• Tel: 858.663.9055
  • SeparatorEmail: info@nsjbio.com
  • Tel: 858.663.9055
  • Email: info@nsjbio.com
Home >> Antibodies >> Phospho-LIPE (pSer853) Antibody / HSL / Hormone-sensitive lipase

Phospho-LIPE (pSer853) Antibody / HSL / Hormone-sensitive lipase [clone FDO-12] (FY13404)

  Catalog No Formulation Size Price (USD)  
Image FY13404 Rabbit IgG in phosphate buffered saline, pH 7.4, 150mM NaCl, 0.02% sodium azide and 50% glycerol, 0.4-0.5mg/ml BSA 100 ul 449
Microvalidated Recrabbitmono
Bulk quote request
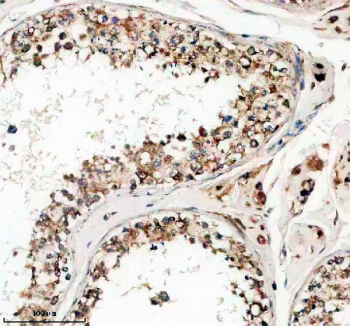
Immunohistochemical staining of FFPE human testis tissue with Phospho-LIPE (pSer853) antibody, HRP-secondary and DAB substrate. HIER: boil tissue sections in pH8 EDTA for 20 min and allow to cool before testing.
Western blot analysis of 1) rat and 2) mouse skeletal muscle tissue lysates using Phospho-LIPE (pSer853) antibody. A specific band is detected at approximately 83 kDa, consistent with the reported molecular weight of endogenous hormone-sensitive lipase in rodent tissues.
Availability 1-2 days
Species Reactivity Human, Mouse, Rat
Format Liquid
Host Rabbit
Clonality Recombinant Rabbit Monoclonal
Isotype Rabbit IgG
Clone Name FDO-12
Purity Affinity chromatography
Buffer Rabbit IgG in phosphate buffered saline, pH 7.4, 150mM NaCl, 0.02% sodium azide and 50% glycerol, 0.4-0.5mg/ml BSA.
UniProt Q05469
Localization Cytoplasm, cell membrane
Applications Western Blot : 1:500-1:2000
Immunohistochemistry : 1:50-1:200
Limitations This Phospho-LIPE (pSer853) antibody is available for research use only.
Review this product on BioCompare and get a $20 Amazon gift card

Description

Phospho-LIPE (pSer853) antibody targets the phosphorylated form of Hormone-sensitive lipase (LIPE), also known as HSL, at serine 853, a well-characterized regulatory phosphorylation site associated with activation of lipolytic function. LIPE is a cytoplasmic neutral lipase that plays a central role in lipid mobilization by hydrolyzing triglycerides, diacylglycerols, and cholesteryl esters stored within lipid droplets. In metabolic cells, LIPE localizes primarily to the cytoplasm and lipid droplet surface, with phosphorylation-dependent activation in response to hormonal and signaling cues. Detection of phospho-LIPE provides insight into the activated, signal-responsive pool of HSL rather than total protein abundance.

Functionally, phosphorylation of LIPE at serine 853 is linked to kinase-driven signaling pathways that regulate lipolysis during periods of increased energy demand. This modification promotes enzymatic activation and facilitates interaction with lipid droplets, enabling efficient release of free fatty acids. Hormonal stimulation, such as catecholamine signaling, enhances LIPE phosphorylation, while opposing pathways suppress phosphorylation and favor lipid storage. A Phospho-LIPE (pSer853) antibody supports studies examining dynamic regulation of lipolysis and metabolic signaling pathways.

Phosphorylated LIPE plays an important role in adipocytes, skeletal muscle, and steroidogenic tissues, where controlled lipid mobilization is essential for energy production and biosynthetic processes. In adipose tissue, LIPE phosphorylation coordinates lipid breakdown during fasting or stress, while in muscle it contributes to fuel availability during energy demand. Monitoring phospho-LIPE levels enables assessment of pathway activation states rather than total enzyme expression, providing a functional readout of lipid metabolic regulation.

From a biological and disease-relevance perspective, dysregulation of LIPE phosphorylation is associated with altered lipid handling, insulin resistance, and metabolic disease. Aberrant signaling that affects LIPE activation can lead to impaired fatty acid release or excessive lipid accumulation. Phospho-LIPE therefore represents a valuable marker for studying signaling pathways that control lipid metabolism, metabolic flexibility, and hormone-responsive energy balance.

At the molecular level, LIPE is encoded by the LIPE gene and produces a cytoplasmic enzyme that migrates at approximately 80-90 kDa on SDS-PAGE under reducing conditions. Phosphorylation-dependent regulation of LIPE occurs in response to cellular metabolic state and upstream kinase activity. A Phospho-LIPE (pSer853) antibody supports research applications focused on lipid signaling, metabolic regulation, and post-translational control of hormone-sensitive lipase, with NSJ Bioreagents providing reagents intended for research use.

Application Notes

Optimal dilution of the Phospho-LIPE (pSer853) antibody should be determined by the researcher.

Immunogen

A synthesized peptide derived from human Phospho-Hormone-sensitive lipase (pS853) was used as the immunogen for the Phospho-LIPE (pSer853) antibody.

Storage

Store the Phospho-LIPE antibody at -20oC.

Cross
Bulk Quote Request Form
Name*:
Organization*:
Email*:
Phone Number*:
Catalog No.*:
Comments and Specifics(amount, formulation, etc.)*:
Validation code: Captchapackage Image


Can't read the image? click here to refresh.
    *required field

Your bulk quote request has been submitted successfully!

Please contact us if you have any questions.