rabbit IgG
Purity Antigen affinity
Buffer Lyophilized from 1X PBS with 2% Trehalose
UniProt P01833
Applications Western Blot : 0.5-1ug/ml
Flow Cytometry : 1-3ug/million cells
Limitations This PIGR antibody is available for research use only.
Review this product on BioCompare and get a $20 Amazon gift card

Related Products

  • Applications : FACS, IF, IHC-P, WB
    Reactivity : Human

Description

PIGR antibody targets Polymeric immunoglobulin receptor, encoded by the PIGR gene. Polymeric immunoglobulin receptor is a transmembrane glycoprotein that plays a central role in mucosal immunity by mediating the transcytosis of polymeric immunoglobulins across epithelial cells. PIGR binds dimeric IgA and pentameric IgM at the basolateral surface of epithelial cells and transports these antibodies to the apical surface, where they are released into mucosal secretions. This process is essential for immune defense at mucosal barriers such as the gastrointestinal, respiratory, and genitourinary tracts.

Functionally, Polymeric immunoglobulin receptor enables the delivery of secretory antibodies that neutralize pathogens and toxins at mucosal surfaces. During transcytosis, PIGR is proteolytically cleaved to release the extracellular secretory component, which remains associated with IgA to form secretory IgA. The secretory component enhances antibody stability and protects immunoglobulins from proteolytic degradation in harsh mucosal environments. A PIGR antibody supports studies focused on epithelial transport mechanisms and mucosal immune defense.

PIGR expression is predominantly observed in epithelial cells lining mucosal tissues, including intestinal epithelium, airway epithelium, salivary glands, mammary glands, and hepatobiliary epithelium. Expression is regulated by inflammatory cytokines and microbial stimuli, allowing epithelial cells to adjust immunoglobulin transport capacity in response to immune challenge. This inducible expression pattern highlights the role of PIGR as a dynamic interface between epithelial barriers and the immune system.

From a disease-relevance perspective, altered PIGR expression has been associated with inflammatory and infectious diseases of mucosal tissues. Reduced PIGR expression has been linked to impaired mucosal immunity and increased susceptibility to infection, while dysregulated expression has been reported in chronic inflammatory conditions such as inflammatory bowel disease. PIGR has also been studied in cancer biology, particularly in gastrointestinal and hepatocellular carcinomas, where changes in epithelial differentiation and immune interactions can influence receptor expression. These associations make PIGR an important target in studies of barrier function and immune-epithelial crosstalk.

At the molecular level, Polymeric immunoglobulin receptor contains multiple extracellular immunoglobulin-like domains, a single transmembrane region, and a short cytoplasmic tail that directs intracellular trafficking. Post-translational modifications, proteolytic cleavage, and glycosylation contribute to isoform diversity and variable electrophoretic behavior on SDS-PAGE. A PIGR antibody supports research applications focused on mucosal immunology, epithelial biology, and disease-associated changes in antibody transport, with NSJ Bioreagents providing reagents intended for research use.

Application Notes

Optimal dilution of the PIGR antibody should be determined by the researcher.

Immunogen

Amino acids DAAPDEKVLDSGFREIENKAIQDPRLFAEEKAVAD of human PIGR were used as the immunogen for the PIGR antibody.

Storage

After reconstitution, the PIGR antibody can be stored for up to one month at 4oC. For long-term, aliquot and store at -20oC. Avoid repeated freezing and thawing.

Cross
Bulk Quote Request Form
Name*:
Organization*:
Email*:
Phone Number*:
Catalog No.*:
Comments and Specifics(amount, formulation, etc.)*:
Validation code: Captchapackage Image


Can't read the image? click here to refresh.
    *required field

Your bulk quote request has been submitted successfully!

Please contact us if you have any questions.