• Tel: 858.663.9055
  • SeparatorEmail: info@nsjbio.com
  • Tel: 858.663.9055
  • Email: info@nsjbio.com
Home >> Antibodies >> Phospho-c-Myc Antibody (pT58)

Phospho-c-Myc Antibody (pT58) [clone FOC-13] (RQ4863)

  Catalog No Formulation Size Price (USD)  
Image RQ4863 Antibody in PBS with 0.02% sodium azide, 50% glycerol and 0.4-0.5mg/ml BSA 100 ul 449
Microvalidated Recrabbitmono
Bulk quote request
Western blot testing of lysate from 1) untreated and 2) Calyculin A and Okadaic Acid-treated human HeLa cells with phospho-c-Myc antibody. Theoretical molecular weight: ~50 kDa but routinely observed at 50~70 kDa.
Western blot analysis of human 1) HeLa, 2) 293T, 3) HepG2, and 4) Jurkat cell lysates using phospho-c-Myc (pT58) antibody. A specific band is detected at approximately 55-60 kDa, consistent with the reported electrophoretic mobility of phosphorylated c-Myc, which migrates higher than its theoretical molecular weight due to post-translational modification.
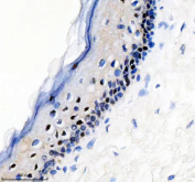
Immunohistochemical staining of FFPE human skin cancer tissue with phospho-c-Myc antibody, HRP-secondary and DAB substrate. HIER: boil tissue sections in pH8 EDTA for 20 min and allow to cool before testing.
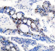
Immunohistochemical staining of FFPE human colon cancer tissue with phospho-c-Myc antibody, HRP-secondary and DAB substrate. HIER: boil tissue sections in pH8 EDTA for 20 min and allow to cool before testing.
Availability 1-2 weeks
Species Reactivity Human
Format Purified
Host Rabbit
Clonality Recombinant Rabbit Monoclonal
Isotype Rabbit IgG
Clone Name FOC-13
Purity Affinity purified
UniProt P01106
Applications Western Blot : 1:500-1:2000
Immunohistochemistry (FFPE) : 1:50-1:200
Limitations This phospho-c-Myc antibody is available for research use only.
Review this product on BioCompare and get a $20 Amazon gift card

Related Products

Description

Phospho-c-Myc antibody targets the phosphorylated form of c-Myc, a nuclear transcription factor that functions as a central regulator of cell growth, proliferation, metabolism, and apoptosis. c-Myc activity is tightly controlled by post-translational modifications, with phosphorylation serving as a key mechanism that regulates its stability, subcellular dynamics, and transcriptional output. Phosphorylated c-Myc localizes predominantly to the nucleus, where it binds DNA at E-box elements and modulates expression of genes involved in cell cycle progression and biosynthetic pathways. As a recombinant rabbit monoclonal antibody, clone FOC-13 is designed to recognize phosphorylated c-Myc with high specificity and consistency for research applications.

Functionally, phosphorylation of c-Myc integrates upstream signaling cues from pathways such as MAPK and CDK signaling, influencing both activation and turnover of the protein. These phosphorylation events can alter c-Myc protein stability and electrophoretic mobility, resulting in the commonly observed higher apparent molecular weight range on SDS-PAGE compared with the theoretical size. Detection of phospho-c-Myc therefore provides insight into signaling pathway activation and dynamic regulation of c-Myc-dependent transcriptional programs. A Phospho-c-Myc antibody supports studies examining signal-responsive control of gene expression and oncogenic signaling.

Phosphorylated c-Myc plays an important role in coordinating cellular responses to growth factors, stress, and cell cycle cues. Transient phosphorylation events fine-tune c-Myc activity to balance proliferation with checkpoint control and apoptosis. Dysregulation of c-Myc phosphorylation is associated with aberrant cell growth and malignant transformation, making phospho-c-Myc a valuable readout in cancer biology and signal transduction research. A Phospho-c-Myc antibody enables selective assessment of the activated, post-translationally modified pool of c-Myc in experimental systems.

From a biological and disease-relevance perspective, c-Myc is one of the most frequently implicated transcription factors in human cancer, and its regulation by phosphorylation is critical for determining oncogenic potential. Studying phospho-c-Myc provides mechanistic insight into how upstream kinases and phosphatases influence c-Myc-driven transcriptional networks. As a recombinant rabbit monoclonal antibody, clone FOC-13 offers batch-to-batch consistency and defined specificity suitable for reproducible signaling studies.

At the molecular level, c-Myc is encoded by the MYC gene and produces a protein of approximately 50 kDa, although phosphorylated forms commonly migrate at higher apparent molecular weights due to modification-dependent mobility shifts. Phosphorylation-dependent regulation of c-Myc occurs in response to cellular context and signaling state. A Phospho-c-Myc antibody supports research applications focused on signal transduction, transcriptional regulation, and cancer-associated pathways, with NSJ Bioreagents providing reagents intended for research use.

Application Notes

Optimal dilution of the phospho-c-Myc antibody should be determined by the researcher.

Immunogen

A synthetic peptide specific to human c-Myc (surrounding pT58) was used as the immunogen for the phospho-c-Myc antibody.

Storage

Store the phospho-c-Myc antibody at -20oC.

Cross
Bulk Quote Request Form
Name*:
Organization*:
Email*:
Phone Number*:
Catalog No.*:
Comments and Specifics(amount, formulation, etc.)*:
Validation code: Captchapackage Image


Can't read the image? click here to refresh.
    *required field

Your bulk quote request has been submitted successfully!

Please contact us if you have any questions.