• Tel: 858.663.9055
  • SeparatorEmail: info@nsjbio.com
  • Tel: 858.663.9055
  • Email: info@nsjbio.com
Home >> Antibodies >> PI16 Antibody / Peptidase inhibitor 16

PI16 Antibody / Peptidase inhibitor 16 (RQ6148)

  Catalog No Formulation Size Price (USD)  
Image RQ6148 0.5mg/ml if reconstituted with 0.2ml sterile DI water 100 ug 449
Bulk quote request
PI16 / Peptidase inhibitor 16 antibody in human testicular cancer by immunohistochemistry. Formalin-fixed paraffin-embedded human testicular cancer tissue stained with PI16 antibody shows cytoplasmic HRP-DAB chromogenic signal in tumor cells. Positive cells display granular cytoplasmic staining within the tumor cell population. Heat induced epitope retrieval was performed by boiling tissue sections in pH 8 EDTA buffer for 20 minutes followed by cooling prior to antibody incubation.
PI16 Antibody in human pancreatic cancer by immunohistochemistry. Formalin-fixed paraffin-embedded human pancreatic cancer tissue stained with PI16 / Peptidase inhibitor 16 antibody shows cytoplasmic HRP-DAB chromogenic signal in tumor epithelial cells within the malignant glandular structures. Positive cells display granular cytoplasmic staining, while surrounding stromal elements show weaker or minimal signal. Heat induced epitope retrieval was performed by boiling tissue sections in pH 8 EDTA buffer for 20 minutes followed by cooling prior to antibody incubation.
PI16 Antibody in human bladder cancer by immunohistochemistry. Formalin-fixed paraffin-embedded human bladder cancer tissue stained with PI16 / Peptidase inhibitor 16 antibody shows HRP-DAB chromogenic staining in tumor epithelial cells and surrounding stromal components. Positive cells display cytoplasmic signal within malignant epithelial nests embedded in fibrous stroma, while adjacent stromal cells exhibit variable staining intensity. Heat induced epitope retrieval was performed by boiling tissue sections in pH 8 EDTA buffer for 20 minutes followed by cooling prior to antibody incubation.
PI16 Antibody in mouse intestine by immunohistochemistry. Formalin-fixed paraffin-embedded mouse intestine tissue stained with PI16 / Peptidase inhibitor 16 antibody shows HRP-DAB chromogenic staining primarily within epithelial cells lining the intestinal villi. Positive signal is observed in the cytoplasm of enterocyte populations along the villus structures, with surrounding lamina propria cells showing minimal staining. The staining pattern highlights epithelial architecture of the intestinal mucosa. Heat induced epitope retrieval was performed by boiling tissue sections in pH 8 EDTA buffer for 20 minutes followed by cooling prior to antibody incubation.
PI16 Antibody in rat intestine by immunohistochemistry. Formalin-fixed paraffin-embedded rat intestine tissue stained with PI16 / Peptidase inhibitor 16 antibody shows HRP-DAB chromogenic staining within epithelial cells lining the intestinal villi. Positive signal is observed predominantly in the cytoplasm of enterocytes along the villus epithelium, outlining the villus architecture, while most lamina propria cells display minimal staining. Heat induced epitope retrieval was performed by boiling tissue sections in pH 8 EDTA buffer for 20 minutes followed by cooling prior to antibody incubation.
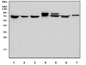
Western blot testing of 1) HeLa, 2) human Jurkat, 3) human PC-3, 4) monkey heart, 5) rat heart, 6) rat testis and 7) mouse heart lysate with PI16/Peptidase inhibitor 16 antibody. Predicted molecular weight ~50 kDa, routinely observed at 70-110 kDa depending on glycosylation level.
Flow cytometry testing of human A431 cells with PI16/Peptidase inhibitor 16 antibody at 1ug/million cells (blocked with goat sera); Red=cells alone, Green=isotype control, Blue= PI16/Peptidase inhibitor 16 antibody.
Flow cytometry testing of mouse HEPA1-6 cells with PI16 antibody at 1ug/million cells (blocked with goat sera); Red=cells alone, Green=isotype control, Blue= PI16 antibody.
Availability 1-3 business days
Species Reactivity Human, Mouse, Rat, Monkey
Format Antigen affinity purified
Host Rabbit
Clonality Polyclonal (rabbit origin)
Isotype Rabbit IgG
Purity Affinity purified
Buffer Lyophilized from 1X PBS with 2% Trehalose and 0.025% sodium azide
UniProt Q6UXB8
Applications Western Blot : 1-2ug/ml
Immunohistochemistry (FFPE) : 2-5ug/ml
Flow Cytometry : 1-3ug/million cells
Direct ELISA : 0.1-0.5ug/ml
Limitations This PI16/Peptidase inhibitor 16 antibody is available for research use only.
Review this product on BioCompare and get a $20 Amazon gift card

Description

PI16 Antibody recognizes Peptidase inhibitor 16, also known as PI16 and Peptidase inhibitor 16 precursor, a secreted cysteine-rich protein implicated in extracellular protease regulation and tissue homeostasis. Peptidase inhibitor 16 is sometimes referred to in the literature as CRISP-like protein 1 due to its cysteine-rich secretory protein domain structure. PI16 Antibody is commonly described as Peptidase inhibitor 16 antibody and is used in studies focused on extracellular matrix regulation, protease activity, and stromal biology.

Peptidase inhibitor 16 is primarily expressed in fibroblasts, stromal cells, and certain endothelial and mesenchymal cell populations. As a secreted protein, PI16 is localized to the extracellular space and is associated with modulation of proteolytic activity within the tissue microenvironment. Through regulation of protease signaling pathways, PI16 has been implicated in controlling extracellular matrix remodeling, tissue repair processes, and cellular migration. Expression patterns are often observed in connective tissue-rich organs and in stromal compartments adjacent to epithelial or vascular structures.

Altered PI16 expression has been investigated in cardiovascular biology, fibrosis, inflammatory conditions, and tumor microenvironment studies. Changes in Peptidase inhibitor 16 levels have been associated with tissue remodeling and stromal activation, particularly in heart and skeletal muscle research. In oncology research, PI16-positive stromal cells may be examined in the context of tumor-stroma interactions and extracellular matrix dynamics. Consequently, PI16 antibody staining is frequently evaluated in studies examining fibroblast biology, protease regulation, and tissue remodeling pathways.

At the molecular level, Peptidase inhibitor 16 contains characteristic cysteine-rich domains that are thought to influence protein-protein interactions and extracellular signaling. Its role as a secreted regulator of protease activity makes PI16 Antibody a valuable tool for investigating extracellular matrix biology, stromal cell populations, and tissue remodeling mechanisms in normal and diseased tissues.

Application Notes

Optimal dilution of the PI16/Peptidase inhibitor 16 antibody should be determined by the researcher.

Immunogen

A human recombinant partial protein (amino acids L28-L363) was used as the immunogen for the PI16/Peptidase inhibitor 16 antibody.

Storage

After reconstitution, the PI16/Peptidase inhibitor 16 antibody can be stored for up to one month at 4oC. For long-term, aliquot and store at -20oC. Avoid repeated freezing and thawing.

Cross
Bulk Quote Request Form
Name*:
Organization*:
Email*:
Phone Number*:
Catalog No.*:
Comments and Specifics(amount, formulation, etc.)*:
Validation code: Captchapackage Image


Can't read the image? click here to refresh.
    *required field

Your bulk quote request has been submitted successfully!

Please contact us if you have any questions.