• Tel: 858.663.9055
  • SeparatorEmail: info@nsjbio.com
  • Tel: 858.663.9055
  • Email: info@nsjbio.com
Home >> Antibodies >> Phospholipid-transporting ATPase IG Antibody / ATP11C

Phospholipid-transporting ATPase IG Antibody / ATP11C (F54825)

  Catalog No Formulation Size Price (USD)  
Image F54825-0.4ML In 1X PBS, pH 7.4, with 0.09% sodium azide 0.4 ml 439
Image
F54825-0.08ML In 1X PBS, pH 7.4, with 0.09% sodium azide 0.08 ml 205
Bulk quote request
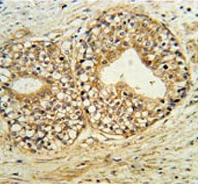
IHC testing of FFPE human prostate carcinoma tissue with Phospholipid-transporting ATPase IG antibody. HIER: steam section in pH6 citrate buffer for 20 min and allow to cool prior to staining.
Western blot testing of hamster CHO lysate with Phospholipid-transporting ATPase IG antibody. Predicted molecular weight ~129 kDa.
Western blot testing of mouse lung tissue lysate with Phospholipid-transporting ATPase IG antibody. Predicted molecular weight ~129 kDa.
Flow cytometry testing of human HEK293 cells with Phospholipid-transporting ATPase IG antibody; Blue=isotype control, Green= Phospholipid-transporting ATPase IG antibody.
Availability 1-3 business days
Species Reactivity Human, Mouse, Hamster
Format Purified
Host Rabbit
Clonality Polyclonal (rabbit origin)
Isotype Rabbit Ig
Purity Antigen affinity purified
UniProt Q8NB49
Localization Cytoplasmic, plasma membrane
Applications Flow Cytometry : 1:10-1:50 (1x10e6 cells)
Immunohistochemistry (FFPE) : 1:50-1:100
Western Blot : 1:500-1:1000
Limitations This Phospholipid-transporting ATPase IG antibody is available for research use only.
Review this product on BioCompare and get a $20 Amazon gift card

Related Products

Description

TCatalytic component of a P4-ATPase flippase complex which catalyzes the hydrolysis of ATP coupled to the transport of aminophospholipids, phosphatidylserines (PS) and phosphatidylethanolamines (PE), from the outer to the inner leaflet of the plasma membrane. [UniProt]

Application Notes

The stated application concentrations are suggested starting points. Titration of the Phospholipid-transporting ATPase IG antibody may be required due to differences in protocols and secondary/substrate sensitivity.

Immunogen

A portion of amino acids 589-616 from the human protein was used as the immunogen for the Phospholipid-transporting ATPase IG antibody.

Storage

Aliquot the Phospholipid-transporting ATPase IG antibody and store frozen at -20oC or colder. Avoid repeated freeze-thaw cycles.

Cross
Bulk Quote Request Form
Name*:
Organization*:
Email*:
Phone Number*:
Catalog No.*:
Comments and Specifics(amount, formulation, etc.)*:
Validation code: Captchapackage Image


Can't read the image? click here to refresh.
    *required field

Your bulk quote request has been submitted successfully!

Please contact us if you have any questions.