• Tel: 858.663.9055
  • SeparatorEmail: info@nsjbio.com
  • Tel: 858.663.9055
  • Email: info@nsjbio.com
Home >> Antibodies >> Phospho-Tuberin (pSer939) Antibody / TSC2

Phospho-Tuberin (pSer939) Antibody / TSC2 [clone 32T70] (FY12943)

  Catalog No Formulation Size Price (USD)  
Image FY12943 Rabbit IgG in phosphate buffered saline, pH 7.4, 150mM NaCl, 0.02% sodium azide and 50% glycerol, 0.4-0.5mg/ml BSA 100 ul 449
Microvalidated Recrabbitmono
Bulk quote request
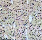
Immunohistochemical staining of Tuberin/TSC2 (Phospho-S939) using anti-Phospho-Tuberin (pSer939) antibody. Tuberin/TSC2 (Phospho-S939) was detected in a paraffin-embedded section of mouse brain tissue. Heat mediated antigen retrieval was performed in EDTA buffer (pH 8.0, epitope retrieval solution). The tissue section was blocked with 10% goat serum. The tissue section was then incubated with a dilution of 1:50 rabbit anti-Phospho-Tuberin (Ser939) antibody overnight at 4oC. Peroxidase Conjugated Goat Anti-rabbit IgG was used as secondary antibody and incubated for 30 minutes at 37oC. The tissue section was developed using an HRP secondary and DAB substrate.
Western blot analysis of Tuberin/TSC2 (Phospho-S939) using anti-Phospho-Tuberin (pSer939) antibody. Electrophoresis was performed on a 8% SDS-PAGE gel at 80V (Stacking gel) / 120V (Resolving gel) for 2 hours. Lane 1: human PC-3 whole cell lysates, Lane 2: human SIHA whole cell lysates, Lane 3: human MCF-7 whole cell lysates. After electrophoresis, proteins were transferred to a nitrocellulose membrane at 150 mA for 50-90 minutes. Blocked the membrane with 5% non-fat milk/TBS for 1.5 hour at RT. The membrane was incubated with rabbit anti-Tuberin/TSC2 (Phospho-S939) antibody at a dilution of 1:500 overnight at 4oC, then washed with TBS-0.1%Tween 3 times with 5 minutes each and probed with a goat anti-rabbit IgG-HRP secondary antibody at a dilution of 1:5000 for 1.5 hour at RT. The signal was developed using an ECL Plus Western Blotting Substrate. A band is detected just below the 250 kDa marker, consistent with the known slower migration of hyperphosphorylated TSC2 relative to its ~201 kDa predicted mass. The upper mobility reflects multi-site phosphorylation of TSC2 and compression of large proteins on an 8% gel.
Immunohistochemical staining of Tuberin/TSC2 (Phospho-S939) using anti-Phospho-Tuberin (pSer939) antibody. Tuberin/TSC2 (Phospho-S939) was detected in a paraffin-embedded section of rat brain tissue. Heat mediated antigen retrieval was performed in EDTA buffer (pH 8.0, epitope retrieval solution). The tissue section was blocked with 10% goat serum. The tissue section was then incubated with a dilution of 1:50 rabbit anti-Phospho-Tuberin (Ser939) antibody overnight at 4oC. Peroxidase Conjugated Goat Anti-rabbit IgG was used as secondary antibody and incubated for 30 minutes at 37oC. The tissue section was developed using an HRP secondary and DAB substrate.
Western blot analysis of Tuberin/TSC2 using anti-Tuberin/TSC2 antibody. Electrophoresis was performed on a 8% SDS-PAGE gel at 80V (Stacking gel) / 120V (Resolving gel) for 2 hours. Lane 1: human SH-SY5Y whole cell lysates, Lane 2: human SIHA whole cell lysates, Lane 3: human Hela whole cell lysates, Lane 4: human 293T whole cell lysates. After electrophoresis, proteins were transferred to a nitrocellulose membrane at 150 mA for 50-90 minutes. Blocked the membrane with 5% non-fat milk/TBS for 1.5 hour at RT. The membrane was incubated with rabbit anti-Tuberin/TSC2 antibody at 1:500 overnight at 4oC, then washed with TBS-0.1%Tween 3 times with 5 minutes each and probed with a goat anti-rabbit IgG-HRP secondary antibody at a dilution of 1:5000 for 1.5 hour at RT. The signal was developed using an ECL Plus Western Blotting Substrate. A band is detected just below the 250 kDa marker, consistent with the known slower migration of hyperphosphorylated TSC2 relative to its ~201 kDa predicted mass. The upper mobility reflects multi-site phosphorylation of TSC2 and compression of large proteins on an 8% gel.
Immunohistochemical staining of Tuberin/TSC2 using anti-Tuberin/TSC2 antibody. Tuberin/TSC2 was detected in a paraffin-embedded section of mouse brain tissue. Heat mediated antigen retrieval was performed in EDTA buffer (pH 8.0, epitope retrieval solution). The tissue section was blocked with 10% goat serum. The tissue section was then incubated with 1:50 rabbit anti-Tuberin/TSC2 antibody overnight at 4oC. Peroxidase Conjugated Goat Anti-rabbit IgG was used as secondary antibody and incubated for 30 minutes at 37oC. The tissue section was developed using an HRP secondary and DAB substrate.
Immunohistochemical staining of Tuberin/TSC2 using anti-Tuberin/TSC2 antibody. Tuberin/TSC2 was detected in a paraffin-embedded section of rat brain tissue. Heat mediated antigen retrieval was performed in EDTA buffer (pH 8.0, epitope retrieval solution). The tissue section was blocked with 10% goat serum. The tissue section was then incubated with 1:50 rabbit anti-Tuberin/TSC2 antibody overnight at 4oC. Peroxidase Conjugated Goat Anti-rabbit IgG was used as secondary antibody and incubated for 30 minutes at 37oC. The tissue section was developed using an HRP secondary and DAB substrate.
Availability 2-3 weeks
Species Reactivity Human, Mouse, Rat
Format Liquid
Host Rabbit
Clonality Recombinant Rabbit Monoclonal
Isotype Rabbit IgG
Clone Name 32T70
Purity Affinity chromatography
Buffer Rabbit IgG in phosphate buffered saline, pH 7.4, 150mM NaCl, 0.02% sodium azide and 50% glycerol, 0.4-0.5mg/ml BSA.
UniProt P49815
Localization Cytoplasm
Applications Western Blot : 1:500-1:2000
Immunohistochemistry : 1:50-1:200
Limitations This Phospho-Tuberin (pSer939) antibody is available for research use only.
Review this product on BioCompare and get a $20 Amazon gift card

Related Products

Description

Phospho-Tuberin (pSer939) antibody detects the phosphorylated form of Tuberin, encoded by the TSC2 gene. Tuberin is a large cytoplasmic protein that forms a functional complex with Hamartin, encoded by TSC1, to regulate cell growth, proliferation, and survival. The TSC1 TSC2 complex acts as a GTPase activating protein for the small GTPase Rheb, thereby negatively regulating the mTORC1 pathway. Phosphorylation of Tuberin at serine 939 modulates its function and localization, making Phospho-Tuberin (pSer939) antibody a critical reagent for studying mTOR pathway regulation and its role in disease.

Tuberin integrates upstream signals from growth factors, nutrients, and energy status. Akt phosphorylates Tuberin at multiple residues including serine 939, leading to inhibition of the TSC1 TSC2 complex and activation of mTORC1. Research using Phospho-Tuberin (pSer939) antibody has shown that phosphorylation reduces the ability of Tuberin to suppress Rheb, resulting in increased protein synthesis and cell growth. This post translational modification thus acts as a switch between anabolic and catabolic states, linking extracellular signals to metabolic control.

Mutations in TSC2 cause Tuberous sclerosis complex, a genetic disorder characterized by benign tumor formation in multiple organs, epilepsy, and cognitive impairment. While disease is typically associated with truncating mutations, dysregulation of phosphorylation also impacts Tuberin activity. Studies with Phospho-Tuberin (pSer939) antibody have demonstrated that aberrant Akt signaling leads to hyperphosphorylation, promoting uncontrolled mTORC1 activation and contributing to tumorigenesis. This has made the TSC1 TSC2 pathway a target for therapies such as mTOR inhibitors, which are now widely used in clinical management of Tuberous sclerosis complex and related conditions.

Beyond inherited disease, phosphorylation of Tuberin has implications in sporadic cancers, metabolic syndromes, and neurodevelopmental disorders. Overactive Akt driven phosphorylation at serine 939 contributes to tumor growth and survival in breast cancer, prostate cancer, and glioblastoma. Research using Phospho-Tuberin (pSer939) antibody allows detection of these changes, providing a biomarker for pathway activation. In metabolic disease, altered mTOR regulation contributes to insulin resistance and type 2 diabetes, further expanding the relevance of Tuberin phosphorylation in human health.

Phospho-Tuberin (pSer939) antibody is applied in western blotting, immunohistochemistry, and immunofluorescence. Western blotting distinguishes phosphorylated from non phosphorylated protein, providing a measure of pathway activity. Immunohistochemistry highlights tissue specific distribution of phosphorylated Tuberin in disease samples, while immunofluorescence visualizes subcellular localization changes after growth factor stimulation. Together, these approaches help define how Tuberin phosphorylation controls mTORC1 signaling in diverse cellular contexts.

By supplying Phospho-Tuberin (pSer939) antibody, NSJ Bioreagents supports research into mTOR signaling, tumor biology, and genetic disease. This antibody provides a sensitive means of detecting phosphorylation events that are central to growth regulation and pathogenesis.

Application Notes

Optimal dilution of the Phospho-Tuberin (pSer939) antibody should be determined by the researcher.

Immunogen

A synthesized peptide derived from human Phospho-Tuberin (pS939) was used as the immunogen for the Phospho-Tuberin (pSer939) antibody.

Storage

Store the Phospho-Tuberin (pSer939) antibody at -20oC.

Cross
Bulk Quote Request Form
Name*:
Organization*:
Email*:
Phone Number*:
Catalog No.*:
Comments and Specifics(amount, formulation, etc.)*:
Validation code: Captchapackage Image


Can't read the image? click here to refresh.
    *required field

Your bulk quote request has been submitted successfully!

Please contact us if you have any questions.