- Tel: 858.663.9055
- 
									 Email: info@nsjbio.com Email: info@nsjbio.com
- Tel: 858.663.9055
- Email: info@nsjbio.com
 Email: info@nsjbio.com
Email: info@nsjbio.com
								Related Products
| 
 | 
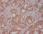
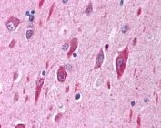
Phosphatidylinositol 3-kinase regulatory subunit 2, also called p85-Beta, PIK3R2 and PIK3, is an enzyme that in humans is encoded by the PIK3R2 gene. The NS1 protein from various influenza strains bind p85-beta, but not p85-alpha. Binding of p85-beta and activation of PI3K required tyr89 of NS1, and mutant viruses expressing NS1 with a tyr89-to-phe substitution grew more slowly in cell culture than wildtype viruses. Using mouse embryonic fibroblasts, Park et al. showed that, in addition to regulating PI3K function, p85-alpha/beta regulated the function of Xbp1s, a transcription factor that orchestrates the unfolded protein response (UPR) following endoplasmic reticulum (ER) stress. Overexpression of the protein in livers of ob/ob mice increased glucose tolerance and reduced blood glucose concentrations.
The stated application concentrations are suggested starting points. Titration of the PI3K antibody may be required due to differences in protocols and secondary/substrate sensitivity.
Amino acids 447-461 (KVYHQQYQDKSREYD-beta specific) was used as the immunogen for this PI3K antibody (100% human, mouse and rat homology).
After reconstitution, the PI3K antibody can be stored for up to one month at 4oC. For long-term, aliquot and store at -20oC. Avoid repeated freezing and thawing.
 
Your bulk quote request has been submitted successfully!
Please contact us if you have any questions.