• Tel: 858.663.9055
  • SeparatorEmail: info@nsjbio.com
  • Tel: 858.663.9055
  • Email: info@nsjbio.com
Home >> Antibodies >> Phospho-PRAS40 (pThr246) Antibody / AKT1S1

Phospho-PRAS40 (pThr246) Antibody / AKT1S1 [clone 32A68] (FY12850)

  Catalog No Formulation Size Price (USD)  
Image FY12850 Rabbit IgG in phosphate buffered saline, pH 7.4, 150mM NaCl, 0.02% sodium azide and 50% glycerol, 0.4-0.5mg/ml BSA 100 ul 449
Microvalidated Recrabbitmono
Bulk quote request
Mouse NIH 3T3 cell lysate tested with the Phospho-PRAS40 (pThr246) antibody at 1:1000 dilution for 1 hour at room temperature. Predicted molecular weight ~40 kDa.
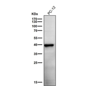
Rat PC-12 cell lysate tested with the Phospho-PRAS40 (pThr246) antibody at 1:1000 dilution for 1 hour at room temperature. Predicted molecular weight ~40 kDa.
Mouse lung tissue lysate tested with the Phospho-PRAS40 (pThr246) antibody at 1:2000 dilution for 1 hour at room temperature. Predicted molecular weight ~40 kDa.
Availability 2-3 weeks
Species Reactivity Human
Format Liquid
Host Rabbit
Clonality Recombinant Rabbit Monoclonal
Isotype Rabbit IgG
Clone Name 32A68
Purity Affinity chromatography
Buffer Rabbit IgG in phosphate buffered saline, pH 7.4, 150mM NaCl, 0.02% sodium azide and 50% glycerol, 0.4-0.5mg/ml BSA.
UniProt Q96B36
Applications Western Blot : 1:500-1:2000
Limitations This Phospho-PRAS40 (pThr246) antibody is available for research use only.
Review this product on BioCompare and get a $20 Amazon gift card

Related Products

Description

Phospho-PRAS40 (pThr246) antibody recognizes a phosphorylated form of the proline-rich AKT substrate of 40 kDa, encoded by the AKT1S1 gene. PRAS40 is a critical signaling adaptor that links the AKT pathway with the mechanistic target of rapamycin complex 1 (mTORC1). Under normal conditions, PRAS40 binds to mTORC1 and functions as an inhibitor, but phosphorylation of PRAS40 at threonine 246 by AKT reduces this inhibitory effect. This phosphorylation event facilitates activation of mTORC1, which drives protein synthesis, cell growth, and metabolic reprogramming. Because of this central role, detection with Phospho-PRAS40 (pThr246) antibody is important for studies exploring insulin signaling, cancer progression, and metabolic regulation.

PRAS40 phosphorylation is tightly regulated by upstream PI3K-AKT activation. Following growth factor stimulation, AKT phosphorylates PRAS40 at Thr246, creating a binding site for 14-3-3 proteins. The resulting complex alters PRAS40 localization and diminishes its inhibitory function on mTORC1. Dysregulated phosphorylation at this site has been observed in multiple cancers, including breast and prostate carcinoma, where increased AKT signaling is a hallmark. Phospho-PRAS40 (Thr246) antibody therefore provides a valuable tool for researchers assessing therapeutic inhibitors of the PI3K-AKT-mTOR pathway.

Beyond oncology, Thr246 phosphorylation has been linked to metabolic diseases. In insulin-resistant states, abnormal AKT-PRAS40 signaling alters glucose uptake and lipid metabolism. Detecting this modification with Phospho-PRAS40 (Thr246) antibody can clarify molecular mechanisms underlying type 2 diabetes and obesity. It has also been used to monitor experimental therapies designed to restore insulin sensitivity.

Phospho-PRAS40 (pThr246) antibody is widely applied in western blotting, immunohistochemistry, and ELISA-based studies. In western blotting, phosphorylation-specific detection distinguishes the activated protein from the unmodified form, providing precise pathway analysis. Immunohistochemistry enables visualization of phosphorylated PRAS40 within tissue architecture, revealing spatial relationships with other signaling components. ELISA or bead-based assays further allow quantitative comparisons of phosphorylation across experimental conditions.

PRAS40 phosphorylation often occurs alongside other AKT targets, such as GSK3, FOXO, and TSC2. Using Phospho-PRAS40 (pThr246) antibody in parallel with other phospho-specific antibodies allows comprehensive mapping of AKT activity in cellular models. NSJ Bioreagents provides this antibody to support laboratories conducting pathway analysis, biomarker development, and drug discovery in areas ranging from oncology to metabolic research.

Application Notes

Optimal dilution of the Phospho-PRAS40 (pThr246) antibody should be determined by the researcher.

Immunogen

A synthesized peptide derived from human Phospho-PRAS40 (pT246) was used as the immunogen for the Phospho-PRAS40 (pThr246) antibody.

Storage

Store the Phospho-PRAS40 (pThr246) antibody at -20oC.

Cross
Bulk Quote Request Form
Name*:
Organization*:
Email*:
Phone Number*:
Catalog No.*:
Comments and Specifics(amount, formulation, etc.)*:
Validation code: Captchapackage Image


Can't read the image? click here to refresh.
    *required field

Your bulk quote request has been submitted successfully!

Please contact us if you have any questions.