• Tel: 858.663.9055
  • SeparatorEmail: info@nsjbio.com
  • Tel: 858.663.9055
  • Email: info@nsjbio.com
Home >> Antibodies >> Phospho-CRMP2 (pThr514) Antibody / Collapsin response mediator protein 2

Phospho-CRMP2 (pThr514) Antibody / Collapsin response mediator protein 2 [clone 32D10] (FY12539)

  Catalog No Formulation Size Price (USD)  
Image FY12539 Rabbit IgG in phosphate buffered saline, pH 7.4, 150mM NaCl, 0.02% sodium azide and 50% glycerol, 0.4-0.5mg/ml BSA 100 ul 449
Microvalidated Recrabbitmono
Bulk quote request
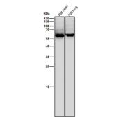
All lanes use the Phospho-CRMP2 (pThr514) antibody at 1:6000 dilution for 1 hour at room temperature. Phospho-CRMP2 (~62 kDa predicted) was detected as a major band at ~63-65 kDa, consistent with phosphorylation at GSK3β/CDK5-regulated residues Thr509, Thr514, and Ser522, which slightly retard electrophoretic mobility relative to total CRMP2.
All lanes use the Phospho-CRMP2 (pThr514) antibody at 1:6000 dilution for 1 hour at room temperature. Phospho-CRMP2 (~62 kDa predicted) was detected as a major band at ~63-65 kDa, consistent with phosphorylation at GSK3β/CDK5-regulated residues Thr509, Thr514, and Ser522, which slightly retard electrophoretic mobility relative to total CRMP2.
All lanes use the Phospho-CRMP2 (pThr514) antibody at 1:6000 dilution for 1 hour at room temperature. Phospho-CRMP2 (~62 kDa predicted) was detected as a major band at ~63-65 kDa, consistent with phosphorylation at GSK3β/CDK5-regulated residues Thr509, Thr514, and Ser522, which slightly retard electrophoretic mobility relative to total CRMP2.
Availability 2-3 weeks
Species Reactivity Human, Mouse, Rat
Format Liquid
Host Rabbit
Clonality Recombinant Rabbit Monoclonal
Isotype Rabbit IgG
Clone Name 32D10
Purity Affinity-chromatography
Buffer Rabbit IgG in phosphate buffered saline, pH 7.4, 150mM NaCl, 0.02% sodium azide and 50% glycerol, 0.4-0.5mg/ml BSA.
UniProt Q16555
Applications Western Blot : 1:500-1:2000
Limitations This Phospho-CRMP2 (pThr514) antibody is available for research use only.
Review this product on BioCompare and get a $20 Amazon gift card

Description

Phospho-CRMP2 (pThr514) antibody detects collapsin response mediator protein 2 when phosphorylated at threonine 514. CRMP2, encoded by the DPYSL2 gene, is a cytosolic phosphoprotein that regulates axon guidance, neuronal polarity, and microtubule dynamics. Phosphorylation at Thr514, primarily mediated by GSK3 beta, reduces CRMP2 binding to tubulin and destabilizes microtubules. This modification plays critical roles in neuronal development and synaptic remodeling.

Phospho-CRMP2 (pThr514) antibody is widely applied in neuroscience research, particularly in studies of axon guidance and neurodegeneration. By detecting phosphorylated CRMP2, researchers can distinguish between active and inhibited states of the protein. Elevated phosphorylation of CRMP2 at Thr514 has been associated with Alzheimer disease and other neurodegenerative conditions where microtubule stability is compromised.

The antibody is suitable for western blotting, immunohistochemistry, and immunofluorescence. In western blot assays, Phospho-CRMP2 (Thr514) antibody detects distinct phosphorylated isoforms. Immunohistochemistry highlights tissue specific phosphorylation patterns in brain regions, while immunofluorescence enables visualization of phospho CRMP2 at growth cones and synapses. These applications make the antibody valuable for developmental neuroscience and disease studies.

Phosphorylation of CRMP2 at Thr514 regulates not only axonal outgrowth but also dendritic spine morphology and synaptic plasticity. Dysregulation of this site contributes to cognitive decline and neuropsychiatric disorders. By applying Phospho-CRMP2 (pThr514) antibody, scientists can explore mechanisms linking abnormal phosphorylation to neuronal dysfunction and identify therapeutic approaches that target CRMP2 signaling.

Phospho-CRMP2 (pThr514) antibody from NSJ Bioreagents provides reliable specificity for detecting phosphorylated DPYSL2, enabling accurate monitoring of microtubule regulatory pathways in health and disease.

Application Notes

Optimal dilution of the Phospho-CRMP2 (pThr514) antibody should be determined by the researcher.

Immunogen

A synthesized peptide derived from human Phospho-CRMP2 (T514) was used as the immunogen for the Phospho-CRMP2 (pThr514) antibody.

Storage

Store the Phospho-CRMP2 (pThr514) antibody at -20oC.

Cross
Bulk Quote Request Form
Name*:
Organization*:
Email*:
Phone Number*:
Catalog No.*:
Comments and Specifics(amount, formulation, etc.)*:
Validation code: Captchapackage Image


Can't read the image? click here to refresh.
    *required field

Your bulk quote request has been submitted successfully!

Please contact us if you have any questions.