• Tel: 858.663.9055
  • SeparatorEmail: info@nsjbio.com
  • Tel: 858.663.9055
  • Email: info@nsjbio.com
Home >> Antibodies >> PI3K Antibody (p85 beta) / PIK3R2

PI3K Antibody (p85 beta) / PIK3R2 [clone PIK3R2/292] (V9682)

  Catalog No Formulation Size Price (USD)  
Image V9682-100UG 0.2 mg/ml in 1X PBS with 0.1 mg/ml BSA (US sourced), 0.05% sodium azide 100 ug 559
Image
V9682-20UG 0.2 mg/ml in 1X PBS with 0.1 mg/ml BSA (US sourced), 0.05% sodium azide 20 ug 259
Image
V9682SAF-100UG 1 mg/ml in 1X PBS; BSA free, sodium azide free 100 ug 559
Microvalidated
Bulk quote request
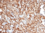
IHC staining of FFPE human bladder carcinoma tissue with PIK3 antibody (clone PIK3R2/292). Negative control inset: PBS used instead of primary antibody to control for secondary Ab binding.
IHC staining of FFPE human spleen tissue with PIK3 antibody (clone PIK3R2/292). HIER: boil tissue sections in pH 9 10mM Tris with 1mM EDTA for 20 min and allow to cool before testing.
Analysis of HuProt(TM) microarray containing more than 19,000 full-length human proteins using PI3K antibody (clone PIK3R2/292). These results demonstrate the foremost specificity of the PIK3R2/292 mAb. Z- and S- score: The Z-score represents the strength of a signal that an antibody (in combination with a fluorescently-tagged anti-IgG secondary Ab) produces when binding to a particular protein on the HuProt(TM) array. Z-scores are described in units of standard deviations (SD's) above the mean value of all signals generated on that array. If the targets on the HuProt(TM) are arranged in descending order of the Z-score, the S-score is the difference (also in units of SD's) between the Z-scores. The S-score therefore represents the relative target specificity of an Ab to its intended target.
Availability 1-3 business days
Species Reactivity Human
Format Purified
Host Mouse
Clonality Monoclonal (mouse origin)
Isotype Mouse IgG2b, kappa
Clone Name PIK3R2/292
Purity Protein A/G affinity
UniProt O00459
Localization Cytoplasm, Nucleus
Applications Immunohistochemistry (FFPE) : 1-2ug/ml
Limitations This PI3K antibody is available for research use only.
Review this product on BioCompare and get a $20 Amazon gift card

Related Products

Description

Phosphatidylinositol 3-kinase (PI 3-kinase) is composed of p85 and p110 subunits. p85 lacks PI 3-kinase activity and acts as an adapter, coupling p110 to activated protein tyrosine kinase. Two forms of p85 have been described (p85 heterotrimeric G proteins).

Application Notes

Optimal dilution of the PI3K antibody should be determined by the researcher.

Immunogen

A portion of amino acids 520-720 was used as the immunogen for the PI3K antibody.

Storage

Aliquot the PI3K antibody and store frozen at -20oC or colder. Avoid repeated freeze-thaw cycles.

Cross
Bulk Quote Request Form
Name*:
Organization*:
Email*:
Phone Number*:
Catalog No.*:
Comments and Specifics(amount, formulation, etc.)*:
Validation code: Captchapackage Image


Can't read the image? click here to refresh.
    *required field

Your bulk quote request has been submitted successfully!

Please contact us if you have any questions.