• Tel: 858.663.9055
  • SeparatorEmail: info@nsjbio.com
  • Tel: 858.663.9055
  • Email: info@nsjbio.com
Home >> Antibodies >> Phospho-Vimentin (pSer39) Antibody / VIM

Phospho-Vimentin (pSer39) Antibody / VIM [clone 31V35] (FY12596)

  Catalog No Formulation Size Price (USD)  
Image FY12596 Rabbit IgG in phosphate buffered saline, pH 7.4, 150mM NaCl, 0.02% sodium azide and 50% glycerol, 0.4-0.5mg/ml BSA 100 ul 449
Microvalidated Recrabbitmono
Bulk quote request
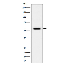
Western blot analysis of Phospho-Vimentin (pS39) expression in HeLa treated with Calyculin A cell lysate using Phospho-Vimentin (pSer39) antibody. Predicted molecular weight ~53-58 kDa.
All lanes use the Phospho-Vimentin (pSer39) antibody at 1:1000 dilution for 1 hour at room temperature. Predicted molecular weight ~53-58 kDa.
Mouse NIH 3T3 cell lysate tested with Phospho-Vimentin (pSer39) antibody at 1:1000 dilution for 1 hour at room temperature. Predicted molecular weight ~53-58 kDa.
Availability 2-3 weeks
Species Reactivity Human, Mouse, Rat
Format Liquid
Host Rabbit
Clonality Recombinant Rabbit Monoclonal
Isotype Rabbit IgG
Clone Name 31V35
Purity Affinity-chromatography
Buffer Rabbit IgG in phosphate buffered saline, pH 7.4, 150mM NaCl, 0.02% sodium azide and 50% glycerol, 0.4-0.5mg/ml BSA.
UniProt P08670
Applications Western Blot : 1:500-1:2000
Limitations This Phospho-Vimentin (pSer39) antibody is available for research use only.
Review this product on BioCompare and get a $20 Amazon gift card

Related Products

  • Applications : WB, IHC
    Reactivity : Human
    Recrabbitmono
  • Applications : FACS, WB, IHC-P
    Reactivity : Human
    Microvalidated
  • Applications : FACS
    Reactivity : Human
    Microvalidated
  • Applications : WB, IHC-P, IF
    Reactivity : Human, Rabbit, Pig, Rat
  • Applications : IHC-P
    Reactivity : Human, Mouse, Rat
    Citation  Citations(11)
  • Applications : WB, IHC-P
    Reactivity : Human
    Citation  Citations(1)
  • Applications : WB, IHC-P
    Reactivity : Human
  • Applications : WB, IHC-P
    Reactivity : Human
  • Applications : WB, ICC/IF, IP
    Reactivity : Human
  • Applications : WB
    Reactivity : Human
    Rab Mono Image
  • Applications : IHC-P, WB, IF
    Reactivity : Human
    Rab Mono Image
  • Applications : WB, IHC-P, IF
    Reactivity : Human, Mouse, Rat
  • Applications : IF, WB, IHC, ELISA
    Reactivity : Human, Mouse
    Pred. Reactivity : Rat, Bovine, Primate, Hamster
  • Applications : IF, WB, IHC, FACS, ELISA
    Reactivity : Human
    Pred. Reactivity : Mouse, Rat, Bovine, Pig, Primate, Chicken, Hamster, Xenopus
  • Applications : WB, IHC, FACS, ELISA
    Reactivity : Human
    Pred. Reactivity : Mouse, Rat, Bovine, Pig, Hamster
  • Applications : IF, WB, IHC, FACS, ELISA
    Reactivity : Human
  • Applications : WB, ELISA (peptide)
    Reactivity : Human, Mouse, Rat
    Pred. Reactivity : Dog, Pig, Cow

Description

Phospho-Vimentin (pSer39) antibody detects vimentin phosphorylated at serine 39. Vimentin, encoded by the VIM gene, is a type III intermediate filament protein that provides structural support and regulates cellular architecture. Vimentin filaments undergo dynamic phosphorylation at multiple sites, which regulates filament assembly, disassembly, and interactions with signaling proteins. Phosphorylation at Ser39 by kinases such as PKC alters filament organization during mitosis, migration, and stress responses.

Phospho-Vimentin (pSer39) antibody is widely applied in cancer research, cell biology, and developmental studies. Vimentin phosphorylation at Ser39 facilitates cytoskeletal reorganization, promoting epithelial to mesenchymal transition, migration, and invasion. In cancer, elevated phospho vimentin correlates with metastasis and poor prognosis. By detecting phosphorylation at Ser39, researchers can investigate how cytoskeletal remodeling contributes to tumor progression and cell plasticity.

Western blot assays reveal phosphorylated vimentin bands distinct from total protein. Immunohistochemistry highlights phospho vimentin in invasive tumor regions, while immunofluorescence maps cytoplasmic distribution in migrating cells. These applications make Phospho-Vimentin (pSer39) antibody valuable for tracking cytoskeletal changes in disease and development.

Phosphorylation of vimentin integrates mechanical and chemical signals that regulate mitosis, adhesion, and stress adaptation. By applying Phospho-Vimentin (Ser39) antibody, scientists can evaluate how phosphorylation controls filament turnover and supports cellular responses to growth factors and mechanical stress. Its use in combination with total vimentin antibody provides a complete picture of cytoskeletal regulation.

Beyond cancer, phospho vimentin is important in wound healing, embryogenesis, and inflammation. Dynamic filament remodeling ensures proper migration of fibroblasts, endothelial cells, and immune cells during tissue repair and development. The phospho-specific antibody therefore provides a versatile tool for exploring structural regulation in multiple biological systems.

Phospho-Vimentin (pSer39) antibody from NSJ Bioreagents delivers strong specificity for detecting phosphorylated VIM, enabling precise analysis of cytoskeletal signaling and remodeling in health and disease.

Application Notes

Optimal dilution of the Phospho-Vimentin (pSer39) antibody should be determined by the researcher.

Immunogen

A synthesized peptide derived from human Phospho-Vimentin (S39) was used as the immunogen for the Phospho-Vimentin (pSer39) antibody.

Storage

Store the Phospho-Vimentin (pSer39) antibody at -20oC.

Cross
Bulk Quote Request Form
Name*:
Organization*:
Email*:
Phone Number*:
Catalog No.*:
Comments and Specifics(amount, formulation, etc.)*:
Validation code: Captchapackage Image


Can't read the image? click here to refresh.
    *required field

Your bulk quote request has been submitted successfully!

Please contact us if you have any questions.