• Tel: 858.663.9055
  • SeparatorEmail: info@nsjbio.com
  • Tel: 858.663.9055
  • Email: info@nsjbio.com
Home >> Antibodies >> Phospho-Raf1 Antibody (pS259)

Phospho-Raf1 Antibody (pS259) [clone IOH-18] (RQ5029)

  Catalog No Formulation Size Price (USD)  
Image RQ5029 Antibody in PBS with 0.02% sodium azide, 50% glycerol and 0.4-0.5mg/ml BSA 100 ul 449
Microvalidated Rab Mono Image
Bulk quote request
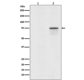
Western blot testing of human 293T cells 1) untreated and 2) treated with Okadaic Acid + Calyculin A, with phospho-Raf1 antibody. Predicted molecular weight ~73 kDa.
Availability 1-2 weeks
Species Reactivity Human
Format Purified
Host Rabbit
Clonality Rabbit Monoclonal
Isotype Rabbit IgG
Clone Name IOH-18
Purity Affinity purified
UniProt P04049
Applications Western Blot : 1:500-1:1000
Limitations This phospho-Raf1 antibody is available for research use only.
Review this product on BioCompare and get a $20 Amazon gift card

Related Products

Description

Serine/threonine-protein kinase that acts as a regulatory link between the membrane-associated Ras GTPases and the MAPK/ERK cascade, and this critical regulatory link functions as a switch determining cell fate decisions including proliferation, differentiation, apoptosis, survival and oncogenic transformation. RAF1 activation initiates a mitogen-activated protein kinase (MAPK) cascade that comprises a sequential phosphorylation of the dual-specific MAPK kinases (MAP2K1/MEK1 and MAP2K2/MEK2) and the extracellular signal-regulated kinases (MAPK3/ERK1 and MAPK1/ERK2). [UniProt]

Application Notes

Optimal dilution of the phospho-Raf1 antibody should be determined by the researcher.

Immunogen

A synthetic peptide specific to human Raf1 (surrounding pS259) was used as the immunogen for the phospho-Raf1 antibody.

Storage

Store the phospho-Raf1 antibody at -20oC.

Cross
Bulk Quote Request Form
Name*:
Organization*:
Email*:
Phone Number*:
Catalog No.*:
Comments and Specifics(amount, formulation, etc.)*:
Validation code: Captchapackage Image


Can't read the image? click here to refresh.
    *required field

Your bulk quote request has been submitted successfully!

Please contact us if you have any questions.