• Tel: 858.663.9055
  • SeparatorEmail: info@nsjbio.com
  • Tel: 858.663.9055
  • Email: info@nsjbio.com
Home >> Antibodies >> Phospho-Tau Antibody (pS396)

Phospho-Tau Antibody (pS396) [clone FCO-13] (RQ5330)

  Catalog No Formulation Size Price (USD)  
Image RQ5330 Antibody in PBS with 0.02% sodium azide, 50% glycerol and 0.4-0.5mg/ml BSA 100 ul 449
Microvalidated Rab Mono Image
Bulk quote request
Western blot testing of 1) lysate from alkaline phosphatase-treated SH-SY5Y cells and 2) lysate from untreated SH-SY5Y cells, with phospho-Tau antibody (pS396). The S396 site is naturally highly phosphorylated and negative testing results after phosphatase treatment demonstrates the specificity of the phospho-Tau antibody. The expected molecular weight of phosphorylated Tau (Ser198) is approximately 45-70 kDa, corresponding to the major Tau isoforms, and lower molecular weight bands around ~35 kDa may represent truncated Tau fragments commonly observed in brain tissue.
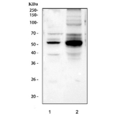
Western blot testing of 1) human SH-SY5Y and 2) mouse brain tissue lysate with Phospho-Tau antibody. The expected molecular weight of phosphorylated Tau (Ser198) is approximately 45-70 kDa, corresponding to the major Tau isoforms, and lower molecular weight bands around ~35 kDa may represent truncated Tau fragments commonly observed in brain tissue.
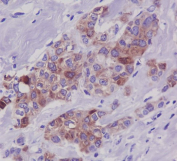
IHC staining of FFPE human breast carcinoma tissue with Phospho-Tau antibody, HRP-secondary and DAB substrate. HIER: boil tissue sections in pH8 EDTA for 20 min and allow to cool before testing.
Availability 1-2 weeks
Species Reactivity Human
Format Purified
Host Rabbit
Clonality Rabbit Monoclonal
Isotype Rabbit IgG
Clone Name FCO-13
Purity Affinity purified
UniProt P10636
Applications Western Blot : 1:1000
Immunohistochemistry (FFPE) : 1:50
Limitations This phospho-Tau antibody (pS396) is available for research use only.
Review this product on BioCompare and get a $20 Amazon gift card

Related Products

Description

Phospho Tau antibody pS396 is a highly specific research reagent for studying tau phosphorylation and neurodegenerative disease. The encoded protein, tau, is a microtubule associated protein that stabilizes microtubules and supports axonal transport in neurons. Aberrant phosphorylation of tau at multiple serine and threonine residues is a defining feature of tauopathies, including Alzheimer disease and frontotemporal dementia. This antibody recognizes tau only when serine at amino acid 396 is phosphorylated, enabling precise detection of a modification closely associated with pathological tau aggregation.

Phosphorylation at serine 396 occurs within the C terminal region of tau, a domain that influences microtubule binding and tau filament assembly. Modification at this site reduces tau's affinity for microtubules and promotes abnormal conformations that lead to oligomerization and neurofibrillary tangle formation. Phospho specific antibodies targeting S396 are widely used as biomarkers of disease progression and as tools to track pathological changes in experimental models of dementia.

In Alzheimer disease brains, tau phosphorylated at S396 is a prominent component of paired helical filaments and tangles. Accumulation of phosphorylated tau disrupts axonal transport, destabilizes the cytoskeleton, and triggers synaptic dysfunction. These events contribute directly to neuronal loss and cognitive decline. Monitoring phosphorylation at this residue provides insights into the molecular cascade that drives tau pathology and helps evaluate therapeutic strategies aimed at reducing tau hyperphosphorylation.

Regulation of phosphorylation at serine 396 involves kinases such as glycogen synthase kinase 3 beta, cyclin dependent kinase 5, and MAP kinases. Phosphatases, particularly PP2A, counteract these modifications. The dynamic interplay of these enzymes determines the balance between physiological and pathological tau states. Phospho Tau antibody pS396 allows researchers to measure these changes with high sensitivity, providing a window into kinase and phosphatase activity in neuronal systems.

The Phospho Tau antibody pS396 is commonly applied in western blotting, immunohistochemistry, immunofluorescence, and ELISA to identify site specific phosphorylation patterns. These applications are essential for research into tau driven neurodegeneration, biomarker development, and therapeutic testing. For investigators studying tauopathies, cytoskeletal biology, or kinase signaling, this antibody provides a dependable and specific detection tool. NSJ Bioreagents supplies validated antibodies designed to deliver accuracy and reproducibility in advanced molecular research.

Application Notes

Optimal dilution of the phospho-Tau antibody (pS396) should be determined by the researcher.

Immunogen

A synthetic peptide specific to human Tau / MAPT (surrounding pS396) was used as the immunogen for the phospho-Tau antibody.

Storage

Store the phospho-Tau antibody (pS396) at -20oC.

Cross
Bulk Quote Request Form
Name*:
Organization*:
Email*:
Phone Number*:
Catalog No.*:
Comments and Specifics(amount, formulation, etc.)*:
Validation code: Captchapackage Image


Can't read the image? click here to refresh.
    *required field

Your bulk quote request has been submitted successfully!

Please contact us if you have any questions.