• Tel: 858.663.9055
  • SeparatorEmail: info@nsjbio.com
  • Tel: 858.663.9055
  • Email: info@nsjbio.com
Home >> Antibodies >> PI4KB Antibody / Phosphatidylinositol 4-kinase beta

PI4KB Antibody / Phosphatidylinositol 4-kinase beta (RQ8773)

  Catalog No Formulation Size Price (USD)  
Image RQ8773 0.5mg/ml if reconstituted with 0.2ml sterile DI water 100 ug 449
Bulk quote request
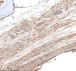
IHC staining of FFPE human skeletal muscle tissue with PI4KB antibody. HIER: boil tissue sections in pH8 EDTA for 20 min and allow to cool before testing.
Western blot testing of 1) human K562, 2) human HeLa, 3) rat brain, 4) mouse brain and 5) mouse lung tissue lysate with PI4KB antibody. Predicted molecular weight ~91 kDa and ~89 kDa (two isoforms).
Flow cytometry testing of fixed and permeabilized human JK cells with PI4KB antibody at 1ug/million cells (blocked with goat sera); Red=cells alone, Green=isotype control, Blue= PI4KB antibody.
Availability 1-3 days
Species Reactivity Human
Format Antigen affinity purified
Host Rabbit
Clonality Polyclonal (rabbit origin)
Isotype Rabbit IgG
Purity Antigen affinity chromatography
Buffer Lyophilized from 1X PBS with 2% Trehalose
UniProt Q9UBF8
Localization Cytoplasm
Applications Western Blot : 1-2ug/ml
Immunohistochemistry (FFPE) : 2-5ug/ml
Flow Cytometry : 1-3ug/million cells
ELISA : 0.1-0.5ug/ml
Limitations This PI4KB antibody is available for research use only.
Review this product on BioCompare and get a $20 Amazon gift card

Related Products

Description

Phosphatidylinositol 4-kinase beta is an enzyme that in humans is encoded by the PI4KB gene. Inositol phospholipids have an important role in intracellular signaling in response to hormones, growth factors and neurotransmitters. Phosphatidylinositol 4-kinase phosphorylates phosphatidylinositol (PI) to phosphatidylinositol-4-phosphate (PIP). In a second step, PIP is further phosphorylated to phosphatidylinositol-4,5-bisphosphate (PIP2), and PIP2 is subsequently hydrolyzed by phospholipase C, producing the two intracellular second messengers, inositol 1,4,5-triphosphate (IP3) and diacylglycerol (DAG). PI4K230, PI4K92 and PI4K55 are three PI4 kinase isoforms that have been characterized and classified according to their molecular weights of 230, 92 and 55 kD. Previously, PI4 kinases were classified into type II and III enzymes. All isoforms are located on distinct membranes and cellular compartments suggesting various tasks. PI4K230 is located at the endoplasmatic reticulum and outer membranes of mitochondria, PI4K92 at the Golgi apparatus and endoplasmatic reticulum, and PI4K55 at the plasma membrane and endosomes. PI4K230 is predominantly expressed in brain and moderately sensitive to wortmannin as well as specifically and irreversibly inhibited by cyclitol derivatives.

Application Notes

Optimal dilution of the PI4KB antibody should be determined by the researcher.

Immunogen

An E.coli-derived human recombinant protein (amino acids D375-D671) was used as the immunogen for the PI4KB antibody.

Storage

After reconstitution, the PI4KB Antibody can be stored for up to one month at 4oC. For long-term, aliquot and store at -20oC. Avoid repeated freezing and thawing.

Cross
Bulk Quote Request Form
Name*:
Organization*:
Email*:
Phone Number*:
Catalog No.*:
Comments and Specifics(amount, formulation, etc.)*:
Validation code: Captchapackage Image


Can't read the image? click here to refresh.
    *required field

Your bulk quote request has been submitted successfully!

Please contact us if you have any questions.