• Tel: 858.663.9055
  • SeparatorEmail: info@nsjbio.com
  • Tel: 858.663.9055
  • Email: info@nsjbio.com
Home >> Antibodies >> Phosphoglucomutase 3 Antibody / PGM3

Phosphoglucomutase 3 Antibody / PGM3 (RQ8787)

  Catalog No Formulation Size Price (USD)  
Image RQ8787 0.5mg/ml if reconstituted with 0.2ml sterile DI water 100 ug 449
Bulk quote request
Immunofluorescent staining of FFPE rat brain tissue with Phosphoglucomutase 3 antibody (red) and DAPI nuclear stain (blue). HIER: steam section in pH8 EDTA buffer for 20 min.
Immunofluorescent staining of FFPE human HeLa cells with Phosphoglucomutase 3 antibody (red) and Beta Tubulin mAb (green). HIER: steam section in pH6 citrate buffer for 20 min.
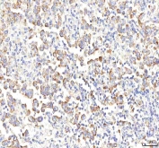
IHC staining of FFPE human testicular seminoma tissue with Phosphoglucomutase 3 antibody. HIER: boil tissue sections in pH8 EDTA for 20 min and allow to cool before testing.
IHC staining of FFPE human testicular seminoma tissue with Phosphoglucomutase 3 antibody. HIER: boil tissue sections in pH8 EDTA for 20 min and allow to cool before testing.
Western blot testing of 1) human A549, 2) human HepG2, 3) human Jurkat, 4) human K562 and 5) mouse brain tissue lysate with Phosphoglucomutase 3 antibody. Predicted molecular weight: 60-63 kDa (multiple isoforms).
Availability 1-3 days
Species Reactivity Human, Mouse
Format Antigen affinity purified
Host Rabbit
Clonality Polyclonal (rabbit origin)
Isotype Rabbit IgG
Purity Antigen affinity chromatography
Buffer Lyophilized from 1X PBS with 2% Trehalose
UniProt O95394
Localization Nuclear, cytoplasmic
Applications Western Blot : 1-2ug/ml
Immunohistochemistry (FFPE) : 2-5ug/ml
Immunofluorescence : 5ug/ml
Flow Cytometry : 1-3ug/million cells
ELISA : 0.1-0.5ug/ml
Limitations This Phosphoglucomutase 3 antibody is available for research use only.
Review this product on BioCompare and get a $20 Amazon gift card

Description

Phosphoacetylglucosamine mutase is an enzyme that in humans is encoded by the PGM3 gene. This gene encodes a member of the phosphohexose mutase family. The encoded protein mediates both glycogen formation and utilization by catalyzing the interconversion of glucose-1-phosphate and glucose-6-phosphate. A non-synonymous single nucleotide polymorphism in this gene may play a role in resistance to diabetic nephropathy and neuropathy. Alternatively spliced transcript variants encoding multiple isoforms have been observed for this gene.

Application Notes

Optimal dilution of the Phosphoglucomutase 3 antibody should be determined by the researcher.

Immunogen

An E.coli-derived human recombinant protein (amino acids K112-A531) was used as the immunogen for the Phosphoglucomutase 3 antibody.

Storage

After reconstitution, the Phosphoglucomutase 3 antibody can be stored for up to one month at 4oC. For long-term, aliquot and store at -20oC. Avoid repeated freezing and thawing.

Cross
Bulk Quote Request Form
Name*:
Organization*:
Email*:
Phone Number*:
Catalog No.*:
Comments and Specifics(amount, formulation, etc.)*:
Validation code: Captchapackage Image


Can't read the image? click here to refresh.
    *required field

Your bulk quote request has been submitted successfully!

Please contact us if you have any questions.