• Tel: 858.663.9055
  • SeparatorEmail: info@nsjbio.com
  • Tel: 858.663.9055
  • Email: info@nsjbio.com
Home >> Antibodies >> PI3K Antibody

PI3K Antibody (R34263)

  Catalog No Formulation Size Price (USD)  
Image R34263-100UG 0.5 mg/ml in 1X TBS, pH7.3, with 0.5% BSA (US sourced) and 0.02% sodium azide 100 ug 475
Bulk quote request
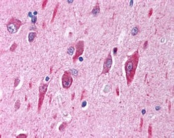
IHC testing of FFPE human cerebellar cortex with PI3K antibody at 2.5ug/ml. HIER: steamed with pH6 citrate buffer, AP-staining.
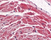
IHC testing of FFPE human heart with PI3K antibody at 5ug/ml. HIER: steamed with pH6 citrate buffer, AP-staining.
Availability 1-3 business days
Species Reactivity Human
Predicted Reactivity Cow, Dog, Mouse, Rat
Format Antigen affinity purified
Host Goat
Clonality Polyclonal (goat origin)
Isotype Goat Ig
Purity Antigen affinity
Gene ID 5290
Localization Cytoplasmic
Applications Immunohistochemistry (FFPE) : 2-5ug/ml
ELISA (peptide) LOD : 1:128000
Limitations This PI3K antibody is available for research use only.
Review this product on BioCompare and get a $20 Amazon gift card

Related Products

Description

Additional name(s) for this target protein: PI3-kinase; PIK3CA

Application Notes

Optimal dilution of the PI3K antibody should be determined by the researcher.

Immunogen

Amino acids HQWLKDKNKGEIYD were used as the immunogen for this PI3K antibody.

Storage

Aliquot and store the PI3K antibody at -20oC.

Cross
Bulk Quote Request Form
Name*:
Organization*:
Email*:
Phone Number*:
Catalog No.*:
Comments and Specifics(amount, formulation, etc.)*:
Validation code: Captchapackage Image


Can't read the image? click here to refresh.
    *required field

Your bulk quote request has been submitted successfully!

Please contact us if you have any questions.