• Tel: 858.663.9055
  • SeparatorEmail: info@nsjbio.com
  • Tel: 858.663.9055
  • Email: info@nsjbio.com
Home >> Antibodies >> PI5 Antibody / Peptidase Inhibitor 5 / SERPINB5

PI5 Antibody / Peptidase Inhibitor 5 / SERPINB5 [clone SERPINB5/12558] (V5973)

  Catalog No Formulation Size Price (USD)  
Image V5973-100UG 0.2 mg/ml in 1X PBS with 0.05% BSA, 0.05% sodium azide 100 ug 559
Image
V5973-20UG 0.2 mg/ml in 1X PBS with 0.05% BSA, 0.05% sodium azide 20 ug 259
Image
V5973SAF-100UG 1 mg/ml in 1X PBS; BSA free, sodium azide free 100 ug 559
Bulk quote request
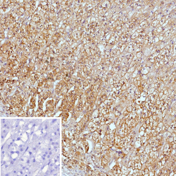
Immunohistochemistry analysis of PI5 / SERPINB5 antibody (clone SERPINB5/12558) in human adrenal gland tissue. Sections of formalin-fixed, paraffin-embedded human adrenal gland show cytoplasmic and membranous brown chromogenic staining in adrenal cortical cells, while nuclei are counterstained blue. The inset image represents a negative control in which PBS was used instead of the primary antibody, demonstrating absence of specific staining. Heat induced epitope retrieval was performed by boiling tissue sections in 10mM Tris with 1mM EDTA, pH 9.0, for 45 minutes at 95oC followed by cooling at room temperature for 20 minutes before immunostaining.
SDS-PAGE Analysis of Purified PI5/Peptidase Inhibitor 5 antibody (SERPINB5/12558). Confirmation of Purity and Integrity of Antibody.
Species Reactivity Human
Format Purified
Host Mouse
Clonality Monoclonal (mouse origin)
Isotype Mouse IgG2b, kappa
Clone Name SERPINB5/12558
UniProt P36952
Localization Cytoplasm, Extracellular space, Nucleus, Secreted
Applications Immunohistochemistry (FFPE) : 1-2ug/ml
Limitations This PI5/Peptidase Inhibitor 5 antibody is available for research use only.
Review this product on BioCompare and get a $20 Amazon gift card

Related Products

Description

PI5 antibody, also known as Peptidase inhibitor 5 antibody, recognizes a member of the serine protease inhibitor family commonly referred to as Maspin and encoded by the SERPINB5 gene. Peptidase Inhibitor 5 belongs to the clade B serpin family and functions primarily as a non-secreted, cytoplasmic and nuclear serine protease inhibitor with tumor suppressive properties. It is highly expressed in epithelial tissues including skin, mammary gland, prostate, and other stratified epithelia, where it contributes to regulation of cell adhesion, migration, apoptosis, and differentiation.

Peptidase Inhibitor 5, also referred to as Mammary serine protease inhibitor and Serpin B5 in the literature, plays a role in maintaining normal epithelial architecture. In healthy tissues, expression is typically observed in basal and suprabasal epithelial layers, while altered expression patterns have been reported in multiple tumor types. Loss or mislocalization of SERPINB5 has been associated with tumor progression, invasion, and metastasis in breast, prostate, lung, and colorectal cancers. Conversely, preserved nuclear localization is often correlated with more differentiated phenotypes.

At the molecular level, SERPINB5 participates in pathways regulating extracellular matrix interaction, cell motility, and apoptosis. It has been reported to influence integrin signaling, modulate urokinase-type plasminogen activator activity, and interact with histone deacetylase complexes in the nucleus. These diverse functions support its classification as a multifunctional tumor suppressor protein rather than a simple protease inhibitor. The protein lacks a classical secretion signal and is predominantly localized to the cytoplasm and nucleus depending on cell type and context.

Chromosomally, SERPINB5 is located on 18q21.33 within a cluster of clade B serpin genes. Structurally, it contains the conserved serpin fold with beta sheets and alpha helices characteristic of inhibitory serpins, although its inhibitory mechanism differs from classical circulating serpins such as Alpha 1 Antitrypsin. Tissue distribution studies demonstrate strong epithelial staining in skin, mammary ducts, prostate epithelium, and other glandular tissues. A PI5 antibody is suitable for detecting SERPINB5 expression in research applications including immunohistochemistry, immunoblotting, and related assays for epithelial biology and oncology research.

Clone SERPINB5/12558 is a monoclonal antibody designed to target Peptidase Inhibitor 5 for research applications. It enables evaluation of epithelial differentiation status, tumor suppressor expression, and alterations in subcellular localization patterns associated with disease states.

Application Notes

Optimal dilution of the PI5/Peptidase Inhibitor 5 antibody should be determined by the researcher.

Immunogen

A recombinant fragment (around amino acids 1-200) of human SERPINB5 protein (exact sequence is proprietary) was used as the immunogen for the PI5/Peptidase Inhibitor 5 antibody.

Storage

PI5/Peptidase Inhibitor 5 antibody with sodium azide - store at 2 to 8oC; antibody without sodium azide - store at -20 to -80oC.

Cross
Bulk Quote Request Form
Name*:
Organization*:
Email*:
Phone Number*:
Catalog No.*:
Comments and Specifics(amount, formulation, etc.)*:
Validation code: Captchapackage Image


Can't read the image? click here to refresh.
    *required field

Your bulk quote request has been submitted successfully!

Please contact us if you have any questions.