• Tel: 858.663.9055
  • SeparatorEmail: info@nsjbio.com
  • Tel: 858.663.9055
  • Email: info@nsjbio.com
Home >> Antibodies >> Phospho-PKC alpha (pThr497) Antibody / Protein kinase C alpha

Phospho-PKC alpha (pThr497) Antibody / Protein kinase C alpha [clone 32P00] (FY12403)

  Catalog No Formulation Size Price (USD)  
Image FY12403 Rabbit IgG in phosphate buffered saline, pH 7.4, 150mM NaCl, 0.02% sodium azide and 50% glycerol, 0.4-0.5mg/ml BSA 100 ul 449
Microvalidated Recrabbitmono
Bulk quote request
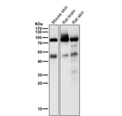
All lanes use the Phospho-PKC alpha (pThr497) antibody at 1:1000 dilution for 1 hour at room temperature.
Western blot analysis of Phospho-PKC alpha (pT497) expression in HeLa treated with Calyculin A cell lysate, using Phospho-PKC alpha (Thr497) antibody.
All lanes use the Phospho-PKC alpha (pThr497) antibody at 1:1000 dilution for 1 hour at room temperature.
All lanes use the Phospho-PKC alpha (pThr497) antibody at 1:1000 dilution for 1 hour at room temperature.
Availability 2-3 weeks
Species Reactivity Human, Mouse, Rat
Format Liquid
Host Rabbit
Clonality Recombinant Rabbit Monoclonal
Isotype Rabbit IgG
Clone Name 32P00
Purity Affinity-chromatography
Buffer Rabbit IgG in phosphate buffered saline, pH 7.4, 150mM NaCl, 0.02% sodium azide and 50% glycerol, 0.4-0.5mg/ml BSA.
UniProt P17252
Applications Western Blot : 1:500-1:2000
Immunohistochemistry : 1:50-1:200
Limitations This Phospho-PKC alpha (pThr497) antibody is available for research use only.
Review this product on BioCompare and get a $20 Amazon gift card

Description

Phospho-PKC alpha (pThr497) antibody recognizes protein kinase C alpha phosphorylated at threonine 497, an activation site essential for catalytic function. PKC alpha is a member of the conventional protein kinase C family that functions as a serine threonine kinase. It is activated by calcium, diacylglycerol, and phospholipids, and it regulates processes including cell proliferation, differentiation, apoptosis, and migration. Phosphorylation at Thr497 stabilizes the kinase in an active conformation and promotes downstream substrate phosphorylation.

Phospho-PKC alpha (pThr497) antibody is widely applied in signaling and phosphorylation research. By distinguishing the phosphorylated active form from inactive PKC alpha, it enables precise monitoring of pathway activation. This is particularly relevant in studies of cancer, cardiovascular disease, and neuronal signaling where PKC alpha activity is tightly regulated.

The antibody is validated for use in western blotting, immunohistochemistry, and immunofluorescence. In western blot assays, Phospho PKC alpha (pThr497) antibody detects phosphorylated isoforms and allows quantification of activation under various stimuli. In immunohistochemistry, it highlights phosphorylation dependent localization within tissues, while immunofluorescence provides single cell resolution of active PKC alpha.

PKC alpha has been implicated in cancer progression, where dysregulated activation contributes to survival, proliferation, and metastasis. Monitoring Thr497 phosphorylation with phospho specific antibodies provides mechanistic insight into tumor biology and therapeutic targeting. In cardiovascular research, PKC alpha activity is linked to hypertrophy, contractility, and vascular remodeling. In the nervous system, PKC alpha influences synaptic plasticity and long term potentiation.

Phospho-PKC alpha (pThr497) antibody offered by NSJ Bioreagents provides strong specificity for activated PKC alpha, supporting studies across oncology, cardiology, and neuroscience. It is a critical reagent for examining phosphorylation dependent signaling in health and disease.

Application Notes

Optimal dilution of the Phospho-PKC alpha (pThr497) antibody should be determined by the researcher.

Immunogen

A synthesized peptide derived from human Phospho-PKC alpha (pT497) was used as the immunogen for the Phospho-PKC alpha (pThr497) antibody.

Storage

Store the Phospho-PKC alpha (pThr497) antibody at -20oC.

Cross
Bulk Quote Request Form
Name*:
Organization*:
Email*:
Phone Number*:
Catalog No.*:
Comments and Specifics(amount, formulation, etc.)*:
Validation code: Captchapackage Image


Can't read the image? click here to refresh.
    *required field

Your bulk quote request has been submitted successfully!

Please contact us if you have any questions.