• Tel: 858.663.9055
  • SeparatorEmail: info@nsjbio.com
  • Tel: 858.663.9055
  • Email: info@nsjbio.com
Home >> Antibodies >> Phospho-GLUT4 (pSer488) Antibody / SLC2A4

Phospho-GLUT4 (pSer488) Antibody / SLC2A4 [clone 32S34] (FY13345)

  Catalog No Formulation Size Price (USD)  
Image FY13345 Rabbit IgG in phosphate buffered saline, pH 7.4, 150mM NaCl, 0.02% sodium azide and 50% glycerol, 0.4-0.5mg/ml BSA 100 ul 449
Microvalidated Recrabbitmono
Bulk quote request
Western blot testing of rat heart tissue lysate using the Phospho-GLUT4 (pSer488) antibody at 1:1000 dilution for 1 hour at room temperature. Predicted molecular weight ~55 kDa and ~44 kDa (two isoforms).
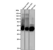
Western blot testing of rat and mouse samples using the Phospho-GLUT4 (pSer488) antibody at 1:1000 dilution for 1 hour at room temperature. Predicted molecular weight ~55 kDa and ~44 kDa (two isoforms).
Availability 2-3 weeks
Species Reactivity Human, Mouse, Rat
Format Liquid
Host Rabbit
Clonality Recombinant Rabbit Monoclonal
Isotype Rabbit IgG
Clone Name 32S34
Purity Affinity chromatography
Buffer Rabbit IgG in phosphate buffered saline, pH 7.4, 150mM NaCl, 0.02% sodium azide and 50% glycerol, 0.4-0.5mg/ml BSA.
UniProt P14672
Applications Western Blot : 1:500-1:2000
Limitations This Phospho-GLUT4 (pSer488) antibody is available for research use only.
Review this product on BioCompare and get a $20 Amazon gift card

Description

Phospho-GLUT4 (pSer488) antibody detects GLUT4 phosphorylated at serine 488, encoded by the SLC2A4 gene. GLUT4 is an insulin responsive glucose transporter that regulates cellular glucose uptake, particularly in adipose tissue and skeletal muscle. Phospho-GLUT4 (pSer488) antibody provides researchers with a highly specific reagent to study glucose transport regulation, insulin signaling, and metabolic disease.

GLUT4 is stored in intracellular vesicles under basal conditions and translocates to the plasma membrane in response to insulin stimulation. Research using Phospho-GLUT4 (pSer488) antibody has shown that phosphorylation at Ser488 modulates GLUT4 trafficking and activity, influencing how cells respond to hormonal signals. This modification connects insulin receptor activation with downstream control of glucose uptake.

Studies with Phospho-GLUT4 (pSer488) antibody have revealed that phosphorylation at Ser488 is mediated by kinases activated during insulin signaling, including Akt and related pathways. This modification fine tunes the balance between vesicular storage and surface localization, ensuring that glucose uptake matches metabolic demands. Dysregulation of GLUT4 phosphorylation impairs glucose handling and contributes to insulin resistance.

In type 2 diabetes and obesity, abnormal GLUT4 trafficking is a hallmark feature. Research using Phospho-GLUT4 (pSer488) antibody has demonstrated that altered phosphorylation disrupts GLUT4 translocation, leading to reduced glucose uptake in muscle and adipose tissue. This impairment contributes directly to hyperglycemia and metabolic imbalance. Targeting GLUT4 phosphorylation is being investigated as a strategy to restore glucose homeostasis in diabetes therapy.

Phospho-GLUT4 (pSer488) antibody is widely applied in western blotting, immunohistochemistry, and immunofluorescence. Western blotting distinguishes phosphorylated from total GLUT4 protein, immunohistochemistry localizes activated transporter in tissue sections, and immunofluorescence reveals dynamic trafficking patterns in cells. These applications make the antibody indispensable for metabolic research.

By providing validated Phospho-GLUT4 (pSer488) antibody reagents, NSJ Bioreagents supports studies into insulin signaling, glucose transport, and metabolic disorders. Detection of GLUT4 phosphorylated at Ser488 provides insight into how cells regulate nutrient uptake under physiological and pathological conditions.

Application Notes

Optimal dilution of the Phospho-GLUT4 (pSer488) antibody should be determined by the researcher.

Immunogen

A synthesized peptide derived from human Phospho-GLUT4 (pS488) was used as the immunogen for the Phospho-GLUT4 (pSer488) antibody.

Storage

Store the Phospho-GLUT4 (pSer488) antibody at -20oC.

Cross
Bulk Quote Request Form
Name*:
Organization*:
Email*:
Phone Number*:
Catalog No.*:
Comments and Specifics(amount, formulation, etc.)*:
Validation code: Captchapackage Image


Can't read the image? click here to refresh.
    *required field

Your bulk quote request has been submitted successfully!

Please contact us if you have any questions.